来源:医博士 | 2022-05-16
由于免疫抑制、实体器官移植和艾滋病毒流行的增加,侵袭性真菌感染(IFI)在过去三十年中显著增加。毛霉菌病是一种致命的血管侵袭性真菌感染,尤其常见于糖尿病、血液系统的恶性肿瘤。它是继念珠菌病、曲霉菌病和二型真菌之后的第四种最常见的机会性真菌感染。
与毛霉菌病相关的最常见疾病是糖尿病(36%),其次是血液恶性肿瘤(19%)。在血液系统恶性肿瘤患者或进行过造血干细胞移植或实体器官移植的患者中,它是仅次于曲霉菌病的第二常见真菌感染。这些侵袭性真菌感染(IFI)具有较高的发病率和死亡率,积极主动的诊断和治疗方法对于成功的结果至关重要。
本文报告了一例糖尿病患者的肺毛霉菌病,并讨论了由于肺毛霉菌病的非特异性表现而导致的诊断挑战以及毛霉菌病联合治疗的有效性。
病例介绍
一名65岁的埃及男子出现发热、咳嗽和咯血1周。咯血每天发生4-6次,每次咳出大约一茶匙的鲜血。患者无胸痛或呼吸急促。在过去的四周里,出现低热,体重有所减轻。系统检查未出现任何其他明显症状。
患者有30年的吸烟史。既往病史包括糖尿病、孤立性右外展神经麻痹和伴有轻度肝脏肿大的慢性丙型肝炎。否认结核病史或结核接触史。无任何家族史记录。目前服用的药物包括阿司匹林、阿托伐他汀和二甲双胍。
入院时,患者体温38℃,呼吸14次/min,血压108/80毫米(汞柱),血氧饱和度95%。右肺尖胸部区域的空气进入减少,浊度增加。入院时患者体重为70公斤,体重指数25。入院时的胸部X光显示纵隔增宽,右肺尖浸润。基线血液测试显示白细胞计数、凝血功能和血小板计数正常,轻度贫血(Hb 11.8 gm/dl)。降钙素原正常时,CRP在16mg/L时略微升高。在ALT正常的情况下,总胆红素33μmol/L和AST 55 U/L,略有升高。结核病的血培养和痰检呈阴性。人类免疫缺陷病毒(HIV)PCR结果呈阴性。患者在症状出现时糖尿病控制不佳,HbA1c为16.6%,通过适当的管理,3个月时复查HbA1c改善至6.5%。
第3天,胸部CT扫描显示广泛的右上叶囊性和实变性改变,伴有多个纵隔淋巴结肿大(图1)。第7天患者接受了支气管肺泡灌洗(BAL),但没有显示出细菌感染或恶性肿瘤的证据。革兰染色、培养和结核病检查均为阴性。BAL液主要为中性粒细胞(96%为中性粒细胞),并生长根霉。临床中细菌性肺炎的诊断基于疾病的严重性和以中性粒细胞为主的BAL液。患者体温峰值稳定,临床反应良好,口服奥格汀2周后出院。安排肺科门诊随访6周。

图1
然而4周后,患者出现头晕、咯血和体重明显减轻(10公斤),被送往急诊。脑部核磁共振成像并没有显示任何明显的变化。无发热,生命体征正常,血氧饱和度100%。血液结果显示白细胞计数和CRP正常。胸部X光与上次入院相比,实变有所进展。
胸部CT扫描显示右上肺叶有一个新的空洞形成,其空气液位提示肺脓肿。开始使用头孢曲松和甲硝唑治疗肺脓肿,但由于对抗生素的不良反应,在CT引导下对肺脓肿进行了诊断性抽吸。送往实验室的吸入血染液体样本没有显示任何感染或恶性肿瘤的证据。
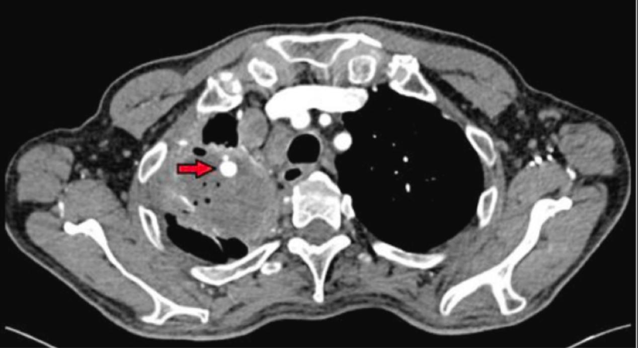
CT扫描还显示腔内有一个8×7mm大小的动脉瘤,似乎起源于右上叶肺动脉的一个亚段分支(图2)。

图2
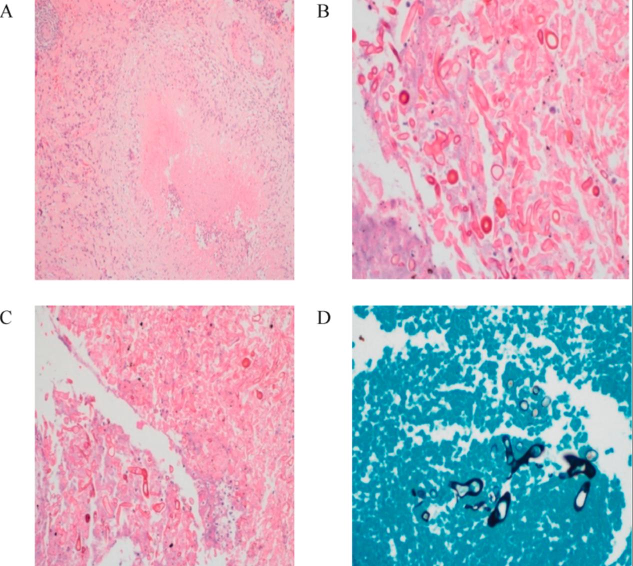
尽管使用了3周的抗生素,患者仍持续咯血,影像学未见明显改善。因此,咨询了胸外科医师,进行右肺上叶切除术。术后病理报告显示干酪样肉芽肿性炎症和分隔的厚而宽的真菌菌丝,呈直角分支,与毛霉菌病一致(图3)。没有恶性肿瘤或结核病的证据。因此诊断为肺毛霉菌病。

图3
给予2周的两性霉素治疗,再给予2周的泊沙康唑治疗。患者在手术后恢复得非常好,并成功出院回家。在门诊随访中,症状继续改善,体重也已恢复。
医博士编译自:Yousaf M, Salameh S, Haq IU, et al. Challenges in the diagnosis of pulmonary mucormycosis in a diabetic with a review of literature. Respiratory Medicine Case Reports. 2021; 33:101474. doi:10.1016/j.rmcr.2021.101474.
声明: 所有注明“来源:医博士”的文字、图片和音视频资料,版权均属于医博士所有,转载须注明“来源:医博士”;所有转载文章系出于传递更多信息之目的,且明确注明来源和作者,不希望被转载的媒体或个人可与我们联系,我们将立即进行删除处理。