来源:医博士 | 2022-03-28 作者:李胜佳
边缘区淋巴瘤(MZL)是一种发现于次级淋巴滤泡外部的低级别B细胞非霍奇金淋巴瘤,因此被称为边缘区淋巴瘤。根据2016年WHO淋巴肿瘤分类,MZL可分为累及淋巴结的淋巴结边缘区淋巴瘤(NMZL)、累及脾淋巴组织的脾边缘区淋巴瘤(SMZL)和粘膜相关淋巴组织的结外边缘区淋巴瘤(MALT)。胃是MALT最常见的累及部位,其次是皮肤、肺、肠等。MALT主要累及肾脏的情况非常罕见。MALT通常归因于感染或自身免疫性疾病导致的慢性炎症。本病案在此报告一例73岁男性,因继发于艰难梭菌感染而出现腹泻。因患上终末期肾病(ESRD)而进行肾活检,最终诊断为MALT。
病例介绍
73岁男性患者,因腹泻和脱水继发的急性肾功能衰竭入院。患者被发现患有艰难梭菌感染,口服万古霉素治疗。患者既往病史包括糖尿病、高血压和高脂血症,均是在就诊前的六个月内被诊断出。家族史中其兄弟未知年龄的冠心病(CAD)具有重要意义。没有血液系统恶性肿瘤或自身免疫性疾病的家族史。没有非甾体抗炎药(NSAID)长期使用史。患者否认吸烟或娱乐性吸毒史。曾经偶尔喝酒,一生都在咖啡厂工作。无辐射暴露史。
就诊时,患者的基础代谢指标显示肌酐为15,钠为140,钾为5.6,氯化物为106,血尿素氮为95,钙为9.2,碳酸氢盐为20。全血细胞计数显示WBC计数为8.3X10^3/uL,中性粒细胞74%,血红蛋白12.7g/dL,血小板计数253X10^3/uL。肾活检显示急性肾小管损伤,草酸钙结晶增多,小动脉硬化。此外还显示低级别大B细胞淋巴瘤,免疫表型与MALT的结外边缘区淋巴瘤最一致,约占肾组织的10%。肾组织免疫组化显示CD19、CD20阳性B细胞,CD5、CD10、CD23、CD200、CD38和MYD88呈阴性。Ki-67增殖指数较低。
腹部和骨盆CT显示无肠梗阻、阑尾炎或急性炎症改变。无梗阻性右肾结石。未发现肾积水或梗阻性尿路病。CT上未发现淋巴结肿大。自身免疫检查包括抗核抗体(ANA)、抗双链DNA和抗中性粒细胞胞质抗体(ANCA)均为阴性。HIV、乙型肝炎和丙型肝炎均为阴性。
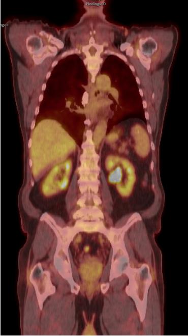
正电子发射断层扫描(PET)显示肾实质内活动均匀,无其他明显的高代谢活动或淋巴结病变(图1)。

图1. 正电子计算机断层扫描图像。在肾实质中均匀活动,没有其他显著的高代谢活动或淋巴结肿大
骨髓活检显示低级别B细胞非霍奇金淋巴瘤累及正常骨髓细胞,与边缘区淋巴瘤一致,约10%-15%受累。骨髓抽吸物的流式细胞术分析显示大约33%的淋巴细胞是单型B细胞,表达CD19、CD20、CD22、CD45,并显示λ轻链限制。B细胞对CD5、CD10、CD23、CD200和CD38呈阴性。
患者开始在两个月内每周进行三次间歇性血液透析。然而,肾功能在没有任何MZL治疗和干预的情况下有所改善。最终停止透析。由于该患者目前仍然完全无症状,没有接受任何MZL的治疗。患者将在三个月后进行随访,并对其腹部骨盆进行CT复查,以密切监测其病情。
结论
本病案报告一例73岁男性因急性肾损伤和艰难梭菌结肠炎就诊,由于肾功能加速下降而进行肾活检时发现肾MALT。肾性MALT非常罕见,大多数报告的病例表现为肾脏肿块和相关症状,而且诊断大多在肾切除术后完成。在本案例中,患者没有肾脏肿块。强调了肾功能快速下降患者进行肾活检的重要性。本案例中患者没有依赖透析,MALT仅限于肾脏和骨髓,没有淋巴结受累。在有症状的患者中,根据MZL的疾病分期和解剖位置可选择适当的治疗策略,包括放疗、手术治疗,联合化疗和免疫疗法等。
医博士编译自:Polani FS & Zaidi F. Renal Mucosa-Associated Lymphoid Tissue (MALT) Associated End-Stage Renal Disease in a Patient Presenting With Diarrhea. Cureus. 2021; 13(7):e16158. doi:10.7759/cureus.16158.
声明: 所有注明“来源:医博士”的文字、图片和音视频资料,版权均属于医博士所有,转载须注明“来源:医博士”;所有转载文章系出于传递更多信息之目的,且明确注明来源和作者,不希望被转载的媒体或个人可与我们联系,我们将立即进行删除处理。