来源:医博士 | 2022-07-21
改良电休克疗法(MECT)是情绪障碍和精神分裂症患者可行的治疗选择。本报告是发现MECT和白细胞增多之间存在关系的首个案例。目前没有MECT引起白细胞增多风险的相关指南,也没有降低风险的方法。通过分享这一案例,可为MECT期间或之后类似白细胞增多症患者的预防和治疗提供参考,并提醒临床医生在做出MECT决定之前注意白细胞增多症的风险,同时知道如何应对。
病例介绍
女性,24岁,9年前(2013年1月21日),患者无明显理由感到被针对、被骗、被跟踪、被误解,反复检查门是否锁好,甚至不相信家人,学习成绩下降,被四川大学中华医院诊断为“妄想症”。入院后脑电图和核磁共振正常,给予利培酮,富马酸喹硫平、氯硝西泮、盐酸苯海索和草酸依他普仑治疗。患者症状缓解后出院,但出院后不久,患者在没有医生指导的情况下停止服药,也没有定期会见医生。
不久后,患者辍学,不断换工作,被暴露的感觉存在了很长时间。四年前,患者的症状恶化,变得懒惰、易怒,拒绝出门,有时还会砸东西,2018年8月2日再次住院,被诊断出患有“精神分裂症”。
患者生命体征正常,坐位血压正常(104/71mmHg)。皮肤、头、颈、心、肺、腹部和四肢正常,意识清晰,表情自然,衣着整洁及时,注意力集中,回答问题切中要害,计算能力正常,并且具有良好的长期记忆和短期记忆。机械记忆和逻辑记忆正常。患者对时间、空间和人的定位能力正常。医护人员没有导致患者焦虑、抑郁、情绪高涨、矛盾情绪、关系妄想和强迫症,但导致了被监视、讨论和暴露的感觉,患者的洞察力部分受损。
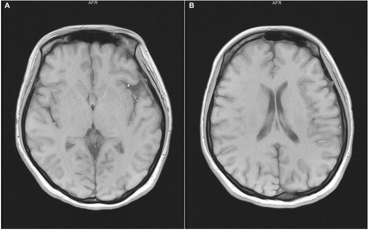
实验室检查显示,患者血细胞计数、凝血功能、肾功能、肝功能和甲状腺功能正常,心电图(ECG)和脑电图(EEG)正常。头颅磁共振扫描显示双侧额叶微缺血(图1)。

图1.头颅磁共振扫描显示双侧额叶微缺血
在回顾患者病史和用药史后,结合当前情况,决定使用氯氮平25mg,上午一次,晚上一次50mg,利培酮2mg,每天两次,盐酸苯己醇片2mg,每天两次进行治疗。在14天内根据患者情况逐渐增加氯氮平和利培酮的剂量,最终氯氮平和利培酮的剂量分别达到150和6mg/d。在此期间,短期使用盐酸普萘洛尔来减缓患者因药物引起的心动过速,并在无惊厥电休克治疗之前使用托吡酯胶囊1天,但患者的病情没有改善。
由于妄想的持续存在,遂决定尝试MECT。与患者和监护人充分沟通了MECT的益处和风险,并获得了患者和监护人的同意。2018年8月15日,在患者首次接受MECT之前,进行了定期实验室检查,结果显示患者的血细胞计数、肝功能和肾功能正常。在MECT之前,再次监测患者的生命体征,体温:36.3℃,脉搏:78次/分钟,血压:110/66mmHg,并确认患者没有任何不适。使用美国胸腺电子管电痉挛治疗仪,型号为systemIV,这是一种自动电痉挛治疗仪,内部输出电压为450V,输出电流为900mA。开始治疗时,通电能量为20%J,由于治疗过程中电流不稳定,仪器自动将电流调整为920mA,通电时间为5.6秒。治疗过程成功。在MECT期间和之后,患者的肢体振动非常轻微,持续了近10分钟,没有其他症状。生命体征保持稳定,几分钟后缓解,监护人和医生护送患者回病房。然而,返回病房后,患者出现发烧,最高体温为38.2℃。经过短暂的物理降温后,患者的体温恢复正常,但值班医生没有安排当天的相关实验室检查。MECT术后第一天患者肢体振动和发热的原因缺乏证据。
2018年8月16日,为患者安排了第二次改良电疗。选择了与第一次相同的MECT参数,电疗过程很顺利,但回到病房后,患者的体温再次逐渐升高,高达39.3℃,伴随着轻微的肢体振动持续了近20分钟。即使患者意识清醒,没有其他不适,在物理冷却的同时安排了实验室和影像检查。检查结果显示,患者白细胞计数为26.40×109/L,中性粒细胞绝对值为23.87×109/L,单核细胞绝对值为1.29×109/L,炎症相关因子(降钙素原、C反应蛋白、白细胞介素-6)、肝肾功能、需氧和厌氧血培养,排尿常规及凝血功能正常。还为患着安排了紧急胸部计算机断层扫描(CT)和脑电图检查,以排除肺部感染和癫痫的可能性,所有结果均正常。邀请传染病科、神经科和血液科进行会诊。无法对白细胞的突然增加给出具体解释,感染和神经科认为无感染或癫痫的存在。血液科建议进行水合治疗以减少白细胞计数。因此,通过静脉向患者添加1000mL生理盐水,并请患者家属帮助她喝下1000mL∼1500mL水。当天下午,重新检查了实验室指标。检查结果显示,患者白细胞计数为18.13×109/L,中性粒细胞绝对值为15.79×109/L,单核细胞绝对值为0.62×109/L。患者体温也于当天恢复正常(图2)。第二天,再次检查了患者的血细胞计数,检测结果正常。患者白细胞计数为7.11×109/L,中性粒细胞绝对值为4.09×109/L,单核细胞绝对值为0.59×109/L。

图2.MECT前后的温度变化。可以看到MECT后患者体温明显升高
图3.从入院到出院的细胞计数变化。可以看到该患者在接受MECT后短时间内细胞计数的巨大变化
虽然患者在MECT后的精神和情绪状态比之前有所改善,但仍然暂停了电疗,将治疗方案调整为托吡酯胶囊25mg每天两次,利培酮3mg每天两次,盐酸苯己醇片2mg每天两次,并逐渐添加氯氮平片。出院前,患者主诉没有感觉被跟踪、隔离和暴露,此时氯氮平剂量为225mg/d。分别于2018年8月20日和8月24日进行了实验室复查,检查结果保持正常(图3)。患者家属因工作原因无法在医院长期照顾患者,应其要求,患者于2018年8月30日出院。出院时,将氯氮平片的剂量增加到250mg/d,并将患者的诊断修改为PPD。患者在门诊进行了随访,但治疗效果并不理想。2019年10月11日,患者因症状加重及有自杀念头再次入院,入院后使用了药物但未进行MECT,但未再次使用MECT的原因在患者的病历报告中未找到。
结论
在MECT之前,有必要进行血细胞学筛查。MECT期间及之后,应警惕可能与MECT有关的白细胞增多症,及时正确处理。
医博士编译自:Mu X, Xu J, Lin P, et al. A Case Report of Leukocytosis During Modified Electroconvulsive Therapy of Paranoid Personality Disorder. Frontiers in Psychiatry. 2022; 13:899847. doi:10.3389/fpsyt.2022.899847.
声明: 所有注明“来源:医博士”的文字、图片和音视频资料,版权均属于医博士所有,转载须注明“来源:医博士”;所有转载文章系出于传递更多信息之目的,且明确注明来源和作者,不希望被转载的媒体或个人可与我们联系,我们将立即进行删除处理。