来源:医博士 | 2022-03-09 作者:李胜佳
腹膜后脓肿在成人中具有很高的发病率和并发症,尤其是30-60岁的男性,在儿科人群中报告的病例数量非常有限。腹膜后脓肿可能导致呼吸衰竭、复发性脓肿、肾功能衰竭、心脏病、肠瘘、骨髓炎和肺炎等。最常见并发症是肺炎/呼吸衰竭,相关死亡率为80%。
孤立性腹膜后脓肿的已知病因包括骨髓炎、创伤后盆腔血肿、放疗后、阑尾炎穿孔、结肠癌穿孔或异物穿孔等。在成年人群中,通常出现背痛和发热,也可能有贫血、低凝血酶血症、寒战、腹痛或腰痛、恶心、呕吐、盗汗和体重减轻等伴随症状。
近年来,社区获得性耐甲氧西林金黄色葡萄球菌(MRSA)在健康儿童和成人人群中的发病率都有所增加。在儿科人群中目前还没有自发性腹膜后MRSA脓肿的报道。
病例介绍
一名2岁男童有8天的高烧史,高达105华氏度,伴有呕吐、肠道摄入不足和腹痛。患儿母亲报告说,两周前患儿曾与患有咳嗽的家人玩耍,随后出现了类似症状。患儿接受了布洛芬治疗,发烧消退,但随后主诉排尿时有烧灼感。服用阿莫西林治疗尿路感染,并完成了七天疗程中的三天。两天后,发烧和咳嗽再次出现,促使患儿前往医院就诊,在医院发现甲型流感阳性,随后被送回家接受支持性治疗。出院后,患儿每天在华氏101--105度之间出现顽固性发热,间歇性呕吐和咳嗽,伴有咳嗽后呕吐。其后因脱水及腹痛入院。
住院期间,患儿体温高达103华氏度,心动过速,平均140-160次/分钟。实验室结果显示白细胞增多至23500个/ul,c反应蛋白升高至5.32mg/dL,降钙素原升高至4.8ng/mL。胸部x光片、血尿培养和尿液分析均为阴性。
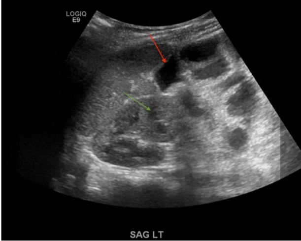
腹部超声检查无法定位任何病变,包括肾盂肾炎(图1)。腹部和骨盆的CT显示大量腹水,腹膜向腹盆交界处呈斑片状强化。大肠内可见低密度液体;升结肠扩张伴肠积气,可能存在肠缺血。在腹盆交界处发现一个长方形边缘强化集合。还有中等量的右侧肾周积液(图2)。

图1. 腹部超声检查显示右肾积水(绿色箭头)和肠袢突出(红色箭头)

图2. 腹部CT和骨盆造影图像。(a)整个大肠的低密度液体;扩张的升结肠伴有肠积气;(b) 大量腹水,腹膜向腹盆交界处呈片状强化;(c) - (d) 中等容量的右侧肾周积液; (e) 腹盆交界处的椭圆形边缘增强集合
患儿开始静脉注射万古霉素和哌拉西林-他唑巴坦,并被送往手术室进行剖腹探查。进入腹膜即看见清晰的腹水。升结肠完整,无气肿或穿孔。阑尾充血,无穿孔;因此,进行了阑尾切除术。发现后腹膜有脓肿,Gerota筋膜和十二指肠腹膜后部分发炎。十二指肠无穿孔或积气。对Gerota筋膜进行活组织检查,并将脓肿中的培养物送往实验室。用温热的晶体溶液冲洗腹部。进行临时腹部闭合术,患儿被带到儿科ICU插管并使用机械呼吸机。术后第四天,患儿被带回手术室进行第二次检查、进一步冲洗和腹部闭合。
脓肿培养物显示耐甲氧西林金黄色葡萄球菌阳性。重复的尿液分析和血液培养均为阴性。髋关节超声检查未见髋关节感染的迹象。排尿膀胱尿道造影的进一步检查显示在充盈或排尿阶段没有膀胱输尿管反流的证据。开始肠外营养。患儿于术后第5天拔管。白细胞增多呈下降趋势。患儿在住院第16天出院,并服用头孢洛林和甲硝唑。
结论
本病案报告了一例儿科患儿自发性腹膜后脓肿伴耐甲氧西林金黄色葡萄球菌的病案。儿童患儿腹膜后脓肿的次要原因包括骨髓炎、创伤后盆腔血肿、放疗后阑尾炎穿孔、异物所致中空内脏穿孔、克罗恩病、隐源性和医源性因素。应在初次就诊时确定感染源。合理选择抗生素和经皮引流是治疗的主要方式。如果经皮引流不充分,应考虑开放性手术引流脓肿。
医博士编译自:Almaz B, Castillo R, Nemeh C, et al. Spontaneous Retroperitoneal Methicillin-Resistant Staphylococcus aureus Abscess in a Pediatric Patient. Cureus. 2021; 13(7):e16111. doi:10.7759/cureus.16111.
声明: 所有注明“来源:医博士”的文字、图片和音视频资料,版权均属于医博士所有,转载须注明“来源:医博士”;所有转载文章系出于传递更多信息之目的,且明确注明来源和作者,不希望被转载的媒体或个人可与我们联系,我们将立即进行删除处理。