来源:医博士 | 2022-03-07 作者:李胜佳
卵巢成熟囊性畸胎瘤(MCT),俗称皮样囊肿,是最常见的卵巢生殖细胞肿瘤(10-20%)。主要发生在育龄的年轻女性中。
MCT的恶性转化(MT)是一种罕见的并发症,发生率不到2%,最常见于绝经后,由皮样囊肿的某一成分转变为非终末性癌组织所致,可以是表皮样癌、腺癌、肉瘤或黑色素瘤。鳞状细胞癌(SCC)是由MCT外胚层成分引起的最常见恶性变性。临床表现根据肿瘤分期而不同,具有非特异性的,与良性卵巢囊肿相似。可通过组织学特征确诊。
本病案报告一例53岁绝经后女性卵巢畸胎瘤恶变,经手术治疗,其预后良好。影像学诊断为畸胎瘤,组织学诊断为鳞状细胞癌。
病例介绍
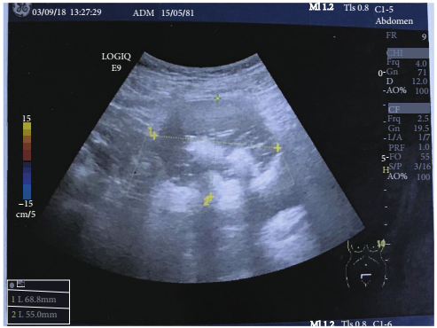
53岁女性患者,G3P3,无特殊病史,在过去6年中处于更年期,因腹部体积增大,盆腔疼痛持续4个月就诊。体检和妇科检查发现右腹壁有一可触及的疼痛肿块。超声图像显示存在盆腔肿块,其特征为皮样卵巢囊肿(图1)。盆腔磁共振成像(MRI)显示一个圆形、边界清晰的右卵巢肿块,位于子宫上,肿瘤内有脂肪样信号,提示为成熟的囊性畸胎瘤。肿瘤标志物在正常范围内,癌抗原125(CA125)为13.1 UI/mL,CA 19-9为20 UI/mL。

图1. 盆腔肿块大小约为68x55mm,表现为卵巢皮样囊肿,回声不均匀,内部回声高
决定进行剖腹手术评估。手术探查发现一个低丰度腹水和一个囊性肿块附着在右卵巢上。冰冻切片诊断为起源于成熟囊性畸胎瘤的鳞状细胞癌,无卵巢包膜浸润及破裂(图2和图3)。随后决定进行全子宫切除术,双侧输卵管卵巢切除术和网膜切除术。患者于第二天出院,术后病程一般。在多学科会议后,决定进行辅助化疗(博莱霉素、足叶乙甙和顺铂(BEP)方案)。

图2. 囊壁由透明化的纤维状卵巢基质形成,存在成熟的胶质组织;苏木精-伊红染色,×40
图3. 高细胞密度的肿瘤增殖由具有圆形核或卵圆形颗粒染色质的吻合索组成,无有丝分裂像;苏木精-伊红染色,×400
结论
成熟囊性畸胎瘤是最常见的卵巢生殖细胞肿瘤,但偶尔也会发生恶性转化,尤其是绝经后妇女。鳞状细胞癌是最常见的继发性恶性肿瘤。由于缺乏特异性的临床和放射学特征,因此在组织学分析之前,目前没有正式的诊断标准。根据患者年龄进行手术方式的调整。保守手术只适用于年轻女性,尤其是希望保持生育能力的未产妇。绝经后患者建议行子宫切除术和双侧输卵管卵巢切除术。
医博士编译自:Mahtate M, Talib S, Slaoui A, et al. Malignant Degeneration of a Mature Ovarian Teratoma. Case Reports in Obstetrics and Gynecology. 2021; 2021:5527467. doi:10.1155/2021/5527467.
声明: 所有注明“来源:医博士”的文字、图片和音视频资料,版权均属于医博士所有,转载须注明“来源:医博士”;所有转载文章系出于传递更多信息之目的,且明确注明来源和作者,不希望被转载的媒体或个人可与我们联系,我们将立即进行删除处理。