来源:医博士 | 2022-08-05
IgG4相关疾病(IgG4 RD)是一种慢性炎症性疾病,其特征是血清IgG4水平升高和IgG4(+)浆细胞浸润。该病最初由日本报道,但其确切的流行病学和病理学尚未完全阐明。尽管最近证实2型辅助性T(Th2)细胞和调节性T(Treg)细胞与IgG4 RD的病理生理学相关,但IgG4 RD是自身免疫性疾病还是过敏性疾病仍不明确。
纤维硬化性肿瘤和肥大性病变可在全身器官中形成,但口腔区域的疾病不包括在IgG4-RD的单个器官表现中。本病案报告一名患者,其口腔纤维性病变和局部淋巴结(下颌下淋巴结)病符合IgG4相关淋巴结病变的CCD标准和ACR/EULAR诊断标准。
病例介绍
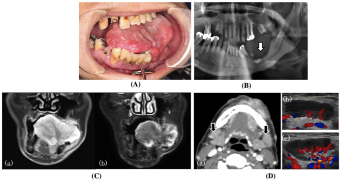
一名60岁的日本男子因左侧口腔内肿瘤疼痛且肿大,前往口腔颌面外科就诊。约65mm×45mm的有蒂肿瘤位于左下牙槽区。肿瘤表面为肉芽肿,弹性硬,部分溃疡,出血。肿瘤使舌头向右移位(图1A)。下牙槽神经支配的区域没有感觉减退。口腔卫生较差。在双侧下颌下区触诊到拇指尖大小的活动性弹性软肿淋巴结。患者既往有食管裂孔疝和反流性食管炎病史,无哮喘和过敏。没有特别相关的家族史。患者身高160cm,体重53kg。注意到由于肿瘤导致的进食困难,患者的营养状况较差。

图1. 患者的状态
全景X线和计算机断层扫描(CT)均显示左下颌骨压缩性骨吸收,但皮质骨保留(图1B)。据此认为,病变的长期持续生长导致了压缩性骨吸收。T1加权钆增强磁共振成像(T1-Gd-MRI)显示整个肿瘤,尤其是肿瘤边缘有显著对比。使用短T1反转恢复(STIR)扫描检测到高边缘强度(图1C)。正电子发射断层扫描(PET)-CT扫描显示肿瘤区域内氟脱氧葡萄糖的高累积,最大标准化摄取值(SUVmax)为5.7。颈部淋巴结的CT扫描显示,左侧和右侧下颌下区均有肿大的淋巴结(分别约25 mm和20 mm),右侧肿大的淋巴结显示高对比度。颈部回声证实肿胀的下颌下淋巴结平坦,边缘光滑。尽管在肺门区域观察到局部血流增加,但淋巴结肺门清晰可见(图1D)。PET-CT扫描显示双侧下颌下淋巴结内有积聚,左右两侧SUVmax值分别为3.9和3.0。
临床诊断为疑似左下牙龈恶性肿瘤伴下颌下淋巴结转移。计划切除口腔肿瘤,并切除左侧下颌下淋巴结活检。术中颌下腺淋巴结的快速病理诊断仅显示炎症,但没有恶性肿瘤迹象。通过骨膜下剥离术解剖口腔肿瘤,安全边缘为10 mm(图2A)。同时刮除皮质骨,并使用组织粘合剂将可吸收聚乙醇酸片覆盖在该区域上。

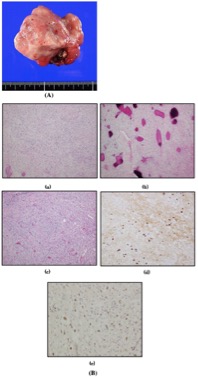
图2. 切除口腔病变的病理结果
切除肿瘤的切面呈白色。苏木精和伊红(HE)染色显示表面覆盖复层鳞状上皮以及成纤维细胞和胶原纤维的突起,显示出明显的席纹状纤维化。无包膜,在向外生长的纤维中观察到层状骨形成。还检测到血管反应性增生和炎性细胞浸润,如中性粒细胞和浆细胞(图2Ba-c)。免疫组织学显示,大量IgG(+)浆细胞和IgG4(+)浆细胞染色,IgG4/IgG比率约为62.3%(图2Bd)。在400倍放大的情况下,每个高倍视野(HPF)中存在45个IgG4(+)浆细胞,其中许多细胞表达转化生长因子β(TGF-β)(图2Be)。一般来说,由于慢性炎症,骨化性纤维上皮的炎症细胞浸润减少。然而,本病例显示炎症细胞浸润明显,IgG/IgG4浆细胞比率和浆细胞数/HPF较高。因此,本例被诊断为骨化性纤维瘤,怀疑为IgG4-RD。切除的颌下腺淋巴结柔软,切面呈乳白色。HE染色显示不规则大小的淋巴滤泡增生并伴有生发中心。淋巴滤泡和许多浆细胞之间生长了血管,混合了少量嗜酸性粒细胞,显示出与反应性淋巴结炎相似的形态(图3A,B)。免疫组织学在淋巴滤泡中检测到大量IgG4(+)浆细胞。IgG4/IgG比率约为87.3%,IgG4(+)浆细胞计数为138/HPF(图3C)。血液检查显示,血清IgG升高为2025 mg/dL,血清IgG4升高为312 mg/dL。全血计数正常,c反应蛋白轻度升高至10.83 mg/dL,白蛋白水平略低,为3.1 g/dL。血清IgA、IgM和IL-6水平没有升高,抗SS-A和抗SS-B抗体为阴性。仅通过组织病理学检查,无法将IgG4相关淋巴结病与富含浆细胞的巨大淋巴结增生症区分开来。在本例中,由于不存在高IL-6血症,如发热、持续高CRP、微细胞性贫血和血小板增多症,因此排除了富含浆细胞的巨大淋巴结增生症。因此,下颌下淋巴结的诊断为IgG4相关淋巴结病。

图3. 下颌下淋巴结的组织病理学检查结果
根据以上信息,肾病和风湿病科进行了全身检查,但没有发现任何其他器官存在IgG4-RD。由于病变位于局部,残留的右下颌下淋巴结没有扩大,因此对患者进行了病程观察。手术后大约7年,病程良好,没有下颌下淋巴结肿大或出现新的病变,也没有骨化性纤维瘤复发。
结论
综上,对于口腔和浆细胞中有明显纤维改变(如牙龈上皮炎)并伴有肿瘤形成的病例,可能需要进行常规血清学检查,以评估IgG4-RD的可能个别器官表现。
医博士编译自:Ike Y, Shimizu T, Ogawa M, et al. Ossifying fibrous epulis as an IgG4-related disease of the oral cavity: a case report and literature review. BMC Oral Health. 2022; 22(1):4. doi:10.1186/s12903-022-02041-4.
声明: 所有注明“来源:医博士”的文字、图片和音视频资料,版权均属于医博士所有,转载须注明“来源:医博士”;所有转载文章系出于传递更多信息之目的,且明确注明来源和作者,不希望被转载的媒体或个人可与我们联系,我们将立即进行删除处理。