来源:医博士 | 2023-01-06
慢性嗜中性粒细胞白血病(CNL)是一种罕见的BCR-ABL阴性骨髓增生性肿瘤,其特征是中性白细胞增多、脾肿大和预后差。全世界仅报告了约200例CNL病例。在大多数CNL病例中,发现集落刺激因子3受体(CSF3R)基因的激活突变。最常见的突变是T618I,在世界卫生组织(WHO)2016年修订的髓系肿瘤和急性白血病分类中已被引入CNL的诊断标准。皮肤白血病是白血病的一种髓外表现,与预后较差有关。在这里,本病案描述了一例6岁女孩的CNL,其首发症状为皮肤白血病。
病例介绍
一名6岁女孩有10个月的反复皮肤斑块和脓肿病史。患者最初被诊断为疖子,脓肿在破裂后有所改善。类似的皮疹每1-2个月重复出现一次,并在1周内得到解决。4周前肢体再次出现斑块和脓肿。脓肿在3周前破裂后消失,但2周前肢体关节出现关节痛。
体检时,在下肢上观察到多个暗红色斑块(图1),并注意到脾肿大,脾脏位于左肋缘以下3 cm。全血计数如下,白细胞计数:105.32×109/L,嗜中性粒细胞:87.3%,淋巴细胞:9.1%,单核细胞:0.9%,嗜酸性粒细胞:0.3%,嗜碱性粒细胞:2.4%,红细胞:3.01×1012/L,血红蛋白:99 g/L,血小板计数:190×109/L。外周血涂片显示,成熟中性粒细胞占优势,罕见母细胞(1%)。骨髓研究显示骨髓细胞过多,伴有粒细胞增生(图2),BCR/ABL阴性,核型为+8。基因组分析显示CSF3R T618I体细胞突变和CBL c.1096-1_1097delGGA移码体细胞突变(图3)。下一代血细胞测序没有检测到任何其他相关基因突变。

图1. 下肢可见多个暗红色斑块

图2. 骨髓研究显示骨髓细胞过多伴有粒细胞增生。(A)骨髓涂片(赖特染色;原始放大倍数,×400)。(B)骨髓活检(苏木精-伊红染色;原始放大倍数,×100)

图3. 基因组分析显示CSF3R T618I体细胞突变和CBL c.1096-1_1097delGGA移码体细胞突变。(A)CSF3R T618I体细胞突变。(B)CBL c.1096-1_1097delGGA移码体细胞突变
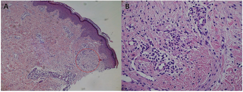
皮肤活检显示真皮中有几处囊胚浸润,没有真皮水肿(图4)。母细胞表达CD33、CD68、CD117、Ki67(5%+)和MPO,但不表达CD2、CD3、CD30、CD56或TdT。患者被诊断为CNL伴皮肤白血病。最初使用羟基脲治疗1个月。在确认CSF3R体细胞突变后,随后将治疗改为鲁索利尼。治疗3个月后,白细胞计数降至13.16×109/L,皮肤病变改善,脾脏缩小至左肋下1.6 cm。患者随后接受了异基因造血干细胞移植。目前,患者情况稳定,正在接受随访。

图4. 皮肤活检显示未成熟母细胞浸润。(A)苏木精-伊红染色;×100。(B)苏木精-伊红染色;原始放大倍数,×400
结论
本案例中患者的特点是皮肤白血病是第一表现,它的出现比关节痛的出现早得多。患者早期反复出现的皮疹未能引起皮肤科医生的注意。因此,通过本病案,有必要提醒皮肤科医生,慢性复发性斑块和脓肿可能是皮肤白血病的表现。
医博士编译自:Zhou YB, Yao JF, Xu ZG, et al. Case report: Leukemia cutis as the first manifestation of chronic neutrophilic leukemia in a 6-year-old girl. Frontiers in Pediatrics. 2022 Sep 21;10:972224. doi: 10.3389/fped.2022.972224.
声明: 所有注明“来源:医博士”的文字、图片和音视频资料,版权均属于医博士所有,转载须注明“来源:医博士”;所有转载文章系出于传递更多信息之目的,且明确注明来源和作者,不希望被转载的媒体或个人可与我们联系,我们将立即进行删除处理。