来源:医博士 | 2022-04-22
抗中性粒细胞胞质抗体(ANCAs)是以中性粒细胞胞浆颗粒和溶酶体为相应抗原的自身抗体。ANCA通过诱导中性粒细胞相关细胞死亡来激活中性粒细胞。
髓过氧化物酶-ANCA(MPO-ANCA)相关血管炎通常会导致进行性肾小球肾炎,并伴有寡免疫复合物性新月体形成。寡免疫复合物性新月体肾小球肾炎常伴有一定程度的肾小管间质病变。由于小管间质损伤被认为是继发于肾小球损伤,因此目前ANCA相关肾小球肾炎的组织病理学分类主要集中在肾小球病变。
西咪替丁是一种组胺2型受体拮抗剂,是治疗消化性溃疡和胃食管反流病的主要药物。西咪替丁常作为副作用引起急性肾损伤,但其与AAV的关系尚不清楚。在这里,本病案描述了一例老年妇女服用西咪替丁时出现ATIN和高滴度MPO-ANCA的病例,她接受了多次肾活检以评估停药后肾功能不全的持续性。
病例介绍
一名70岁女性因急性肾损伤(AKI)入院,患者有两周的疲劳史,随后出现食欲减退。既往病史及用药史包括:有一年的慢性甲状腺炎和血脂异常病史,分别服用左旋甲状腺素钠和阿托伐他汀。入院前一个月,患有胃不适,因此在入院前两周服用西咪替丁、甲基甲硫氨酸氯化砜和盐酸伊托必利。
入院时,患者无上呼吸道症状或关节痛。体温为36.7℃,血压为123/77mmHg。心脏、肺、腹部和神经系统的体检结果并不显著。右肋椎角柔软。下肢无凹陷性水肿及可触及的紫癜。包括西咪替丁在内的可疑药物已停止使用。
实验室检查显示白细胞计数为12700/ul(中性粒细胞为11600/ul;淋巴细胞为600/ul;单核细胞为500/ul;嗜酸性粒细胞为200/ul)。血清肌酐(s-Cr)浓度高达5.81mg/dL,而入院前一年为0.5mg/dL。C反应蛋白水平也升高(14.89mg/dL)。抗核抗体和抗Sjögren抗原A和B均为阴性。MPO-ANCA和蛋白酶3-ANCA的效价分别为192U/mL和9.2U/mL。尿液分析显示尿液pH值为6.5,轻度蛋白尿(1+)伴轻度潜血(1+),无尿糖。此外,对沉积物的分析显示,每个高倍视野下(×400)有1-4个红细胞和50-99个白细胞。尿中未发现嗜酸性粒细胞。此外,对尿中N-乙酰-β-D-氨基葡萄糖苷酶和β-2微球蛋白排泄物的分析显示,浓度分别为13.8IU/L和546µg/mL。尿蛋白排泄量为1.32g/24h,24小时肌酐清除率为14ml/min。血培养和尿培养均为阴性。计算机断层扫描显示肾脏增大,但无尿路梗阻征象,肺野无异常阴影。药物诱导的外周血淋巴细胞刺激试验对西咪替丁(602cpm,刺激指数289%)呈阳性。
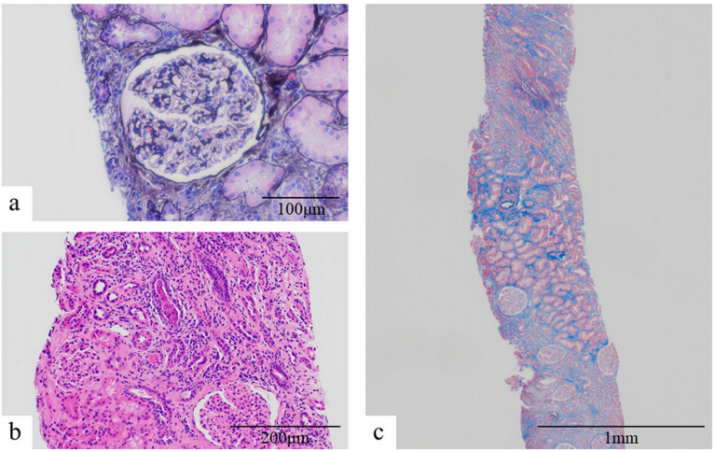
为了进一步评估AKI的病因,入院后5天进行肾活检。光学显微镜显示11个肾小球,全部完整(图1a)。肾小球基底膜未见增厚或不规则。大约90 %肾皮质的损伤表现为肾小管间质损伤(图1b)。间质室被浆细胞、淋巴细胞、单核细胞、中性粒细胞和嗜酸性粒细胞严重弥漫性浸润,伴有轻度至中度纤维化(图1c)。在间质中观察到管周毛细血管炎和白细胞铸型伴显著的中性粒细胞浸润(图1d)。免疫荧光和电子显微镜检查未显示任何免疫球蛋白或补体成分沉积。根据肾活检结果,诊断为由于药物、急性肾盂肾炎和/或AAV引起的ATIN。
