来源:医博士 | 2022-09-23
雷诺氏现象(RP)是一种血管痉挛过程,通常会影响手指,在暴露于低温或强烈情绪时会导致疼痛和变色。据估计,3-5%的普通人群受到RP的影响,女性和北部地区的人群更易受到影响。典型的RP表现为三个阶段,从苍白开始,代表最初的血管收缩性缺血阶段。长时间缺血后,第二阶段发绀蓝色是由于受影响部位存在不饱和血液。随着恢复,血管扩张的最后一个充血阶段为红色。这种从白色到蓝色再到红色的经典颜色变化很少出现。血管痉挛发作通常持续几分钟到一小时,但也可能持续数小时。
放射治疗加或不加化疗后出现的舌雷诺现象是极为罕见的并发症。症状与其他部位的雷诺氏病相似,在寒冷的温度下暴露时脸色苍白、不适,这些症状会随着复温而消退。平均在放疗后18-24个月左右患者出现症状,通常可以通过改变生活方式和药物治疗进行有效控制。在这里,本病案报告一例口腔鳞状细胞癌患者术后辅以放射治疗后出现舌雷诺综合征的病例。
病例介绍
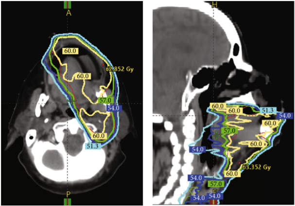
一名63岁绝经后女性,有高血压、高脂血症病史和25包/年的吸烟史,被诊断为口腔鳞状细胞癌病理IVA期(pT1N2bM0)。患者接受了广泛牙槽嵴病变的局部切除术,左颈I-IV区淋巴结清扫术,并用右前臂桡侧游离皮瓣重建;边缘为阴性,没有节外延伸。随后,使用调强放射治疗(IMRT)对图1(a)和1(b)所示区域进行了30次60 Gy剂量的术后放射治疗。
在放疗后19个月的随访中,患者患有口干症和味觉减退,但根据临床和放射学检查没有显示出疾病的证据。在完成放射治疗大约两年后,她开始注意到间歇性舌苍白。主要位于左侧的舌尖和前1/4开始刺痛并变白,持续10-15分钟,每天发生2-3次,如图2所示。这种变化主要发生在暴露于寒冷的环境温度下,并通过复温而消退。有趣的是,喝冷饮并没有发生这种情况。手或脚的手指没有运动、感觉、平衡变化。患者没有雷诺病、脑血管意外、短暂性脑缺血发作或其他神经系统疾病的病史。体格检查未见舌部明显异常,软喉镜检查未见异常。
头颈部的计算机断层扫描血管造影(用于调查可能的血管原因)显示,没有明显的颅外动脉闭塞性疾病或动脉瘤。患者被转诊到血管外科进行进一步评估,并要求进行实验室检查,显示ESR 4mm/Hr,CRP 0.2mg/dL,PT 12.9秒,PTT 25秒,INR 0.97,DRVVT 35秒,狼疮抗凝剂阴性。注意到她的表现与雷诺氏舌现象最为一致,因此开始了每日30mg的硝苯地平缓释试验。在几周后的随访中,患者报告症状的频率和严重程度有了显著改善,并且可以耐受治疗,尽管在寒冷的户外天气中,发作仍会间歇性地发生。

图1. 放射治疗的剂量和口腔的照射区域

图2. 口舌图片显示左侧舌苍白
结论
综上所述,雷诺氏舌现象是口腔放射治疗少见的并发症。虽然目前尚不清楚确切的机制,但病因可能与辐射引起的小动脉损伤有关,导致对正常肾上腺素能刺激的血管收缩反应过度。治疗可有效缓解症状,包括改变生活方式和药物干预。
医博士编译自:Murphy NJ, Kabbani LS, Shepard AD, et al. Lingual Raynaud's Phenomenon after Surgical and Radiotherapeutic Intervention for Oral Squamous Cell Carcinoma. Case Reports in Vascular Medicine. 2022; 2022:1567581. doi:10.1155/2022/1567581.
声明: 所有注明“来源:医博士”的文字、图片和音视频资料,版权均属于医博士所有,转载须注明“来源:医博士”;所有转载文章系出于传递更多信息之目的,且明确注明来源和作者,不希望被转载的媒体或个人可与我们联系,我们将立即进行删除处理。