来源:医博士 | 2022-03-22 作者:李胜佳
由于对EGFRTKI治疗不敏感,携带EGFRex20ins突变的非小细胞肺癌(NSCLC)患者预后不良,建议采用传统化疗。在免疫治疗时代,PD-1/PD-L1抑制剂越来越多地用于非小细胞肺癌。尽管免疫治疗对常见EFGR突变患者的疗效不佳,但一项临床试验表明,免疫治疗对携带EGFRex20ins突变的NSCLC可能是有益的。
然而,目前还没有证据证实这些患者化疗加免疫治疗的疗效。同时,假性进展对决定何时停止免疫治疗带来了巨大挑战。假性进展是指在免疫治疗的初始阶段肿瘤体积增大或出现新的病变,随后消退。有研究报道接受免疫治疗的非小细胞肺癌患者假性进展的发生率为1.81%-5.77%。然而,没有关于EGFRex20ins突变患者假性进展的流行病学数据。此外,假性进展主要发生在免疫检查点抑制剂(ICI)单药治疗后,在ICI和化疗联合治疗后很少有报道。
在此,本病案报告一例晚期非小细胞肺癌患者EGFRex20ins突变,在派姆单抗加化疗后出现假性进展。此外,本病案还讨论了免疫治疗加化疗对这些患者的疗效。
病例介绍
一名40岁男性,有吸烟史,于2020年1月出现进行性骶骨疼痛。磁共振成像(MRI)显示骶骨有7.7× 2.2× 5.6厘米的肿块。骶骨活检显示肺腺癌骨转移。胸部计算机断层扫描(CT)显示左上肺有一个病变,双侧肺有多个结节(图1(a))。纵隔淋巴结和骨也有多处转移。证实了肺腺癌T4N3M1(IV期)的临床分期。

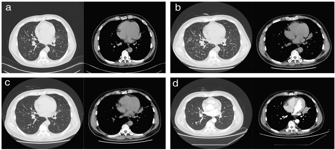
图1. 胸部计算机断层扫描(CT)和后续CT图像。(a)治疗前左上肺的一处病变,伴有弥漫性双侧肺结节和纵隔淋巴结肿大;(b)尽管左上肺的病变是稳定的,但在派姆单抗加化疗两个周期后,弥漫性双侧肺结节的大小和数量有所增加;(c)派姆单抗加化疗三个周期后,双侧肺结节的大小和数量进一步减少;(d)2021年3月的胸部CT显示左上肺病变增大
患者PD-L1肿瘤比例评分(TPS)为2%(22C3)。肿瘤组织的下一代测序(NGS)显示EGFRex20ins突变(Ser768_Asp770dup,突变等位基因频率[MAF],85.16%)和TP53突变(MAF,86.09%)。从2020年6月开始患者每3周接受一次培美曲塞和卡铂联合培美单抗的一线治疗,同时接受姑息性放射治疗(30Gy/10f/2w)治疗骶骨转移瘤。经过两个周期的治疗,患者的表现有所改善,左上肺肿块稳定,但双侧弥漫性小结节的大小和数量有所增加(图1(b))。
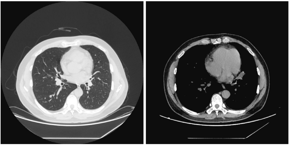
检查了肿瘤标记物,发现血清癌胚抗原(CEA)和多糖抗原19-9(CA19-9)水平急剧下降。患者继续接受派姆单抗联合培美曲塞和卡铂治疗。第三个疗程后,胸部CT扫描显示弥漫性肺小结节完全消退,左上叶病变稳定(图1(c))。在一线治疗期间,患者无进展生存期(PFS)为9个月,疾病得到控制。2021年3月,发现左上肺的病变和肿瘤标记物增加(图1(d))。随后进行经支气管肺活检,确认肿瘤进展。肿瘤组织的NGS显示与第一次活检相同的EGFRex20ins突变。此后,从2021年3月开始患者每3周接受一次派姆单抗加多西他赛和贝伐单抗治疗 ,疾病保持稳定(图2)。该患者定期随访至2021年7月。

图2. 胸部计算机断层扫描(CT)显示,接受派姆单抗、多西紫杉醇和贝伐单抗治疗后,左肺和双侧肺结节病变稳定
结论
综上,携带EGFR ex20ins突变的非小细胞肺癌仍然是临床医生面临的挑战。免疫治疗联合化疗可能是一种潜在的治疗策略,但应在临床试验中得到证实。此外,免疫治疗联合化疗后的假性进展需要进一步探讨其分子机制。
医博士编译自:Zhang M, Nie L & Cheng Y. Pembrolizumab and chemotherapy in non-small cell lung cancer with EGFR ex20ins mutation: A case report. Thoracic Cancer. 2021. doi:10.1111/1759-7714.14101. [Epub ahead of print]
声明: 所有注明“来源:医博士”的文字、图片和音视频资料,版权均属于医博士所有,转载须注明“来源:医博士”;所有转载文章系出于传递更多信息之目的,且明确注明来源和作者,不希望被转载的媒体或个人可与我们联系,我们将立即进行删除处理。