来源:医博士 | 2022-10-27
临床上,如何管理和预防修复TOF(rTOF)后主动脉瓣和主动脉根部的结构异常一直是外科领域的主要问题。与术后主动脉瘤(主动脉根部扩张)的发生率相比,主动脉瘤的发生率相对较低(12 vs.9%)。目前,较少的外科治疗病例报告集中在如何处理术后主动脉根部扩张和主动脉瓣返流(AR)后合理的处理。在本病例报告中,通过单独的术前评估,选择了David I plus修复主动脉瓣手术,同时重建左心室流出道(LVOT),患者的术后结果令人满意。

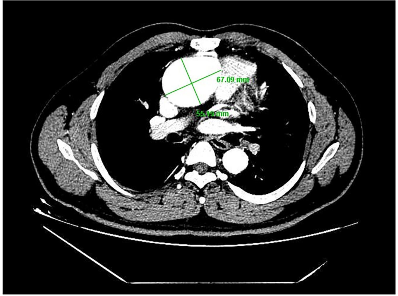
一名39岁男性患者因持续咯血3周而入院。患者是典型的TOF,而不是SD I型TOF。此前,他接受了法洛四联症根治性手术,包括缓解右心室流出道梗阻,并在21岁时修复室间隔缺损。在胸骨左侧第二肋间间隙发现舒张期杂音,其他体检结果均为阴性。根据心脏超声心动图观察到的结果,诊断为窦管连接部和升主动脉扩张(环,3.17厘米;窦,最大5.82厘米;近端升主动脉,4.14厘米)和主动脉瓣关闭不全合并严重AR(图1A)。术前胸部CT扫描显示主动脉根部直径为55.19 mm×67.09 mm(图2)。同时,还检测到LVOT的局部阻塞(图1B),LVOT阻塞的梯度为23 mmHg。经临床评估,该患者接受了包括David I plus修复主动脉瓣手术和同时重建左心室流出道的手术。

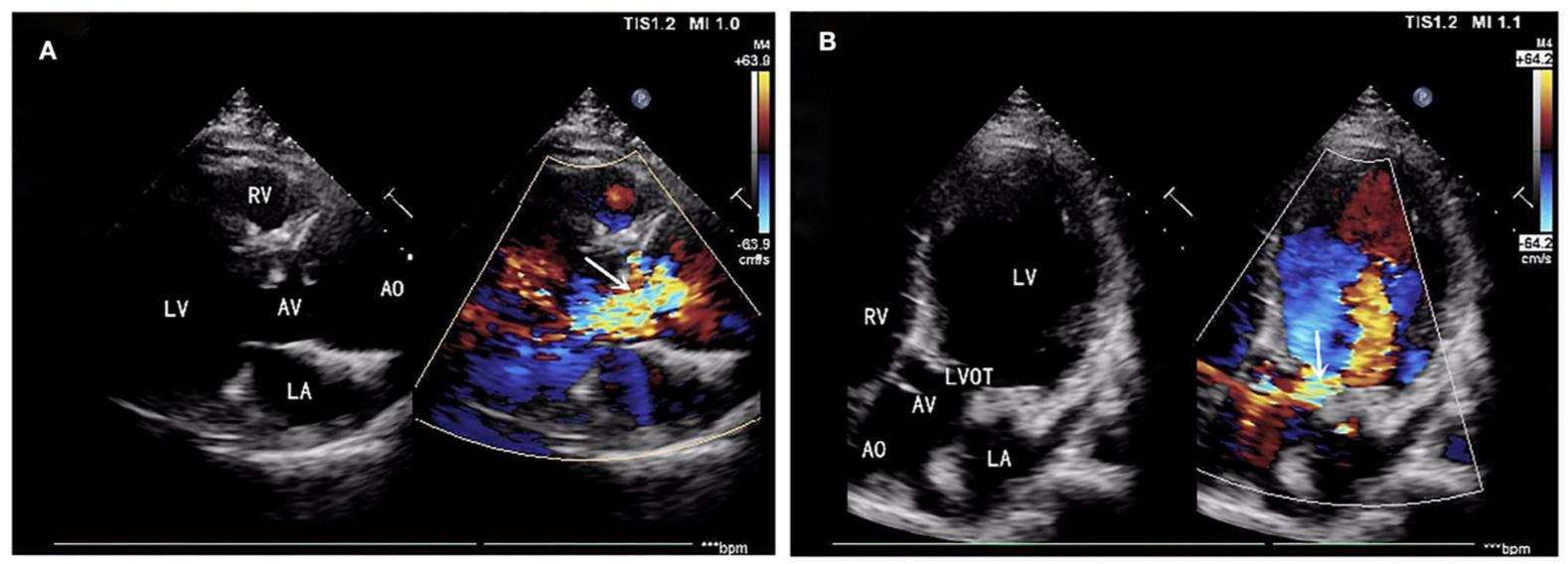
图1.(A)主动脉瓣关闭不全合并严重主动脉瓣返流(AR)。(B)左心室流出道(LVOT)局部阻塞(LVOT梯度为23 mmHg)。AR,主动脉瓣返流;LVOT,左心室流出道。

