来源:医博士 | 2022-07-27
原发性心脏淋巴瘤是指位于心肌和心包的恶性淋巴瘤,以心肌浸润引起的心脏症状为主要表现。由于其罕见且难以确诊,大部分报告为孤立病例。原发性弥漫性大B细胞淋巴瘤是最常见的组织学亚型(58%),其次是T细胞淋巴瘤(16%)、伯基特淋巴瘤(9%)和小淋巴细胞淋巴瘤(6%)。
本病案报告了一例原发性心脏外周T细胞淋巴瘤伴三度房室传导阻滞,成功治疗并逆转为一度房室传导阻滞。
病例介绍
一名47岁的女性患者于2020年5月30日到急诊室就诊,报告晕厥发作持续1-2分钟。三小时前,患者出现晕厥,无抽搐、失禁、眩晕、耳鸣、恶心或呕吐、胸痛或胸闷。大约三个月前,患者开始发烧,高达38.6℃,伴有头晕和虚弱。在另一家诊所被诊断为病因不明的感染,并接受了抗感染治疗。服用的药物包括抗生素和甲基强的松龙。然而,抗感染治疗无效,发热持续存在。
随后转院,被心内科收治,体检时心率为59次/分钟,血压为100/56mmHg,呼吸频率为19/min。胸部对称,检查无畸形,双肺呼吸音清晰,听诊未见干湿罗音。心率正常,各瓣膜听诊区未见病理性杂音。腹部柔软,无压迫感,双下肢无肿胀。
左心房、双侧肺动脉瓣和纵隔增大,左锁骨区多发淋巴结肿大伴FDG代谢增加,脾脏肿大,骨髓腔内FDG代谢逐渐扩散,不均匀。考虑阳性传染病或可能的血液淋巴瘤。

图1. 患者入院时的系列心电图
头颅MRI结合3D增强和扩散成像(3.0T)显示鼻咽顶后壁异常增强影,两侧壁延伸至中、后颅底延伸至右侧颞部和桥小脑区,累及右侧颞部和右侧小脑半球脑膜,均显示感染性病变。
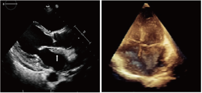
初始心电图(ECG)显示完全性房室传导阻滞(AVB)伴交界性心律(图1A)。血液检查显示肌钙蛋白水平在正常范围内,脑利钠肽前体水平为1388 pg/ml。经胸超声心动图(图2)显示整个左心房壁的左心房心内膜表面均匀等壁增厚,厚度约为1.06 cm,左心房中也观察到同样的变化。左心超声显示左房壁和左心房均匀等回声充盈,图像中无灌注。

图2. 经胸超声心动图显示整个左房壁左房心内膜表面均匀等壁增厚
然后对患者进行心脏磁共振(CMR)检查(图3),确认左房壁显著增厚,左房和右房没有扩大,三重反转恢复序列(IR)在延迟扫描上显示更均匀的高信号和显著的不均匀增强。无心室肥大、主动脉或肺动脉扩张或狭窄,左心室射血分数为66%。

图3. CMR显示左房壁明显增厚
图4. 左心房EMB显示心肌和纤维组织增生,局部有不规则的淋巴样细胞
根据无效抗感染治疗史,整个左心房和心房的心内膜层均匀等壁增厚,累及房室传导系统,怀疑淀粉样蛋白或肿瘤性异常。从病因学角度来看,需要进一步检查以明确诊断。
为了明确诊断,在患者家属的同意下,进行了心内膜心肌活检(EMB)检查和临时起搏器植入。左心房样本的组织学检查表明心肌和纤维组织增生,局部有不规则的淋巴样细胞(图4)。免疫组化染色显示肿瘤细胞CD3、CD5和CD8弥漫阳性,CD2、CD7、CD4和颗粒酶B散在阳性,ki-67增殖指数达30%。然而,肿瘤细胞的CD20、CD56、CD10、BCL6、PD-1、CD21、CXCL13、CD30、ALK、CD99和P53均为阴性。T细胞相关标记物CD3+、CD5+、CD7+、CD2+、B细胞相关标记物CD20和CD21阴性、细胞增殖相关标记物ki-67 30%+、CD4+/CD8+。与血管免疫母细胞T细胞淋巴瘤不同,本病例CD10、BCL6、PD-1和CXCL13阴性,与间变性大细胞淋巴瘤相关的标记物CD30和ALK阴性。上述标记物表明本例的病理免疫表型为非特异性外周T细胞淋巴瘤,而非其他类型的淋巴瘤。患者随后被转移到血液科接受化疗。
患者接受MTX+CHOP化疗(甲氨蝶呤1.52g 1d,环磷酰胺750mg/m2 1d,脂质体阿霉素30mg/m2 1d,长春瑞滨30mg/m2 1d,地塞米松15mg 1-5d)。化疗2个疗程后,疗效评估为患者完全缓解。心电图显示房室传导阻滞从三度变为二度(图1B、C),最后变为窦性心律(图1D)。此外,超声检查显示心脏的大小、形态、结构和功能性血流没有明显异常。心电图提示窦性心律。没有观察到进一步的房室分离,起搏器被拆除。
结论
在本病案中,报告了一例罕见的心脏T细胞淋巴瘤,其中EMB对诊断心脏淋巴瘤有价值。值得注意的是,心电图改变可能暗示T细胞淋巴瘤的心脏损害。
医博士编译自:Chen P, Hao Y, Qiu X, et al. Case Report: Primary Cardiac T-Cell Lymphoma With Complete Atrio-Ventricular Block Diagnosed by Endomyocardial Biopsy. Frontiers in Immunology. 2022; 13:890059. doi:10.3389/fimmu.2022.890059.
声明: 所有注明“来源:医博士”的文字、图片和音视频资料,版权均属于医博士所有,转载须注明“来源:医博士”;所有转载文章系出于传递更多信息之目的,且明确注明来源和作者,不希望被转载的媒体或个人可与我们联系,我们将立即进行删除处理。