来源:医博士 | 2022-05-23
免疫检查点抑制剂(ICI)已用于多种癌症患者,并且已知会导致特定的不良事件(即免疫相关不良事件[irAE])。与其他不良事件(包括内分泌、皮肤、肝脏、胃肠道或肺毒性)相比,血液irAE十分罕见,发生2级或以上的频率约为0.5%,。在这些血液irAE中,血小板减少是最常见的类型。在血液毒性方面,ICIs被认为比细胞毒性药物更耐受,而致命的免疫介导的血小板减少症已有报道。在此,本病案报告一例非小细胞肺癌(NSCLC)患者,在同步放化疗后使用德瓦鲁单抗维持治疗期间出现长期血小板减少。
病例介绍
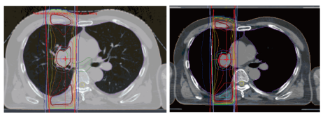
一位患有局部晚期NCSLC(cT3N1M0,IIIA期)的60岁男性同时接受了放化疗。患者接受了两个周期的顺铂(60mg/m2)加替加氟-吉美嘧啶-奥特拉西(120 mg/天)联合同步放射治疗(60 Gy/30 fr)。辐照设计如图1所示。照射区域靠近脊髓,可能与骨髓抑制有关。虽然3级中性粒细胞减少和血小板减少需要在第二个疗程中减少剂量,但患者还是完成了放化疗。然而,由于持续的血小板减少,使用德瓦鲁单抗的维持治疗被推迟。患者既往没有血液系统疾病。没有服用任何因果药物。

图1. 辐照设计。照射区域靠近脊髓
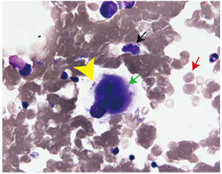
凝血试验显示整个过程中的纤溶亢进。一个月后,随着血小板计数恢复到142×10^3/uL,开始使用德瓦鲁单抗(图2a)。在开始使用德瓦鲁单抗后不久,血小板减少症出现在最低水平55×10^3/uL,尽管血红蛋白浓度和白细胞计数正常。由于血小板减少症没有改善,德瓦鲁单抗在五个周期后停止。由于血小板相关IgG(PA-IgG)水平约为正常水平的两倍,因此进行了骨髓检查。骨髓检查正常,病理学未见肿瘤浸润、母细胞增生、骨髓发育不良或骨髓纤维化。仅显示巨核细胞缺失(图3),这与特发性血小板减少性紫癜(ITP)不一致。巨核细胞周围几乎没有血小板。在骨髓涂片中,有核细胞计数为56000/uL,表明轻度发育不全。髓系:红系(M:E)比值为1.48。髓系、红系和淋巴系的比例分别为53.2%、32.6%和12.8%。没有进行骨髓活检。患者接受了30mg泼尼松龙治疗,逐渐减量至10mg(图2b)。六个月后,血小板计数恢复到110×10^3/uL的水平。

图2. 在使用德瓦鲁单抗和泼尼松龙后血小板计数的变化。(a)从开始使用德瓦鲁单抗到停止使用血小板计数的时间过程。箭头表示德瓦鲁单抗的管理;(b)强的松龙对血小板计数的影响

图3. 高倍镜下骨髓标本的发现。骨髓标本包括所有三种类型的造血细胞,如髓系、红系和巨核细胞系。巨核细胞明显减少,周围有少量血小板。黑色、红色和绿色箭头分别表示髓系细胞、红系细胞和巨核细胞。箭头代表血小板
结论
本病案报告了首例免疫介导的血小板减少症发生在放化疗后的德瓦鲁单抗维持治疗期间。呼吸科医生不仅要记住放化疗的副作用,还要记住免疫介导的血小板减少症。如果在ICI维持治疗期间出现血小板减少,应考虑骨髓活检。
医博士编译自:Makiguchi T, Tanaka H, Kamata K, et al. Immune-mediated thrombocytopenia induced with durvalumab after chemoradiotherapy in a non-small cell lung cancer patient: A case report. Thoracic Cancer. 2021. doi:10.1111/1759-7714.14106. [Epub ahead of print]
声明: 所有注明“来源:医博士”的文字、图片和音视频资料,版权均属于医博士所有,转载须注明“来源:医博士”;所有转载文章系出于传递更多信息之目的,且明确注明来源和作者,不希望被转载的媒体或个人可与我们联系,我们将立即进行删除处理。