来源:医博士 | 2022-07-06
糖尿病性肌肉梗死或肌肉坏死是1型和2型糖尿病的一种罕见且可能未被认识的微血管病并发症。它通常与长期糖尿病史、代谢控制不良和其他微血管并发症有关。本文报告一例罕见的40岁男性患者,在开始胰岛素治疗和随后的血糖控制后出现糖尿病性肌坏死。
病例介绍
一名40岁非洲男性,有5年未控制的糖尿病史,伴有多种微血管并发症,包括视网膜病变和肾病,最近开始接受胰岛素治疗,导致糖化血红蛋白(HbA1c)迅速下降,从11%降至5.8%。
开始胰岛素治疗两个月后,患者出现右大腿突然疼痛和肿胀,并伴有右下肢进行性功能损害。没有发热或相关创伤史。入院时,右大腿肿胀、疼痛、红斑,无发热及肌无力。血液检查显示肌酸激酶(1639U/L)和C反应蛋白(25mg/dL)升高,白细胞增多(17.8x109/L)。
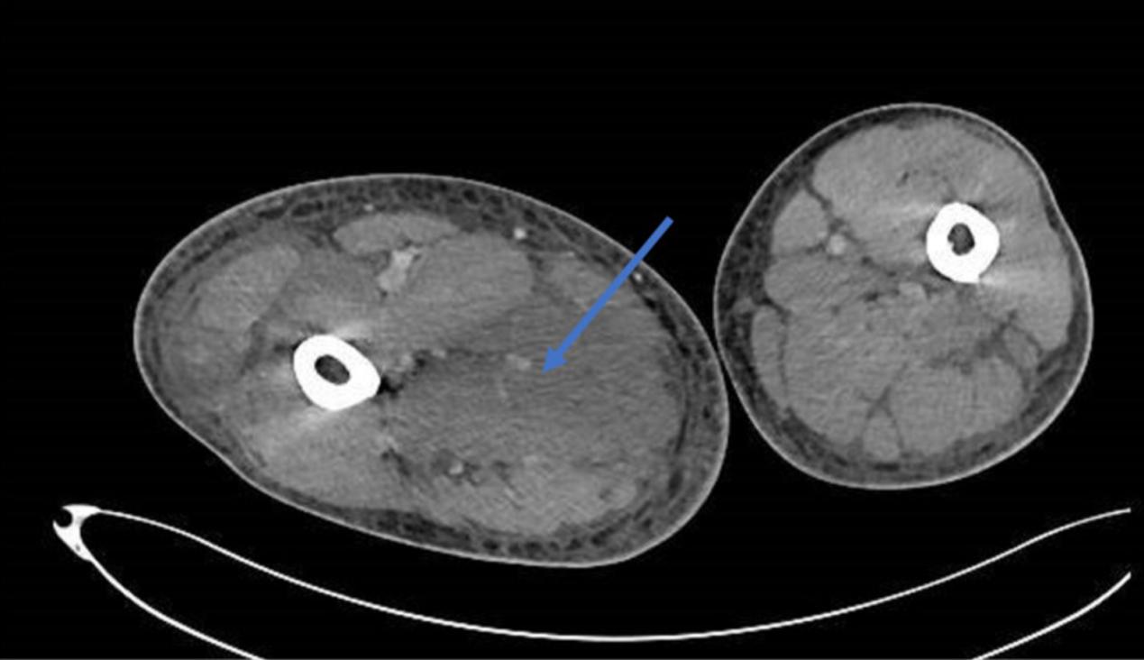
初步检查包括排除深静脉血栓形成的多普勒超声评估。右大腿的计算机断层扫描显示了肌炎,软组织水肿累及肌肉平面,尤其是内收肌(图1)。

图1
假定诊断为脓性肌炎,患者接受静脉注射抗生素治疗,但无改善。广泛的实验室检查提示病毒、细菌和寄生虫呈阴性。排除自身免疫和毒物。然后考虑糖尿病性肌肉梗死。受影响大腿的磁共振成像(MRI)显示与筋膜周围和肌肉周围水肿相关的内收肌、股肌和缝匠肌的体积和异质性增加,以及与肌肉梗死相关的多个对比度增加区域(图2)。肌肉活检显示炎性浸润和骨骼肌坏死区域(图3)。

图2

图3
这些发现支持了糖尿病肌肉梗死的诊断,维持了支持性护理,最终患者症状显著改善。患者在22天后接受调整后的胰岛素治疗方案和口服降糖药出院。
讨论
糖尿病性肌梗死是糖尿病罕见的微血管并发症,可以发生在1型和2型糖尿病中,大多数患者有各种其他微血管并发症,包括视网膜病变、肾病或神经病变。其发病机制尚不确定,但似乎与血管异常、缺血再灌注损伤以及长期且控制不良的糖尿病相关的凝血-纤溶系统改变有关。
临床表现包括急性或亚急性肌肉疼痛、大腿或小腿肌肉肿胀和压痛。正如本例所强调的,对该综合征的认识是极其重要的,因为其特征性的临床特征通常会提示在糖尿病控制不良的情况下进行诊断。因此,实验室和影像学研究主要旨在排除其他疾病,如创伤、深静脉血栓形成、血肿、脓肿、筋膜炎、炎性肌病、结缔组织疾病相关肌炎、感染性肌炎、浸润性肿瘤、横纹肌溶解症和其他血管原因。血液检查常提示白细胞增多的炎症过程,红细胞沉降率和C反应蛋白升高使区分感染更加困难。静脉造影增强磁共振成像(MRI)是首选的诊断成像工具,其结果包括受累肌肉、筋膜和皮下组织T2信号增强。肌肉梗死的诊断一般不需要肌肉活检,通常运用于临床病程不典型的患者。糖尿病肌肉梗死的治疗包括休息、最佳血糖控制、镇痛和低剂量水杨酸等对症治疗。
严格的血糖控制已成为2型糖尿病护理的标准方法,尽管最近有证据表明强化(与中度相比)血糖控制对微血管结果无明显益处。除了严重低血糖的风险更高和治疗负担更高,意外后果还包括与血糖改善速度相关的微血管并发症的发展。正如神经病变和视网膜病变恶化被描述为继发于积极的血糖控制一样,肌肉肌肉坏死可能是HbA1c快速正常化的结果,尽管需要进一步研究。可能的机制包括弥漫性微血管过程,包括炎症和内皮功能障碍,这可能发生在血糖控制快速改善的情况下。然而,正如本例所示,导致HbA1c快速下降的强化胰岛素治疗应引起对微血管疾病并发症风险的警惕和警惕,尤其是在糖尿病未控制的患者中。治疗目标需要个性化,并根据每位患者的需求随时改变。
医博士编译自:Boavida L, Carvalho J, Oliveira S, et al. Muscle Infarction Following Rapid Glycemic Control in a Patient With Diabetes-Associated Microvascular Disease. Cureus. 2021; 13(8):e17182. doi:10.7759/cureus.17182.
声明: 所有注明“来源:医博士”的文字、图片和音视频资料,版权均属于医博士所有,转载须注明“来源:医博士”;所有转载文章系出于传递更多信息之目的,且明确注明来源和作者,不希望被转载的媒体或个人可与我们联系,我们将立即进行删除处理。