来源:医博士 | 2022-03-11
肺动脉肉瘤是一种非常罕见的肿瘤,有时被误诊为肺血栓栓塞症。只有少数病例术前诊断为肺肉瘤。在本病案中,报告了一例术前经静脉血管内导管活检诊断为肺动脉肉瘤的病例,并成功地进行了右肺切除和动脉成形术。
病例介绍
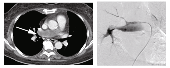
一位72岁女性,有2个月的轻度劳累呼吸困难病史。计算机断层扫描(CT)显示右主肺动脉管腔低衰减缺损(图1)。怀疑肺动脉血栓栓塞。给予阿哌沙班抗凝治疗。然而,经过4周的抗凝治疗后,肺动脉缺损没有改善。
正电子发射断层扫描(PET)显示管腔内缺损处摄取氟-18-氟脱氧葡萄糖(FDG),最大标准摄取值(SUVmax)为4.35,提示为恶性肿瘤。为了确认诊断和治疗方法的选择,使用6 Fr Envoy导管对血管内肿块进行了血管内导管抽吸活检。多次对肿块进行真空抽吸(图2)。组织学检查发现肺动脉肉瘤。未发现远处转移。计划在体外循环下进行右肺切除术,并对肺动脉分叉进行动脉成形术。
图1. 增强CT扫描显示右主肺动脉有肿瘤(箭头)
图2. 肺血管造影显示右主肺动脉肿瘤。将导管附着在填充缺损处,并进行真空抽吸
通过正中胸骨切开,进行手术。肿瘤完全充满右主肺动脉。未发现血管外组织侵犯。采用标准技术建立体外循环,在升主动脉和右心耳放置套管。切取肺主动脉。实体瘤充满右主肺动脉并延伸至主肺动脉干。切除右肺动脉和从瓣上到左肺主动脉的部分主肺动脉。肉眼观察,手术切缘为阴性。用牛心包重建主肺动脉主干和左肺动脉。患者成功脱离体外循环,并进行了右肺切除术。手术时间为429分钟,体外循环时间73分钟,最小失血量为920ml,大体标本显示黄色固体肿块,9×5×3 cm大小,阻塞右主肺动脉(图3)。肿瘤的组织学检查显示内膜肉瘤。波形蛋白和α-平滑肌肌动蛋白免疫组化染色阳性,结蛋白、因子VIII、CD34和CD31免疫组化染色阴性。肿瘤细胞侵入肺动脉外。在左侧远端肺动脉切除边缘发现少量肿瘤细胞。患者术后28天出院,无任何并发症。术后接受放射治疗。在术后6个月的一系列胸部CT扫描没有显示肿瘤复发的迹象。

图3. 主肺动脉(箭头所示)中切除的闭塞性肿瘤标本
结论
内膜肉瘤通常起源于大血管的内膜层,如心脏、肺动脉、主动脉和上腔静脉,而外周动脉肉瘤极为罕见,仅有少数病例报告内膜肉瘤。肺动脉内膜肉瘤的治疗方案包括手术、化疗和放疗。化疗和放疗的多模式治疗可能会带来良好的结果。然而,由于内膜肉瘤的罕见性,尚未确定内膜肉瘤的化疗方案。完全切除是延长生存期的唯一因素。
虽然本例在切除边缘未发现肿瘤的肉眼证据,但在左远端肺动脉切除边缘发现少量肿瘤细胞。该患者手术后在切除边缘接受了放射治疗,尽管术后放射治疗尚未确定。
医博士编译自:Kato D, Mori S, Harada E, et al. Pulmonary Artery Intimal Sarcoma Diagnosed Preoperatively by Endovascular Biopsy and Treated via Right Pneumonectomy and Pulmonary Arterioplasty. Case reports in pulmonology. 2021; 2021:5573869. doi:10.1155/2021/5573869.
声明: 所有注明“来源:医博士”的文字、图片和音视频资料,版权均属于医博士所有,转载须注明“来源:医博士”;所有转载文章系出于传递更多信息之目的,且明确注明来源和作者,不希望被转载的媒体或个人可与我们联系,我们将立即进行删除处理。