开始静脉注射氨苄西林-舒巴坦钠治疗急性肾盂肾炎。由于尿路感染和缺乏特征性AAV,首次活检后未开始给予皮质类固醇,并对患者进行了随访。在接受抗菌治疗和停止西咪替丁后,患者的肾功能略有改善,但在入院后第31天,s-Cr为1.69mg/dL,MPO-ANCA滴度为121U/mL。

图1. 第一次肾活检的病理结果。光镜检查显示11个完整的肾小球(PAM染色,×400)
由于怀疑MPO-ANCA相关性血管炎是长期肾损害的最可能解释,在入院后第31天进行了第二次肾活检。活检标本的光镜评估显示30个肾小球,其中只有3个为整体硬化,未观察到其他肾小球病变。间质室局部浸润炎性细胞(主要是浆细胞、淋巴细胞和少量中性粒细胞混合物)。大约50 %肾皮质的损伤表现为肾小管间质损伤(图2a、b、c)。未观察到动脉炎或小动脉炎。免疫组化分析未见IgG、IgM、IgA、C3和C1q的表达。电子显微镜观察,无上皮下、内皮下、系膜或管状电子致密沉积物。第二次肾活检显示,尽管与第一次肾活检结果相比有所改善,但ATIN仍然存在。诊断ATIN与MPO-ANCA相关,因为尽管西咪替丁和抗生素治疗中断,但MPO-ANCA的存在仍会导致肾损伤。

图2. 第二次肾活检的病理结果
入院后40天,患者开始每天口服25mg(0.6mg/千克)强的松龙,一年后逐渐减至7.5mg/天。肾功能的改善表现为s-Cr降至1.1 mg/dL,MPO-ANCA在一年后从阳性变为阴性。
结论
据报道,与ANCA相关的急性肾小管间质肾炎(ATIN)罕见病例,表现为单纯间质性肾炎,无任何肾小球病变。这些病例大多与药物或系统性疾病有关。尽管某些药物(如丙基硫氧嘧啶)可能在AAV的发病机制中发挥作用,但大多数药物与ANCA相关的ATIN之间的关系尚不明确,病理机制尚不清楚。大多数药物诱导的AAV病例在停用可疑药物后有所改善,但在严重病例中,可能需要类固醇。因此,根据临床症状、实验室标记物和病理结果很难区分药物诱导的AAV和原发性AAV。
本病案报告了一例西咪替丁治疗后与ANCA相关的ATIN病例。提示当药物引起的肾脏疾病甚至在撤回可疑药物后仍然存在,必须考虑进一步的诊断检查,包括肾活检和ANCA滴度的测量。
医博士编译自:Morimoto K, Kanzaki G, Niikura T, et al. Acute tubulointerstitial nephritis associated with antineutrophil cytoplasmic antibody following cimetidine treatment: a case report. BMC Nephrology. 2021; 22(1):294. doi:10.1186/s12882-021-02502-y.
声明: 所有注明“来源:医博士”的文字、图片和音视频资料,版权均属于医博士所有,转载须注明“来源:医博士”;所有转载文章系出于传递更多信息之目的,且明确注明来源和作者,不希望被转载的媒体或个人可与我们联系,我们将立即进行删除处理。