来源:医博士 | 2023-01-10
白细胞趋化因子2相关(ALECT2)淀粉样变是淀粉样变类型之一,由白细胞趋性因子2(LECT2)的细胞外沉积引起。尚未有任何报告涉及ALECT2淀粉样变与干燥综合征(SS)或系统性红斑狼疮(SLE)并发。在此,本文报告了一例68岁的女性患者,表现出长期的干燥症状。临床评估和实验室结果显示,患者患有SS与SLE重叠,通过免疫组织化学染色和免疫电子显微镜检测到LECT2蛋白阳性。这是首例ALECT2淀粉样变与SS/SLE并存的病例,ALECT2的淀粉样变和自身免疫性疾病之间的因果关系尚不清楚。
病例介绍
一名68岁女性患者,有20年的口干症和干眼症病史。1个月前,怀疑有尿路感染,血清肌酐正常(1.11 mg/dl),发现轻度蛋白尿;然后,患者服用左氧氟沙星治疗2周。入院前2周,患者出现水肿、尿量减少、虚弱和关节痛,入院前血清肌酐升高至1.70 mg/dl。患者否认有皮疹或口腔溃疡。患者的既往病史包括30年的紫癜和2个月的高血压。患者的母亲患有不明原因的终末期肾病。
体检时,患者体温为37.5°C。手腕、掌指关节(MCPs)和肩膀都很柔软。患者某些MCPs肿胀,下肢严重水肿。上肢肌肉力量测试得分正常,但腿部近端肌肉显示为4级,低于远端肌肉。其他体检不明显。
入院后,尿液分析显示白蛋白为主的蛋白尿为0.97 g/24小时,每个高倍视野有30-40个红细胞。尿N-乙酰-β-(D)-氨基葡萄糖苷酶为20.4U/L(0.3~12.0),α1-微球蛋白为76.40 mg/L(0.00~12.00)。尿肌球蛋白为212.7ng/ml,血清白蛋白为23g/L,血清肌酐为1.51mg/dl。尿量持续减少,5天后进展为无尿。全血细胞计数显示,白细胞为4.7×109/L,血球蛋白为102 g/L,血小板计数为181×109/L;平均红细胞体积为98 fl(80~100),网织红细胞计数为3%(1~2)。未结合胆红素为6.5μmol/L(1.7~14.0)。住院期间血球蛋白和血小板计数逐渐减少。直接Coombs试验IgG阳性,C3d阴性。血小板相关IgG正常。血清乳酸脱氢酶为469 IU/L(100~240),丙氨酸氨基转移酶(ALT)为135 IU/L(7~40),天冬氨酸氨基转移酶为130 IU/L(13~35),肌酸激酶为1402 IU/L(2~170),肌酸酶MB为13.5 ng/ml(<5),心肌肌钙蛋白I为0.032 ng/ml(0~0.03)。脑钠肽为33pg/ml(<100)。肾脏超声显示大小正常,回声增强。超声心动图显示室间隔轻度增厚。肺部CT扫描显示肺水肿和轻度胸腔积液。
免疫检测显示,抗核抗体为1:10000。抗dsDNA、抗SSA和抗SSB抗体呈阳性。类风湿因子为1830IU/ml(<30)。血清中多克隆IgG、IgA、IgM、κ和λ的III型冷球蛋白呈阳性。血清IgG为23.70 g/L(7.23~16.85),IgA为5.44 g/L(0.69~3.82),IgM为1.40 g/L(0.63~2.77),C3为0.30 g/L(0.60~1.50),C4为0.04 g/L(0.12~0.36),C1q为126.7 mg/L(159.0~233.0)。补体因子H(CFH)为215.7μg/ml(247.0~1010.8)。抗CFH抗体呈阴性。抗心磷脂抗体、狼疮抗凝血剂、抗环瓜氨酸肽、抗中性粒细胞胞浆、抗Jo-1和抗肾小球基底膜抗体均为阴性。乙肝表面抗原、抗丙型肝炎病毒和抗人类免疫缺陷病毒抗体均为阴性。血清和尿液的免疫固定电泳均为单克隆免疫球蛋白阴性。PET-CT扫描显示恶性肿瘤呈阴性。超声显示淋巴结无肿大,脾脏大小正常。
眼部染色阳性。唾液腺活检显示两个>50个淋巴细胞的密集聚集。骨骼肌活检显示,散在的巨噬细胞浸润在肌内区。基于这些发现,建立了与SS相关的SLE诊断。进行肾活检以评估患者的病理损伤。
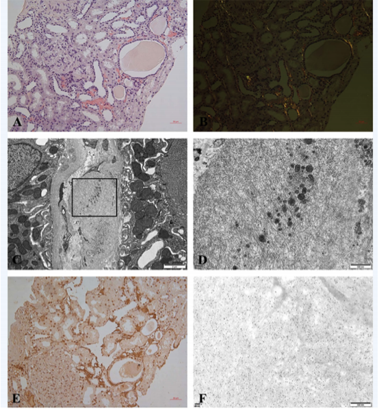
肾脏活检结果显示,光镜下标本中有18个肾小球,包括一个整体硬化的肾小球。其他肾小球表现为弥漫性增生性肾小球肾炎,严重的系膜细胞和基质增生,肾小球基底膜增厚,呈双轮廓;检测到系膜和内皮下嗜酸性细胞沉积。冰冻组织的免疫荧光显示肾小球系膜区和毛细血管壁上IgG(3+)、IgA(2+)、IgM(2+),C3c(2+)和C1q(2+)颗粒染色,κ(3+),λ(+2+),IgG2(+)和lgG3(2+)。IgG1和IgG4均为阴性(图1)。此外,在皮质间质和小动脉壁中发现片状亲刚果沉积物,在偏振光下显示苹果绿双折射。电子显微镜显示皮质间质淀粉样沉积物中直径为10nm的随机坚硬纤维。通过免疫组织化学染色和免疫电子显微镜,淀粉样沉积物对LECT2蛋白呈阳性(图2)。

图1. 肾活检病理结果

图2. 肾活检中的淀粉样蛋白
患者每天静脉注射24 mg甲基强的松龙治疗2周,但病情没有改善;然后,将甲基强的松龙增加至40mg/天。之后,尿量增加到正常水平,并且没有发烧。开始口服泼尼松龙,每天50 mg。每天加入400毫克羟氯喹。然而,血清肌酐、肝脏和肌肉酶仍然升高。每月静脉注射环磷酰胺200 mg。随访1个月后,患者死于多器官衰竭。
结论
本病案报告了一个ALECT2淀粉样变伴SS/SLE的特殊病例。肾活检显示膜增殖性肾小球肾炎,免疫荧光显示肾小球沉积显性IgG3κ,这与SS/SLE有关。此外,在肾小管间质中检测到斑片状嗜刚果淀粉样沉积,通过免疫组织化学染色和免疫电子显微镜检测到LECT2蛋白阳性。这是第一例ALECT2淀粉样变合并SS/SLE的病例报告。需要更多的研究来阐明自身免疫性疾病和ALECT2淀粉样变之间的关系。
医博士编译自:Wang S, Yu XJ, Li DY, et al. Concurrence of leukocyte chemotactic factor 2-associated amyloidosis and autoimmune diseases: A case report. Front Immunology. 2022; 13:966591. doi:10.3389/fimmu.2022.966591.
声明: 所有注明“来源:医博士”的文字、图片和音视频资料,版权均属于医博士所有,转载须注明“来源:医博士”;所有转载文章系出于传递更多信息之目的,且明确注明来源和作者,不希望被转载的媒体或个人可与我们联系,我们将立即进行删除处理。