来源:医博士 | 2022-07-01
怀孕期间轻微的腹痛很常见,但剧烈的腹痛可能是严重问题的征兆。有些病因需要立即治疗,因为它们可能威胁到母亲和胎儿的生命。其中包括急性阑尾炎、胆囊炎、异位妊娠、卵巢扭转和深静脉血栓形成。在怀孕期间,腹痛的评估可以证明是一个诊断挑战。根据ACR适宜性标准,超声、MRI甚至CT都有其作用。
病例介绍
一名33岁孕妇,G2P1,妊娠第10周因上腹部疼痛2天经外院治疗后症状没有改善就诊。否认有重要的病史。除上腹部疼痛外,患者还报告有恶心、呕吐、食欲不振和腹胀。就诊时,患者出现心动过速(105 bpm),但没有发烧、低血压或呼吸急促。体格检查显示上腹部和耻骨上压痛,无反跳痛。相关实验室检查包括白细胞增多(28×100/uL,核左移(中性粒细胞95%)、C反应蛋白升高(8.7 m/dL)和谷氨酸丙酮酸转氨酶升高(138 U/I)。
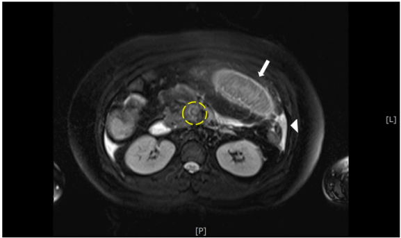
腹部超声检查显示10周大胎儿,母亲轻度腹水,没有急性胆囊炎或阑尾炎的超声迹象。进行磁共振成像(MRI),显示肠系膜上静脉(SMV)内T2高信号充盈缺损,小肠壁增厚和腹水(图1)。

图1. MRI显示肠系膜上静脉(黄色圆圈)内有高信号充盈缺损。还有小肠袢壁增厚(箭头所示)和少量腹水(箭头所示)
由于怀疑诊断为继发于SMV血栓形成的肠缺血,随后在静脉注射造影剂后进行了5 mm切片厚度的增强腹部和盆腔CT。CT图像显示门静脉主干内的充盈缺损向下延伸到SMV及其分支,以及SMV分支的静脉充血(图2)。其他发现包括小肠周壁增厚和低强化,以及相邻肠系膜脂肪内水肿改变。

图2. 腹部冠状位计算机断层扫描图像与静脉对比显示
患者随后接受紧急诊断性腹腔镜检查,在观察到近端小肠缺血性改变和深红色腹水后,转为剖腹手术。对缺血肠管进行节段性切除并进行侧端吻合术(图3)。切除的小肠长度为70厘米,从Treitz韧带远端10厘米开始。术后,患者被转移到重症监护病房,接受全肠外营养、静脉注射抗生素(包括头孢曲松和甲硝唑)以及依诺肝素抗凝治疗。

图3. 剖腹探查显示Treitz远端10厘米处存在缺血性肠袢
患者情况有所改善,术后第7天能够恢复口服饮食。在入院期间,咨询了血液学家以评估高凝状态。患者的凝血情况显示抗凝血酶III(64%)和游离蛋白s抗原(49%)水平较低。术后第8天随访的腹部CT显示血栓减小。在与患者讨论后,决定终止妊娠,并在术后第10天进行刮宫。术后第13天,患者顺利出院,继续每日服用利伐沙班(15mg)进行抗凝治疗。患者定期在产科和心血管科进行随访,一年后通过腹部CT随访发现血栓完全消退。
结论
本病案中患者表现为顽固性上腹部疼痛2天,恶心和呕吐。体格检查显示上腹部有心动过速和压痛,但无反跳痛。这种与体格检查不成比例的疼痛是潜在严重病理的警告信号,也是使用高级成像的指征。因此,对于以这种方式出现的怀孕患者,MRI是一种合适的成像工具。在这种情况下,最终通过CT获得肠系膜静脉血栓形成的明确诊断。
妊娠患者的肠系膜静脉血栓形成极为罕见。文献中报告的病例不到20例。众所周知,由于受子宫扩大压迫下腔静脉引起的凝血因子和血流淤滞等生理变化的影响,妊娠会使患者处于高凝状态,由于病例很少,妊娠期肠系膜静脉血栓形成背后的确切发病机制尚不清楚。然而,这种影响对母亲和胎儿都有潜在的破坏性。
肠系膜静脉血栓形成的治疗取决于患者病情的严重程度。如果没有肠梗塞迹象,则可以通过液体复苏、广谱抗生素、肠道休息以及最重要的全身抗凝治疗对患者进行保守治疗。但是,如果怀疑有肠坏死或穿孔,在这种情况下,应立即采用开腹或腹腔镜方法进行探查。
医博士编译自:Chen YY, Wu SM, Kosik RO, et al. Acute Mesenteric Vein Thrombosis in a Pregnant Patient at 10 Weeks Gestation: A Case Report. Diagnostics (Basel). 2021; 11(8):1348. doi:10.3390/diagnostics11081348.
声明: 所有注明“来源:医博士”的文字、图片和音视频资料,版权均属于医博士所有,转载须注明“来源:医博士”;所有转载文章系出于传递更多信息之目的,且明确注明来源和作者,不希望被转载的媒体或个人可与我们联系,我们将立即进行删除处理。