来源:医博士 | 2023-01-30
嗜睡症是一种神经系统疾病,其特征是白天过度嗜睡和突然睡眠发作,并伴有猝倒和快速眼动(REM)睡眠相关现象。这是一种罕见的儿科疾病,主要为特发性,其继发形式有时与中枢神经系统(CNS)肿瘤有关。食欲素缺乏是这种疾病的主要原因,在中枢神经系统肿瘤的情况下,可能归因于产生这种兴奋性神经递质的下丘脑神经元的直接损伤(由手术、辐射或肿瘤浸润本身引起)。发作性睡病的治疗基于使用靶向多巴胺能和去甲肾上腺素能或组胺能途径的药物治疗。这些疗法通常耐受性良好,可改善症状。
下丘脑/垂体区域的肿瘤与儿童发作性睡病的发生有关,颅咽管瘤、垂体腺瘤和低级胶质瘤(LGG)是最常见的。
视路胶质瘤(OPG)是指可在视路的任何位置发展的LGG,包括一条或两条视神经、交叉或下丘脑,但可延伸至并浸润相邻的脑结构。OPG预后极佳,仅位于视神经的患者的总生存率(OS)可达100%。然而,当肿瘤位置非常靠近下丘脑和垂体时,手术治疗就变得困难,肿瘤及其治疗可能导致长期的神经损伤,如视力丧失、内分泌疾病或睡眠障碍。
病例介绍
一名3岁男孩因视力受损、左眼会聚性斜视和眼底视盘减退就诊。患儿有癫痫发作史,18个月开始服用丙戊酸钠。
体检时,患者总体状况和神经认知发育良好,双侧严重视力减退,OCT(光学相干断层扫描)显示视网膜神经纤维层厚度(RNFL)严重减少,左眼2/10和右眼4/10的Lea图可量化视力损失,水平眼球震颤,左眼发散性斜视和对光刺激的不良瞳孔反应。
只检测到一个caféau lait斑点,但基因分析排除了1型神经纤维瘤病(NF1)。
大脑和脊髓的磁共振成像(MRI)记录了涉及视交叉区的浸润性占位病变(图1)。

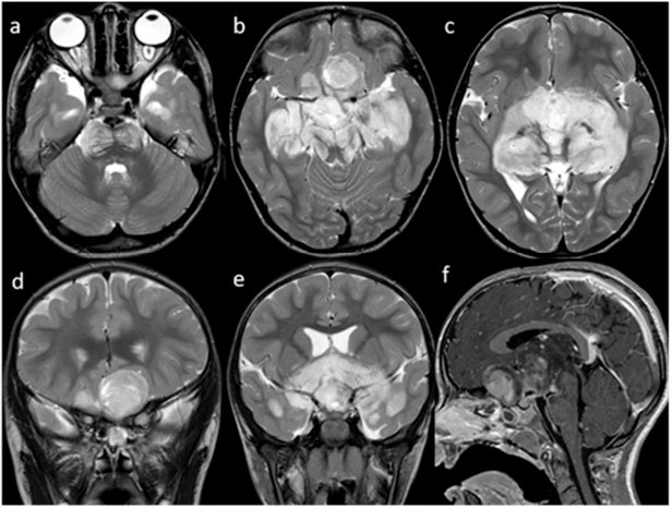
图1. 核磁共振成像。T2w轴位(a–c)和冠状位(d,e)图像显示一个大的、不均匀的高强度视交叉分叶状肿块,累及视神经和视束、视辐射、下丘脑、颞叶和脑干。肿块压迫额叶并延伸至第三脑室,导致侧脑室适度扩大。矢状位Gd T1w(f)图像显示鞍上肿块的不均匀对比增强。
根据世界卫生组织(WHO)最新版本的中枢神经系统分类,该患者接受了活检(立体定向机器人辅助穿刺活检,通过病变的右侧经额路径),诊断为神经节胶质瘤1级(免疫组织化学:CD34+、GFAP和OLIG2阳性;免疫组织化学和分子分析中p53阴性、BRAFV600阴性)。
根据国际儿科肿瘤学会低级胶质瘤(SIOP LGG)方案开始化疗治疗。
