来源:医博士 | 2022-12-22
经导管主动脉瓣置换术(TAVR)目前已成为严重主动脉瓣狭窄老年人的指南推荐治疗方法。冠状动脉闭塞是一种罕见但可能致命的并发症,其发生率低于1%。冠状动脉阻塞会导致非计划的手术或介入治疗、心肌梗死甚至死亡。随着近年来TAVR的显著进步,冠状动脉闭塞的评估和预防仍然是主要关注的问题。
病例介绍
一名75岁女性被诊断为严重主动脉瓣狭窄,在过去3年中因进行性劳累性呼吸困难入院,心功能三级(NYHA分级)。患者有帕金森病和肺占位性病变的临床合并症。
心脏听诊检测到3/6的收缩期中期杂音,在右胸骨上缘区域具有最大强度。超声心动图显示严重钙化的主动脉瓣狭窄伴轻度至中度反流(瓣膜面积=0.85 cm2;峰值速度=4.23 m/s;平均跨瓣梯度=42 mmHg)。二维方法估计的左心室射血分数(LVEF)为61.4%。多重检测CT(MDCT)确定主动脉瓣为1型二叶式主动脉瓣,中缝在左窦和非冠状窦之间有大量钙化。
MDCT的进一步解剖测量包括73.1 mm的环形周长、414.1 mm2的环形面积、11 mm的左主冠状动脉(LMA)开口高度和14.1 mm右冠状动脉(RCA)(图1A、B、D、E)。左、右和非冠状窦的尺寸分别为31.6、30.7和30.7 mm(图1B)。窦房结的平均尺寸和高度分别为27.6和16 mm(图1C)。在右冠状动脉口平面上测量,钙化结节边缘到右冠状动脉开口的距离为23 mm(图1F)。右股动脉、髂外动脉和髂总动脉的平均内径分别为6.7、6.5和7.3mm。该患者被认为处于中等手术风险,胸外科医师学会评分为5.13%,建议进行外科主动脉瓣置换术(SAVR)。然而,患者拒绝接受SAVR,并决定接受微创TAVR。

图1. 主动脉根部的术前计算机断层扫描评估
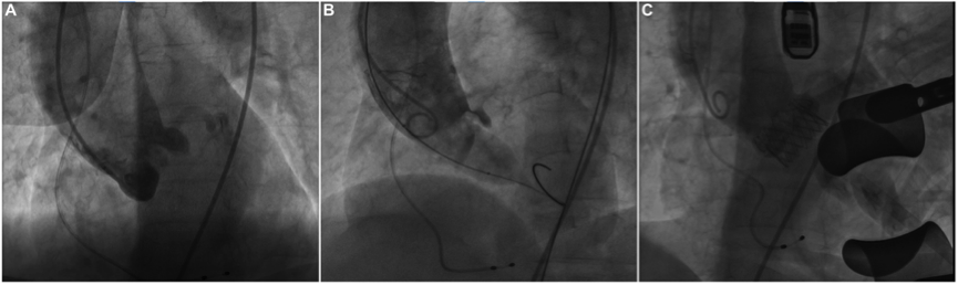
手术在TAVR混合手术室进行。TAVR手术开始时,术中透视下双侧冠状动脉通畅(图2A)。常规进行球囊预扩张以评估环上结构,并使用23mm×40mm Z-Med™球囊根据环周长衍生的直径评估冠状动脉闭塞的风险。出乎意料的是,球囊扩张后,右冠状动脉不可见,LMA中的血流减少(图2B),表明RCA完全闭塞,LMA被原生左冠状动脉瓣叶部分闭塞。患者的血氧饱和度从100%急剧下降到72%。术中经胸超声心动图显示球囊放气后的瓣膜梯度为20 mmHg。因此,多学科小组决定暂停该程序。对患者的解剖结构进行了仔细和全面的重新评估,出于安全考虑,计划使用J-Valve瓣膜进行经心尖TAVR。
随后,3天后在全麻下进行带J-Valve瓣膜的经心尖TAVR。引入并反复调整23 mm J-Valve瓣膜系统,以确保三个持握器正确放置在左、右和非冠状窦中,并准确围绕原生小叶。人工瓣膜在快速心室起搏下定位于主动脉瓣环下方1 cm后逐渐释放。手术进展顺利,最终的透视显示了人工瓣膜的正确位置和双侧冠状动脉的通畅情况(图2C)。最终超声心动图显示瓣膜周围轻度渗漏,残余跨瓣梯度为3 mmHg。患者出院时无明显心力衰竭症状,出院后可轻松开展日常活动。在30天的随访中,患者心功能NYHA II级,超声心动图显示主动脉瓣功能正常,跨瓣平均梯度为5 mmHg。

图2. 术中透视。(A)透视显示球囊预扩张前双侧冠状动脉畅通。(B)在球囊扩张期间,右冠状动脉不可见,左冠状动脉血流减少。(C)透视显示J -Valve瓣膜展开后双侧冠状动脉通畅
结论
冠状动脉闭塞是一种致命的并发症,死亡率很高。本案例强调了全面评估TAVR候选者的冠状动脉开口与周围结构之间相互作用的重要性以及术中紧急重组策略的可行性。对于冠状动脉闭塞风险高的患者,短支架假体是可行的。更重要的是,即使导管已被部署到患者体内,也必须停止可能对患者造成伤害的手术。
医博士编译自:Dai H, Zhou D, Fan J, et al. Emergently Alteration of Procedural Strategy During Transcatheter Aortic Valve Replacement to Prevent Coronary Occlusion: A Case Report. Frontiers in Cardiovascular Medicine. 2022; 9:931595. doi:10.3389/fcvm.2022.931595.
声明: 所有注明“来源:医博士”的文字、图片和音视频资料,版权均属于医博士所有,转载须注明“来源:医博士”;所有转载文章系出于传递更多信息之目的,且明确注明来源和作者,不希望被转载的媒体或个人可与我们联系,我们将立即进行删除处理。