图2.主动脉根部直径为55.19mm×67.09mm
首先,通过右腹股沟切口完成股动脉和静脉的分离。然后进行胸骨正中切口,完成上下腔静脉的分离。随后,在稳定的股动脉和静脉以及上腔静脉插管后建立体外循环(CPB)。钳夹升主动脉,在34℃下启动组氨酸-色氨酸-酮戊二酸溶液(HTK)心脏停搏液。在窦房结上方1cm处横切主动脉。肉眼可见主动脉环扩张和窦扩大。主动脉瓣未增厚,瓣叶保存良好。然而,由于主动脉根部扩张,小叶与主动脉瓣环不匹配,这将导致主动脉瓣错位。评估主动脉瓣功能后,通过主动脉瓣在左心室流出道中看到增厚的肌束,并用鱼腹式刀片移除增厚的肌丛。然后,分离主动脉根部,测量三个瓣叶连合与瓣环之间的距离。同时计算了三个小叶的中点和根部之间的距离。切割主动脉瓣环上方3mm处的主动脉根部(图3A),并选择32mm人工移植物。合理调整小叶连合的高度,在近端吻合过程中,通过水平垫缝合将小叶的每个尖端固定在人工移植物内(图3B)。左冠状动脉和右冠状动脉的吻合通过按钮技术完成。最后,在主动脉和移植物之间进行远端吻合。在充分复温后,升主动脉断开,生理心律自动平稳激活。术中食管超声检查未发现明显AR。当血流动力学和生命体征稳定时,体外循环停止。在没有任何活动性出血的情况下,对左、右胸腔进行了调节性胸腔闭合和纵隔引流。
手术后,患者被转移到ICU病房接受进一步的药物补充。术后拔管在ICU病房的头12小时内完成。经检测,移植物的大小和形状令人满意,主动脉瓣功能正常,轻度返流。后来,通过动态心电图发现了III°房室传导阻滞,因此,根据高级心脏病专家的咨询,为了改善心律,植入了永久起搏器。最后,经系统的术后临床评估,患者稳定且出院。
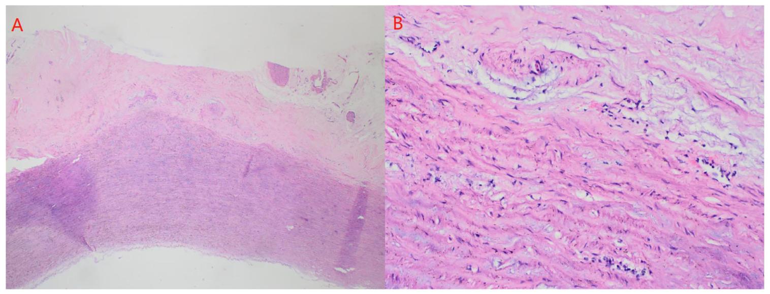
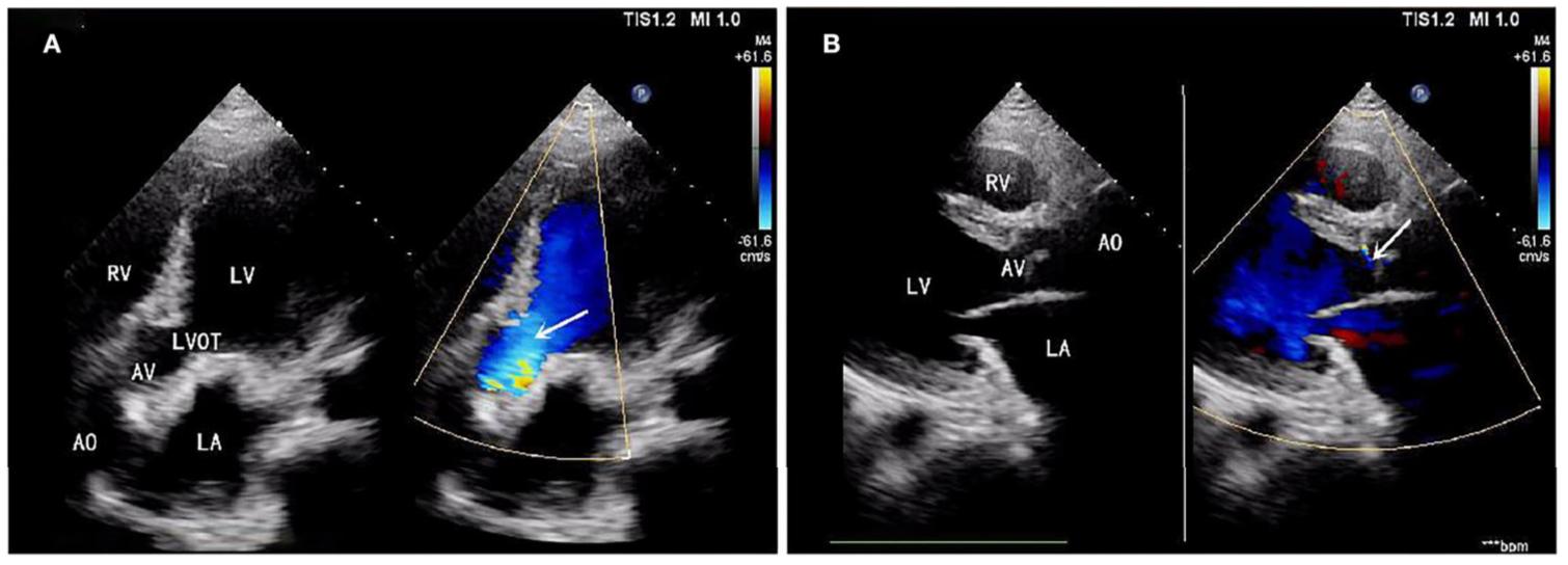
术后病理学显示主动脉壁中层平滑肌萎缩和变性、局灶性玻璃体变性、粘液样变性和钙盐沉积(图4)。术后2个月的随访超声心动图显示,左心室流出道局部梗阻明显改善(术后左心室流出程梯度为7 mmHg),主动脉瓣返流轻微(图5)。在术后1年的随访中,手术效果仍然是积极的,并且没有任何明显的恶化进展。