治疗近一年后,患者开始表现出恶病质的临床表现,脑部MRI显示疾病进展(图2)。重新进行眼科评估,双侧完全性视力低下导致视力进一步下降。因此,开始了二线化疗,辅助靶向治疗。五年后(8岁),患者出现嗜睡,但能被言语或触觉刺激唤醒,清醒时方向良好。进行了脑部计算机断层扫描(CT)和新的核磁共振成像,显示病情稳定。

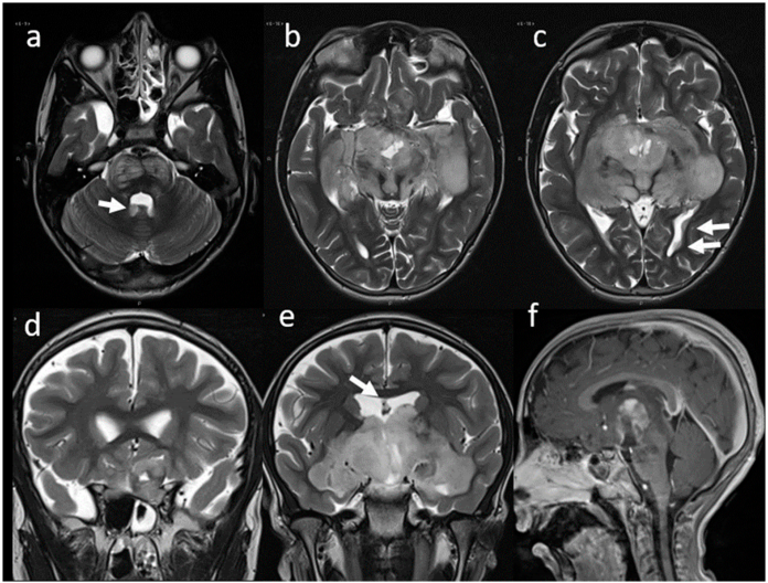
图2. 核磁共振成像。疾病进展时的T2w轴向(a–c)和冠状(d,e)图像。信号特性基本上没有变化。矢状Gd T1w(f)图像显示鞍上肿块的不均匀对比增强部分减少。
考虑了脑积水导致临床恶化的可能性,但MRI未显示颅内压升高的迹象。其他引起嗜睡的系统性原因,如电解质失衡或贫血被排除在外。
自身免疫抗体(抗GAD、抗Hu、抗Yu、抗NMDA和电压门控K通道抗体)为阴性。在记录了超过6小时的夜间睡眠的视频多导睡眠图后进行的多睡眠潜伏期测试(MSLT)表明,2 SOREM(睡眠开始REM)存在白天过度嗜睡和非常短的睡眠开始潜伏期(<2分钟),因此类似于发作性睡病模式。开始莫达非尼治疗,莫达非尼可部分有效地减少每日嗜睡,但引起副作用,如心动过速和精神运动躁动。
然后尝试使用皮托利坦作为一种附加药物,但它与严重的焦虑症状有关,对睡眠过度没有益处;因此,被暂停。
在接下来的几个月里,患儿出现了持续的运动障碍、精神病、缄默症、吞咽症、遗尿症和继发性自闭症谱系障碍,出现了进行性和显著的神经功能衰退。神经损伤导致孩子在几个月内死亡。
结论
嗜睡症在儿科是一种罕见的疾病,需要注意的是它可能是由下丘脑区域损害引起的,如中枢神经系统肿瘤。从更广泛的临床角度来看,将嗜睡障碍和嗜睡症作为肿瘤进展的征兆,并在眼科/内分泌损伤的同一计划中使用这些临床证据来评估肿瘤治疗的选择或改变可能很重要。
发作性睡病的治疗通常耐受性良好,症状得到缓解;然而,也有一些病例,如本文所介绍的病例,对治疗有抵抗力,并具有渐进性和致命性的演变。
医博士编译自:Laus B, Caroleo AM, Colafati GS, et al. Secondary Narcolepsy as Worsening Sign in a Pediatric Case of Optic Pathway Glioma. Children (Basel). 2022; 9(10):1455. doi:10.3390/children9101455.
来源:https://pubmed.ncbi.nlm.nih.gov/36291391/
声明: 所有注明“来源:医博士”的文字、图片和音视频资料,版权均属于医博士所有,转载须注明“来源:医博士”;所有转载文章系出于传递更多信息之目的,且明确注明来源和作者,不希望被转载的媒体或个人可与我们联系,我们将立即进行删除处理。