来源:医博士 | 2022-03-10
在女性所有的恶性肿瘤中,只有不到0.1%为阴道原发癌。大多数阴道癌是鳞状细胞癌。阴道腺癌(VAC)最常在宫内暴露于己烯雌酚(DES)后报告,很少发生在阴道腺病、染色体异常或子宫/阴道畸形的情况下。大规模的研究显示,与鳞状细胞癌或DES相关的VAC相比,未暴露DES的VAC预后不良,生存率显著降低。由于这种疾病的罕见性,目前还没有关于转移治疗选择的数据。
在此,本病案报告一例原发转移性VAC,无DES、阴道腺病或染色体异常病史。基于重复的免疫组织化学和肿瘤遗传学分析,不同的化疗、抗血管生成、抗体和免疫疗法被确定,并成功实施了近3年。
病例介绍
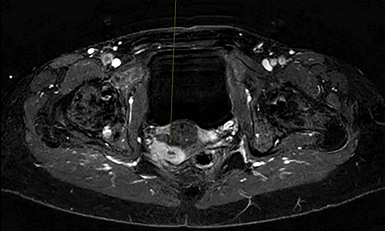
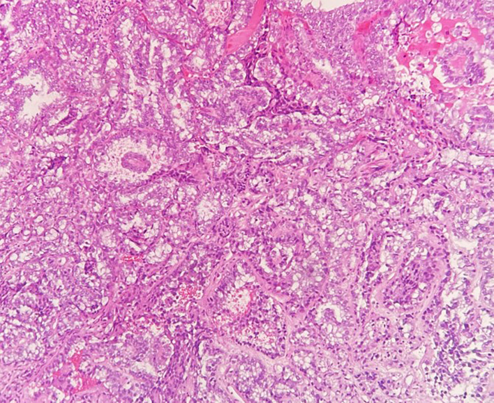
一名49岁患者被诊断出患有4cm的阴道透明细胞腺癌(VAC),肿瘤浸润骨盆侧壁(图1、2)。初步诊断时,在计算机断层扫描(CT)中检测到多发性肺转移瘤,大小可达5 mm。由于转移灶体积小,CT引导下穿刺肺转移灶似乎不可行。原发肿瘤的免疫组化显示激素受体阴性,p16表达阴性,Ki-67高达70%。由于局部晚期、无法手术的VAC伴右腿转移性疼痛,使用卡铂AUC5/紫杉醇80 mg/m²和贝伐单抗15 mg/kg q3w进行全身治疗。临床和图像形态学肿瘤消退。在完成六个周期的化疗后,继续贝伐单抗15mg/kg维持治疗。临床检查和影像学检查显示,单用贝伐单抗15 mg/kg四个周期后,局部和肺部疾病进展。重复肿瘤活检免疫组织化学显示所有错配修复蛋白稳定,PD-L1联合阳性评分(CPS)为2,ERBB2表达。

图1. 骨盆的初始磁共振成像扫描

图2. 苏木精和伊红染色的透明细胞腺癌活检
因此,开始使用50 mg/kg q2w的顺铂单药治疗。仅用了两个顺铂周期后,局部进展就很明显了。影像学显示右侧坐骨升支有新的溶骨性转移,第8节段有新的6mm肝转移,左侧锁骨上淋巴结转移,此外还有局部和肺转移。
改用曲妥珠单抗4 mg/kg,随后2 mg/kg q3w,每周服用紫杉醇80 mg/m²,并皮下注射denosumab 120 mg q4w。三个周期后,临床评估显示反应良好,除溶骨性转移进展外,影像学表现一致。因此,额外启动了30Gy的调强放疗。治疗6个月后,再次观察局部和远处肿瘤进展。由于重复肿瘤活检仍显示ERBB2表达,曲妥珠单抗(T-DM1)3.6 mg/kg q3w给药三个周期,但没有成功。
由于CPS为2,治疗调整为派姆单抗200mg q3w。治疗仅4个月后,肺和淋巴结转移变得不可见,阴道肿瘤几乎不可见,患者在9个月内保持完全稳定。随后,患者出现缓慢的局部进展,发现新的腹股沟和直肠旁淋巴结转移,而全身疾病保持稳定。
新的活组织检查用于进一步的肿瘤分子遗传分析(分子健康指南)。分析显示外显子20中存在ARID1A突变:c.5548dup(p.D1850fs),突变负荷为5.1 Mut/Mb,无基因融合。基于这些发现,PD-L1抗体、PD-1抗体、吉西他滨或达沙替尼是推荐的治疗选择。
由于远处疾病保持稳定,局部进展相对缓慢,患者拒绝接受吉西他滨等化疗方案,继续使用200 mg q3w的派姆单抗,并开始使用5×5Gy进行局部放疗。放射治疗实现了局部进展的显著消退,而远处疾病则通过持续服用200 mg q3w的派姆单抗保持稳定,且仍有持续的反应。
根据iRECIST(免疫疗法实体瘤反应评估标准),实际时间点反应被视为“部分反应”。与最低点相比,目标病变的肿瘤负荷减少了-47.7%。目前没有新的病灶。根据iRECIST,在增加放射治疗后,阴道中的目标病变减少了-32.9%。

图3. 阴道腺癌序贯治疗总结
结论
本文在罕见的原发转移性VAC病例中展示了诊断和治疗方法。不同种类的化疗、抗血管生成疗法、单克隆抗体疗法、免疫疗法和局部放射疗法的应用对该患者的总生存率具有持续、长期的影响。本案例证明了肿瘤遗传特征对罕见肿瘤的治疗和病程上具有很大程度的积极影响。
医博士编译自:Egger EK, Ralser DJ, Lindner K, et al. Diagnostic and Therapeutic Approach in a Metastatic Vaginal Adenocarcinoma: A Case Report. Frontiers in Immunology. 2021; 12:686879. doi:10.3389/fimmu.2021.686879.
声明: 所有注明“来源:医博士”的文字、图片和音视频资料,版权均属于医博士所有,转载须注明“来源:医博士”;所有转载文章系出于传递更多信息之目的,且明确注明来源和作者,不希望被转载的媒体或个人可与我们联系,我们将立即进行删除处理。