来源:医博士 | 2022-03-03 作者:毛毛虫
冷球囊肺静脉隔离术(cbPVI)与传统射频消融(rfPVI)一起,已成为房颤介入治疗的标准。很少有病例报告已发表描述使用rfvi患者的心脏先天性异常。虽然已经有单一的报道称,传统的rfvi出现在腹反位患者中,但本文描述了第一例腹反位合并左心的患者的手术。单纯左心内膜反位是一种极为罕见的异常,几乎总是与先天性心脏病有关。在这个特殊的病例中,没有发现相关的先天性心脏病。本文将简要讨论潜在的结构异常,以及cbPVI在这一具有挑战性的情况下的成功应用。
一41岁病人,因解剖结构复杂,未能施行肺静脉隔离,经外心脏科中心转诊至本诊所。在外部中心,患者接受了术前筛查,包括经食管超声心动图(TOE),没有显著结果。在手术过程中,建立血管通路后,在透视中发现导线的不典型位置。由于最初怀疑是意外动脉穿刺,笔者进行了平行TOE显像来确认铅丝的静脉位置。
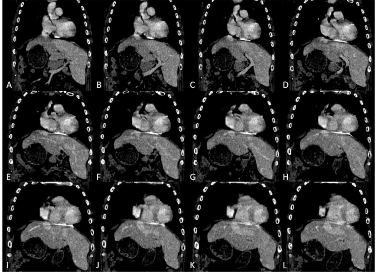
经食管超声心动图证实导丝位置正确,心脏解剖正常,同时发现下腔静脉(IVC)不典型地进入右心房(RA)。在冠状静脉窦(CS)内放置一个可操纵的诊断导管是不可能的,并且这个过程最终被中止。粗略的腹部超声检查显示上腹部器官的方向不典型,没有任何已知的解剖学或先天性异常的既往史。 随后的胸部和腹部计算机断层扫描显示腹部位置反转并伴有左心室颤动。胸部解剖正常;然而,下腔静脉表现出不寻常的过程。它从左侧开始,穿过左侧肝脏,越过右侧与右心房相连(图1)。

图1: 计算机断层扫描图像(A–L)描绘了下腔静脉从停止进入右心房到通过左侧肝脏向左侧更远端的过程。
随后,患者被转诊到笔者的三级电生理中心进行重复手术。病史显示有症状的阵发性房颤,尽管抗心律失常药物氟卡胺治疗。患者没有额外的既往病史,心血管危险因素很小。没有进一步显著的体检结果。在与患者就可能的治疗方案(胺碘酮药物治疗vs肺静脉隔离)进行了深入讨论后,考虑到患者的病史和当前的循证指南,团队决定采用介入治疗方案。因为它可能提供最好的治疗结果。

图2:(A) 经食道超声心动图显示在左心房穿刺前用标准BRK针将房间隔壁撑开(B) 经食管超声心动图显示SL0鞘通过房间隔壁进入左心房(C) 标准BRK针经中隔穿刺前的透视图像(D) 左上肺静脉造影。此外,左心耳也可以看到。本组所有透视图像均为前后投影。
此外,由于不寻常的解剖结构和操作不同鞘管和导管的可能困难,笔者选择cbPVI而不是rfPVI,以便将手术限制为一个可操作鞘管的单次入路。血管通路建立成功。 由于 IVC 的非典型通路和心轴偏离,CSCatheter 的放置再次构成挑战,并被中止以限制机械操作。使用 SL0-Sheath 和标准 BRK-Needle 在 TOE 和透视引导下进行了成功的经中隔穿刺(图 2)。由于间隔壁坚硬,SL0-Sheath 的推进最初失败。
使用 Inoue 二尖瓣成形术扩张器扩张后,SL0-Sheath 成功通过房间隔。左心房的正常解剖结构经血管造影证实,然而,由于心脏轴偏和前颅经中隔穿刺,右侧肺静脉对比较差。右肺静脉的选择性血管造影导致鞘移位回到右心房。重复穿刺后,使用额外强度导丝放置FlexCath advanced鞘。使用Achieve-Catheter和第二代冷冻球囊成功封堵左上肺静脉(LSPV)(图4)。尽管多次尝试,最低温度仅为-26摄氏度。然而,LSPV在第一次冷冻后获得了早期分离。

图4: (A) 透视图像(前后投影)显示右心房中的 SL0-鞘,在穿过左侧肝脏后从下腔静脉倾斜上升。 (B) 透视图像(前后投影)显示正常解剖结构患者右心房中的 SL0 鞘处于正常位置。
左下肺静脉(LIPV),相对于经中隔穿刺点位于非典型的后下方。与正常解剖结构相比,肺静脉的位置比预期的更靠后,为了阻塞肺静脉,必须在不典型的后位放置球囊,这使得在一次冷冻和最低温度-42℃的情况下成功阻塞和隔离了LIPV。在消融右肺静脉之前,CS导管被重新定位到上腔静脉,右膈神经的电捕捉良好。由于之前鞘层移位进入右心房,所以首先以右上肺静脉为靶点。由于起搏导管移位导致膈神经的截获性丢失,必须终止第一次冷冻,并重新放置导管。

图3: (A) 透视图像显示右上肺静脉被膨胀的冷冻球囊阻塞。 在图像中可以清楚地看到一个放置在上静脉中的十极 HIS 导管,用于同时刺激膈神经。 (B) 左上肺静脉闭塞。 (C) 右下肺静脉闭塞,同时通过十极 HIS 导管对膈神经起搏。 (D) 左下肺静脉闭塞。
第二次冷冻开始,温度达到-49摄氏度,没有完全隔离;然而,额外的冷冻会导致早期和持续的肺静脉隔离(最低温度-44摄氏度)。最后,右下肺静脉的位置比预期的更差,通过一次冷冻(最低温度-45℃)成功地闭塞和分离(所有肺静脉的冷冻球囊闭塞见图3)。排除围手术期和术后并发症,患者于介入后第二天出院。透视时间30min。剂量-面积积达到1991.7cgycm2。总手术时间110min。在2年的随访(通过电话),病人保持稳定的窦性心律。
本案例的主要挑战包括实现横隔通路和操纵冷冻球,以实现肺静脉的专利密封。cbPVI消除了不断重新定位消融导管的需要,并可能促进在如此困难的解剖条件下产生持久的病变。
医博士编译: Anwar O, Espersen T, Willems S, et al. A case report of cryoballoon-based pulmonary vein isolation in a patient with situs inversus abdominalis and levocardia. European Heart Journal - Case Reports. 2021; 5(7):ytab245. doi:10.1093/ehjcr/ytab245.
声明: 所有注明“来源:医博士”的文字、图片和音视频资料,版权均属于医博士所有,转载须注明“来源:医博士”;所有转载文章系出于传递更多信息之目的,且明确注明来源和作者,不希望被转载的媒体或个人可与我们联系,我们将立即进行删除处理。