来源:医博士 | 2023-01-28
本文在此报告一位患有双侧HLRCC相关RCC的女性患者。在两次部分肾切除术后,顺利怀孕,安全地生下了孩子。
病例介绍
一名25岁女性,在常规检查时,通过超声波检测出双侧肾肿瘤。患者没有腰痛、血尿、发烧和其他症状,体重也没有明显变化。体格检查(PE)显示无阳性体征,皮肤粘膜正常,无结节。彩超结果显示,考虑到子宫肌瘤的可能性,子宫实质有一个异常回声区(7mm×6mm),边界清晰,形状规则,以低回声为主,无血流信号。计算机断层扫描(CT)结果显示一个软组织肿块(36 mm×37 mm×37mm)伴钙化,左肾实质内发现不均匀强化,突入肾包膜,靠近脾脏和胰腺。右肾下极还发现一个结节状软组织(12 mm×12 mm×13 mm),该软组织向外延伸至肾包膜,并靠近肠道;TNM阶段为T3aN0M0(图1)。

图1. 术前CT检查。(A-D):左肾肿瘤的位置和大小。(E,F):右肾肿瘤的位置和大小。
患者接受了机器人辅助腹腔镜左肾部分切除术,首次手术后3个月接受了腹腔镜右肾部分切除。两种手术都在肿瘤边缘约1cm处完全切除肿瘤。肿瘤大体呈中等硬度,左肾肿瘤为37mm,右肾肿瘤为12mm,切面呈灰白色,肿瘤边缘未见癌细胞。
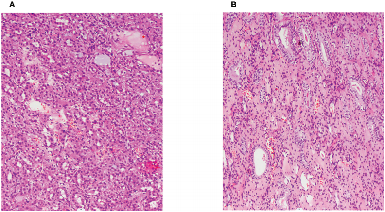
术后病理显示肿瘤细胞排列成管状或囊状,有丰富的嗜酸性细胞质和明显的核仁。未观察到明显的有丝分裂。细胞间血管增加、扩张和充血(图2)。免疫组织化学染色显示如下结果:CK7(+)、Vim(+),SDHB(+)和CK(-)、CD10(-),AMACR(-)和CD117(-),CAIX(-,P63(-)),Ki67(<1%),TFE3(-)。肿瘤组织的FH染色显示FH表达缺失。术后病理结果表明:考虑为嫌色细胞癌,患者接受了抗感染、营养支持和预防出血的治疗,患者于术后第9天出院。

图2. 病理切片(H&E,×100)。(A,B):苏木精-伊红染色显示肾癌的细胞质嗜酸性,具有管状和腺状结构。
为了确认诊断并为后续治疗提供依据,对患者的肿瘤组织进行了基因检测,发现患者携带了FH基因的杂合突变。结合患者的病史、显微结构、肿瘤组织的免疫组织化学染色和基因检测结果,两次手术后肿瘤组织的病理报告得出HLRCC相关RCC的结论。然后,对患者的父母进行了关于FH-c的基因测试。737delA(p.Gln246ArgfsX10),患者的父亲没有FH基因突变,而FH基因杂合突变的母亲没有任何HLRCC相关疾病。
术后,患者每天注射干扰素9×106 IU,持续3个月,每两周注射尼沃单抗OPDIVD 100 mg/次,持续12个月,作为预防肿瘤复发的预防性治疗,未出现副作用。术后1年CT未发现肿瘤复发或转移时,免疫治疗结束。治疗期间和治疗后,红细胞和白细胞计数以及肾功能指数均在正常范围内。第二次手术后第三、第六和第24个月进行CT检查(图3)。患者在第二次手术后28个月怀孕,第二次术后38个月生下孩子。怀孕期间,患者没有肾癌的临床表现;到目前为止,没有出现肿瘤进展。

图3. 术后CT检查。(A-D):术后第三个月,(E-H):术后六个月。左上肾(A、B、E、F、I、J)和右下肾(C、D、G、H、K、L)的边缘不规则。双侧肾脏的肾周间隙清晰,形状和大小正常。腹膜后未见明显肿大淋巴结影。
结论
这是一个具有临床意义的病例,因为它为接受双侧肾部分切除术的HLRCC相关RCC患者的妊娠提供了参考,并表明尼沃单抗可能是预防HLRCC相关性RCC患者肿瘤复发的有效方法。
医博士编译自:Dai K, Jiang W, Chen S, et al. Case report: Going through pregnancy safely after twice partial nephrectomy for bilateral kidneys with HLRCC-associated RCC. Frontiers in oncology. 2022; 12:932996. doi:10.3389/fonc.2022.932996.
链接:https://pubmed.ncbi.nlm.nih.gov/36330476/
声明: 所有注明“来源:医博士”的文字、图片和音视频资料,版权均属于医博士所有,转载须注明“来源:医博士”;所有转载文章系出于传递更多信息之目的,且明确注明来源和作者,不希望被转载的媒体或个人可与我们联系,我们将立即进行删除处理。