图3.(A)切割主动脉瓣环上方3mm处的主动脉根部。(B)在近端吻合过程中,通过水平垫缝合将每个瓣叶尖固定在人工移植物内。

图4.(A)主动脉壁中层平滑肌萎缩和变性(A×50,苏木精和伊红染色)。(B)局灶性玻璃体变性、粘液样变性(B×200、苏木精和伊红染色)。

图5.(A)左心室流出道阻塞消失(LVOT梯度为7mmHg)。(B)轻微主动脉瓣返流。


rTOF患者需要长期随访主动脉根部和瓣膜。任何主动脉并发症,如主动脉根部或升主动脉扩张,以及AR均可通过成像MRI检测。作为Bentall和BVC的替代技术,David手术是一种灵活且关键的外科干预手段,可改善rTOF后主动脉根部扩张和严重AR,维持主动脉内稳定的血流动力学和主动脉的形态特征,且无抗凝相关的严重不良事件。
医博士编译自:Zhang S, Liu H, Wang X, et al. The Surgical Strategy for Progressive Dilatation of Aortic Root and Aortic Regurgitation After Repaired Tetralogy of Fallot: A Case Report. Frontiers in Cardiovascular Medicine. 2022; 9:840946. doi:10.3389/fcvm.2022.840946.
来源:https://pubmed.ncbi.nlm.nih.gov/35592402/
声明: 所有注明“来源:医博士”的文字、图片和音视频资料,版权均属于医博士所有,转载须注明“来源:医博士”;所有转载文章系出于传递更多信息之目的,且明确注明来源和作者,不希望被转载的媒体或个人可与我们联系,我们将立即进行删除处理。