来源:医博士 | 2022-06-21
弥漫性肺脑膜上皮瘤(DPM)是一种罕见的疾病,其特征是存在临床意义不确定的弥漫性良性小结节。这些结节由上皮样细胞组成,起源于间充质脑膜上皮细胞系。通常是在病理学家检查肺部标本或尸检中偶然发现。本文报告了一例在电视胸腔镜肺活检中检出这种罕见病变的病例。
病例介绍
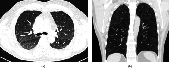
一名60岁的吸烟男子,因常规体检发现胸部X光异常而前往呼吸科进行检查。患者的既往病史包括颈动脉疾病伴中风、动脉高血压、肾结石和尿石症。没有任何已知的恶性肿瘤。患者的体格检查在正常范围内。入院时胸部高分辨率计算机断层扫描(HRCT)显示双肺实质中弥漫性、多发性、1-5mm 的结节性病变,上肺叶略占优势(图1)。

图1.高分辨率计算机断层扫描(HRCT)图像。a,b显示双肺实质中弥漫性多发结节性病变
实验室检查和肿瘤标记物水平正常。结核菌素皮试阴性。支气管镜检查显示正常的支气管内膜。支气管肺泡灌洗液样本的分析未见肿瘤细胞,通过流式细胞术分析的支气管肺泡灌洗液中CD4/CD8比值为7.5。经支气管活检标本检查显示支气管周围肺实质正常,伴有良性神经内分泌增生的小结节,没有任何肉芽肿性炎症的迹象。肺功能测试显示肺活量、肺容量和扩散能力正常。
患者接受了右侧电视辅助胸腔镜手术(VATS),对上叶进行了非典型肺切除术。VATS期间在脏层胸膜表面观察到弥漫性多个结节。组织病理学检查显示血管周围有1至5毫米的小结节。免疫组织化学上,肿瘤群体表达波形蛋白、CD56和孕激素受体,其他神经内分泌标志物(突触素、嗜铬粒蛋白A和InsM1)呈阴性表达,CK7、TTF-1、p40、CK5/6、HMB45、AE1/AE3、S100和结蛋白也呈阴性(图2)。增殖活性(Ki-67)非常低。最终诊断为罕见的PDM。

图2.肺实质有脑膜上皮细胞,呈实心小梁状排列,呈圆形或卵圆形;在某些地方,呈梭形(苏木精伊红染色,100x)a孕酮受体;bCD56;c波形蛋白;d免疫组化染色呈阳性
小结
弥漫性结节患者的鉴别诊断非常重要;需要多学科团队进行评估。DPM的最终诊断常需要组织病理学检查。DPM也可通过经支气管活检进行诊断,但大多通过电视胸腔镜肺活检进行诊断。这种方式不仅安全,而且诊断成功率高。正电子发射断层扫描成像在多发肺结节的诊断中对评估中低概率恶性肿瘤患者大于8毫米的不确定肺结节有一定作用。可能无法检测到DPM等较小的结节。在DPM的治疗管理中,通常倾向于采用观察和随访胸部CT成像的保守治疗。
综上,对于高分辨率计算机断层扫描显示非特异性弥漫性双侧肺结节的患者,应考虑罕见的DPM。由于DPM可以模拟肺部恶性肿瘤、感染和间质性肺病,因此这些患者的鉴别诊断非常重要。DPM的明确诊断需要组织病理学检查,最常见的是电视胸腔镜肺活检。
医博士编译自:Dzian A, Malík M, Hamada L, et al. A Rare Case Diagnosed by Videothoracoscopic Lung Biopsy: Diffuse Pulmonary Meningotheliomatosis. Case Reports Pulmonology. 2021; 2021:1990433. doi:10.1155/2021/1990433.
声明: 所有注明“来源:医博士”的文字、图片和音视频资料,版权均属于医博士所有,转载须注明“来源:医博士”;所有转载文章系出于传递更多信息之目的,且明确注明来源和作者,不希望被转载的媒体或个人可与我们联系,我们将立即进行删除处理。