来源:医博士 | 2022-03-21 作者:毛毛虫
眼压低被定义为眼压 (IOP) 为 5 mmHg 或更低。根据发病的持续时间和时间,它可以分为急性、慢性、暂时性或永久性。虽然眼内手术后急性低眼压并不少见,但通常在 10-15 天后可恢复。持续性病例与可能永久影响视力甚至导致眼球结核的结构改变有关。
玻璃体视网膜手术后的眼压调节需要持续监测,尤其是在复杂病例中。房水产生和排水的调节可能会受损,尽管局部药物可以控制眼压峰值,但建议定期随访以确定局部治疗不足的情况。巩膜扣带和硅油联合玻璃体切除术对眼压管理提出了治疗挑战。此外,使用硅油可能会导致术后眼压波动的情况。不受控制的眼压的危险因素包括术前低眼压、高眼轴长度、长期增殖性玻璃体视网膜病变 (PVR) 和既往眼内手术,包括白内障手术。因此,必须了解低眼压背后的病理机制,以防止对眼组织造成有害损伤。
病例介绍
一名35岁男性患者在接受玻璃体切除术治疗孔源性视网膜脱离伴巨大视网膜撕裂(GRT)后,接受了右眼硅油填充物的手术切除。患者既往病史包括高度近视(轴长=29.14 mm)和既往激光原位角膜磨镶术(LASIK)屈光手术(10年前)。在硅油取出前16个月,患者到眼科主诉右眼突然无痛性视力丧失。
最佳矫正视力 (BCVA) 降低到“数指”,眼底镜检查显示次全孔源性视网膜脱离伴巨大视网膜撕裂 (GRT),时间延长约 180°,从 6.5 小时延长至 12.5 小时,后部卷曲 边缘和玻璃体积血。他的眼压为 12 mmHg(戈德曼压平眼压法)。此时,患者接受了 20G 玻璃体切除术 (PPV),术中使用全氟化碳液体 (PFCL),360°激光视网膜固定术,泪液边缘冷冻固定术,以及 5000-cs 硅油内填塞。该程序已与辅助周向巩膜屈曲相结合。
术后16个月,患者的OD BCVA为0.12 logMAR(6/7.5 Snellen),眼压为10 mmHg。视网膜仍然附着。此时,应继续清除硅油。因此,在硅油去除套件的帮助下,进行了第二次20G pars plana三端口程序。此外,在取出油后,放置7-0条Vicryl缝线以固定巩膜切开术。
术后第一天,发现患者有明显的低眼压(IOP<4mmHg),伴有角膜水肿、视盘水肿和广泛的脉络膜视网膜皱襞(主要位于鼻视网膜区域)。BCVA降低到手部运动知觉。巩膜伤口保持封闭。此时,由于角膜水肿,很难获得高质量的眼底照片。
在术后期间,患者接受了标准的抗生素和类固醇治疗,每天四次,在四周的时间内逐渐减少。患者病情逐渐好转(图1),术后2周情况稳定,BCVA为0.38 logMAR (6/15 Snellen), IOP为12 mmHg OD,黄斑水肿或脉膜皱襞消失(图2)。

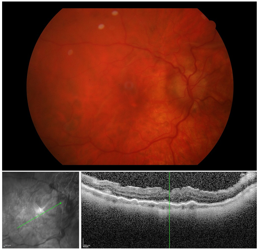
图1: 硅油去除后4天眼底照片及OCT扫描

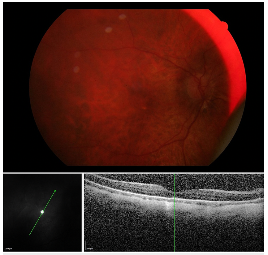
图2: 硅油去除后10天眼底照片及OCT扫描
2个月后,患者BCVA为0.26 logMAR, IOP为14 mmHg。眼底外观稳定,有附着的视网膜和完整的黄斑。
医博士编译:Gkizis I, Garnavou-Xirou C, Bontzos G, et, al. Hypotony Following Intravitreal Silicone Oil Removal in a Patient With a Complex Retinal Detachment With Giant Retinal Tear. Cureus 2021; 13(7):e16387. doi:10.7759/cureus.16387.
声明: 所有注明“来源:医博士”的文字、图片和音视频资料,版权均属于医博士所有,转载须注明“来源:医博士”;所有转载文章系出于传递更多信息之目的,且明确注明来源和作者,不希望被转载的媒体或个人可与我们联系,我们将立即进行删除处理。