来源:医博士 | 2022-12-21
疣状癌(VC)是高分化鳞状细胞癌(SCC)的一种罕见变体。虽然口腔是最常见的部位,但也可能发生在女性生殖道,包括宫颈、外阴和阴道。此前的研究表明,人乳头瘤病毒(HPV)感染与这种特殊类型的癌症之间存在关联。与育龄期女性相比,育龄期之后和绝经后的女性更容易感染VC。由于其生长缓慢和局部侵袭的特点,区域淋巴结受累少见,远处转移更为罕见。
单纯通过穿刺活检很难区分VC、疣状增生(VH)和侵袭性SCC。明确的诊断通常需要更广泛的活检,可以显示肿瘤底部网嵴的形态。对于VC的治疗,建议将手术切除作为一线治疗。由于存在医源性间变性转化以及进一步区域和远处转移的风险,不建议进行放射治疗。关于宫颈VC病例的报道较少,本病案报道了一例具有诊断挑战的罕见病例。
病例介绍
一名59岁女性因绝经后出血和背部酸痛三个月就诊。患者既往的巴氏涂片和宫颈活检报告正常。骨盆检查发现一个坏死的宫颈肿块,并伴有上三分之一阴道受累,多次宫颈活检显示VH。
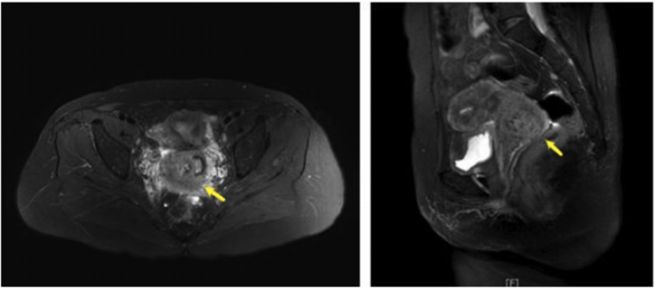
盆腔3T磁共振成像(MRI)显示子宫颈右侧有3.7×3.6×4.0 cm坏死肿块,周围增强。在左侧髂外动脉后方的左侧盆腔内发现一个直径为1.8cm的肿大淋巴结(图1)。

图1. 盆腔3T MRI显示一个3.7×3.6×4.0cm的坏死肿块,在T2加权图像上内部信号不均匀
使用F-18-氟脱氧葡萄糖(FDG)进行计算机断层扫描(PET/CT)的正电子发射断层扫描,并显示出一个FDG摄取增强的宫颈肿块。初始和延迟最大标准化摄取值(SUVmax)分别为13.75和12.64。此外,左侧盆腔有两个FDG阳性淋巴结。其中一个测量值为0.94cm,位于左髂内动脉内侧,显示FDG摄取增加,初始/延迟SUVmax为2.21/3.97。另一个为1.8cm,位于左髂外动脉后方,显示中度FDG摄取,初始/延期SUVmaxs分别为6.84/6.23(图2)。它们在MRI成像下与同一病灶相容。根据放射学检查结果,高度怀疑宫颈恶性肿瘤。

图2. PET/CT结合FDG显示宫颈处有一个富含FDG的肿块,左侧盆腔有两个淋巴结受累
由于临床放射学特征和活检报告之间的差异,在手术干预之前进行了部分刮宫术(D&C),以进一步进行病理确认。D&C分级的病理报告显示鳞状上皮角化不全和VH。由于肿瘤体积大,且靠近膀胱,因此在手术期间进行了膀胱镜检查,结果无异常。尽管病理报告尚无定论,但临床和放射学表现仍高度怀疑恶性肿瘤。
根据国际妇产科联合会(FIGO)分期系统,高度怀疑宫颈VC,IIIC1r期,首先切除左侧盆腔淋巴结,冰冻切片仅显示淋巴增生。然后进行了根治性子宫切除术、双侧输卵管卵巢切除术、双侧盆腔淋巴结清扫术和部分阴道切除术。发现一个8×4.5cm坏死性宫颈肿瘤,外观呈花椰菜状,侵犯阴道上1/3(图3)。

图3. 子宫颈的外生疣状肿块,大小约为8×4.5cm
图4. 分化良好的肿瘤细胞呈球状和手指状侵入下层基质,并推动边界(H&E x 20)
手术标本的显微镜检查结果显示,外生乳头状鳞状上皮伴有明显的棘层肥厚和角化过度。此外,还有内生球茎状网栓和分化良好的指状肿瘤细胞片侵入下层间质并推动边界(图4)。
子宫旁组织未受累。左侧盆腔淋巴结的病理报告仅显示反应性增生。HPV免疫组织化学染色为阴性。P16和p53免疫染色没有过度表达,仅显示10%的局部阳性。根据上述组织学结果,最终诊断为分化良好的疣状癌,按FIGO分类为IIA2。
术后两个月,患者在妇科门诊接受随访。在最初的随访中,巴氏涂片和HPV检测报告再次正常。患者术后未接受任何化疗或放疗。到目前为止,在初始治疗两年后,没有证据表明复发或疾病相关并发症。
结论
VC术前诊断困难。建议将具有足够基质深度的外生和内生生长模式的广泛宫颈活检作为初步诊断。在性质不明的情况下,PET/CT、CT或MRI等影像学研究可作为替代方法。因怀疑临床恶性肿瘤而计划行子宫切除术。
医博士编译自:Hsu YT, Law KS. Cervical verrucous cancer misdiagnosed with verrucous hyperplasia: A case report. Heliyon. 2022; 8(8):e10268. doi:10.1016/j.heliyon.2022.e10268.
声明: 所有注明“来源:医博士”的文字、图片和音视频资料,版权均属于医博士所有,转载须注明“来源:医博士”;所有转载文章系出于传递更多信息之目的,且明确注明来源和作者,不希望被转载的媒体或个人可与我们联系,我们将立即进行删除处理。