来源:医博士 | 2022-04-21
单纯放疗(RT)是T1声门鳞状细胞癌的标准治疗方法。单用RT显示T1声门鳞状细胞癌的10年局部控制率>90%。尽管严重并发症发生率较低,但放射性喉坏死(RLN)是RT严重的并发症。在以前的报告中,RLN的发生率为2–3%。治疗RLN非常困难,患者全喉切除术的发生率较高。RLN的主要病理是软骨坏死。吸烟与声门鳞状细胞癌的发生及复发显著相关。此外,吸烟导致声带粘膜缺血,这也是RLN的危险因素。本文报告一例T1a声门鳞状细胞癌RT治疗后吸烟诱导RLN的病例。
病例介绍
一名63岁男子出现持续6个月的声音嘶哑。喉镜检查发现右侧声带有白色病变(图1A)。对右侧声带进行活检,患者被诊断为声门型鳞状细胞癌。病人报告说40多年来每天1500毫升啤酒及一包半香烟。诊断时患者戒烟。

图1
计算机断层扫描(CT)结果显示没有淋巴结或远处转移。患者的临床分期为T1aN0M0,I(TNM分类,第8版)。仅计划了单纯放疗。RT剂量为63 Gy,采用三维常规RT技术和动态楔块,分28个部分输送至喉部。辐射场大小为5.5 × 6 cm,采用传统矩形场(图2)。

图2
RT启动后3天,喉镜检查显示右侧声带原发肿瘤的大小略有增加(图1B)。RT开始2周后,患者恢复吸烟,喉镜检查结果显示双侧声带粘膜有轻微改变,伴有白色病变(图1C)。他被指示再次戒烟。然而,他继续在RT期间每日饮用1500毫升啤酒。RT按时完成,无中断(总治疗时间为42 天)。RT完成时,喉镜检查显示原发肿瘤已消失(图1D)。急性并发症包括2级皮炎和1级粘膜炎。初始治疗反应为完全缓解(CR),并开始随访。
每月进行一次检查,RT后1年未观察到局部复发或转移(图1E)。在随访期间,尽管患者已戒烟,但他仍继续饮酒 。 RT后13个月,患者恢复每天一包香烟。在恢复吸烟一个月后,喉镜检查显示双侧声带轻微改变,伴有白色病变(图1F)。
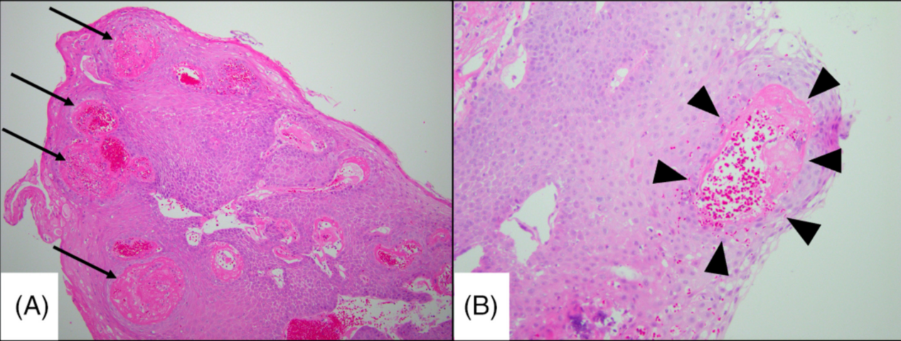
在恢复吸烟2个月后,出现了严重的咽痛和声音嘶哑。喉镜检查发现喉部有一肿物(图3A),当时没有进行CT检查。11天后,手术切除肿物(图3B),组织学诊断为放射性喉坏死,为晚期毒性,无癌症复发(图4)。

图3

图4
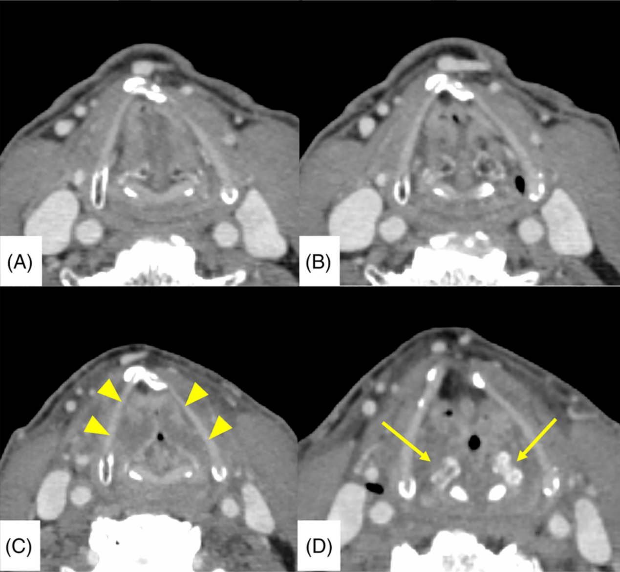
手术切除后,尽管口服止痛药,患者仍持续出现咽痛。术后3周,患者突然出现呼吸困难,喉镜检查结果显示完全性喉麻痹(图3C)。病人接受了紧急气管造口术。气管切开后,持续的咽痛暂时消失。增强CT显示双侧声带水肿,双侧杓状软骨萎缩及硬化(图5)。增强CT检查未发现癌症复发。

图5
经静脉注射类固醇后喉镜检查结果显示声带运动和坏死略有改善(图3D),随后改用口服泼尼松龙,进一步改善了喉坏死和喉麻痹(图3E)。患者出院2周后(气管造口术后1个月),喉镜检查结果显示双侧声带进一步改善,与气管造口术前状态相似(图3F)。气管孔阻塞后也未观察到呼吸窘迫。
小结
这一罕见病例表明,在接受RT治疗的声门癌患者中,吸烟有更大的癌症复发和RLN发展风险。临床医生有必要积极干预,帮助患者继续努力戒烟,而不是让患者自行戒烟。
医博士编译自:Takagawa Y, Izumi S, Aoki M, et al. Smoking-induced radiation laryngeal necrosis after definitive radiotherapy alone for T1a glottic squamous cell carcinoma: A case report. Cancer Reports (Hoboken). 2021; e1530. doi:10.1002/cnr2.1530.
声明: 所有注明“来源:医博士”的文字、图片和音视频资料,版权均属于医博士所有,转载须注明“来源:医博士”;所有转载文章系出于传递更多信息之目的,且明确注明来源和作者,不希望被转载的媒体或个人可与我们联系,我们将立即进行删除处理。