来源:医博士 | 2022-06-06
血胸是胸腔内的血液积聚,通常是胸部创伤的结果。残留血胸是指无法从胸膜腔排出的血液,与脓胸和纤维胸等并发症有关。传统上,血胸的处理是通过胸腔导管引流和电视胸腔镜手术。尽管胸膜腔内纤溶治疗在肺炎旁积液和脓胸中的应用有所增加,但其在血胸中的作用仍不清楚。本病案报告一例急性外伤性血胸并发残留血胸合并肺萎陷的病例,经胸腔内纤溶治疗成功,强调此治疗策略的可行性和安全性。
病例介绍
19岁男性患者,与人发生口角,并被刀刺伤三处。其中两处为右上、下胸壁浅表伤,第三处为左半胸深穿透伤。在当地医院进行胸部计算机断层扫描(CT),显示左侧大量血胸,采用24Fr肋间引流管(ICD)处理。作为临时措施,穿透伤用纱布包扎,待患者稳定后被转移至上级医院创伤中心。患者在转移前接受了9个单位的浓缩红细胞、2个单位的新鲜冰冻血浆和2个单位的血小板。
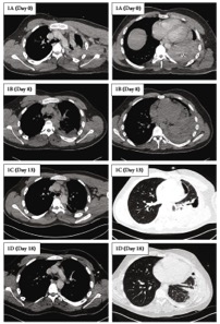
体格检查显示,患者心率为93次/min,血压为106/55 mmHg,呼吸频率34次/min,补充氧气下,氧饱和度97% L/min。ICD已引流1800ml血液 。血液检查显示血红蛋白为140g/L(正常135-172g/L),血小板263×10^9(150-370×10^9),凝血酶原时间13.4 s(正常10.8-13.3s),活化部分凝血活酶时间24.7 s(正常28.2-36.6 s),纤维蛋白原为2.62 g/L(1.46-3.33 g/L)。肾功能和肝功能检查均在正常范围内。胸部CT显示左侧血胸轻微缩小,无活动性出血迹象(图1a)。ICD被放大到32Fr以促进凝块清除,并给予预防性静脉注射阿莫西拉联合。不需要进一步的血液制品,患者得到保守治疗。
三天后,在最小输出量和胸部X线(CXR)显示少量残留积液后24小时取出ICD。一天后,患者再次发烧,炎症标志物升高。重复胸部CT显示中等容量血胸(图1b)。胸腔超声(TUS)发现有组织的胸膜腔,类似血肿,胸腔积液极少。考虑到残留血胸内脓胸的演变,将阿莫西拉联合夫改为哌拉西林/他唑巴坦,并在超声引导下将12FrICD插入复杂胸腔积液。最初排出了300 ml红棕色液体(降解的血红蛋白),胸腔内注射10 mL生理盐水稀释的10 mg阿替普酶之后又排出800 mL。第二天的CXR显示胸腔积液的体积增大。

图1. 连续轴位胸部计算机断层扫描(CT)显示左侧血胸随时间缩小。左侧和右侧的图像分别代表在隆凸和肺底水平拍摄的CT图片。第0天为入院日
然而,TUS展示出自由流动的流体量少。加上稳定的血红蛋白和最小的ICD输出量,认为这种变化更可能是由于脓胸的演变而不是复发性胸膜出血。再次给予两剂胸腔内纤溶治疗(10mg 阿替普酶和5 mg阿法链道酶),导致进一步引流2000mL红棕色液体。随后的胸部CT显示肺萎陷(图1c)。同时,胸腔积液以渗出物形式返流,pH、镜检及培养均无感染迹象。
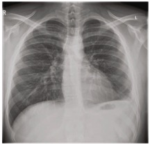
由于患者拒绝手术,因此将第二个ICD插入基底部,胸腔内再次给予10mg阿替普酶,来尝试清除胸膜腔并破坏胸膜粘连。四天后进行的胸部CT显示有显著改善,残余液体最少,肺萎陷几乎完全再扩张(图1d)。两个ICD都被移除,患者第二天出院。整个住院期间血红蛋白保持稳定,无需输血。在两周后的随访中,患者完全康复,CXR显示左肋膈角的钝化程度最小(图2)。

图2. 出院后2周的胸片,肺野清晰,左肋膈角轻度变钝
结论
血胸凝血或滞留是血胸的一种常见并发症,发生在20%的外伤性血胸中。如果不及时治疗,残留的血胸可能会随着时间的推移再吸收,感染,或进展为纤维胸。研究表明,大约四分之一的残留血胸演变成脓胸,并且在第7天出现血管纤维母细胞增生的证据,这是纤维胸的前身,如本例所示。因此,及时清除残留血胸至关重要。本病例强调了胸膜内纤溶治疗在治疗急性创伤性保留血胸相关的肺萎陷中作为手术替代方案的可行性。
医博士编译自:FooCT &HerreJ. Use of Intrapleural Fibrinolytic Therapy in a Trapped Lung following Acute Traumatic Haemothorax. Case Reports Pulmonology. 2021;2021:5592086. doi:10.1155/2021/5592086.
声明: 所有注明“来源:医博士”的文字、图片和音视频资料,版权均属于医博士所有,转载须注明“来源:医博士”;所有转载文章系出于传递更多信息之目的,且明确注明来源和作者,不希望被转载的媒体或个人可与我们联系,我们将立即进行删除处理。