来源:医博士 | 2023-01-31
根据WHO的组织学分类,胸腺小细胞癌被归类为胸腺神经内分泌肿瘤(TNET)。TNET是极为罕见的恶性肿瘤,其治疗尚未确定。完全切除是TNET的主要治疗方法。然而,在这种情况下,去肿瘤手术并不能提高总生存率,而单纯的化疗或放疗也不会显著影响总生存率。因此,对于晚期或复发性胸腺肿瘤患者,应考虑多学科治疗,包括化疗、放疗和手术。
本病案报告一例患有TNET的老年人,其中多学科治疗包括卡铂(CBDCA)和依托泊苷(VP-16)的化疗以及外科手术,取得了良好的治疗效果。
病例介绍
一名83岁男性患者,因呼吸困难和全身乏力持续数周就诊。体格检查没有重大发现。入院时的实验室检测除了神经元特异性烯醇化酶水平升高至18.1ng/mL,其余结果不显著。
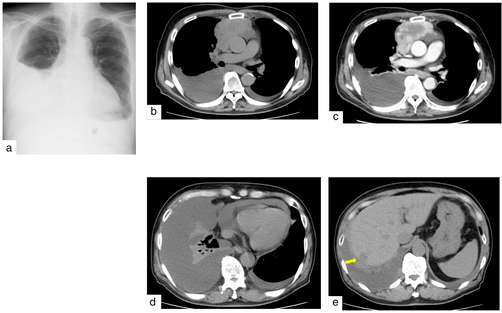
胸片显示右侧占优势的双侧胸腔积液(图1a)。计算机断层扫描(CT)显示前纵隔一个长轴为8cm的部分增强肿瘤(图1b,c),以及双侧胸腔积液、心包液(图1d)和多个肝脏结节(图1e)。右侧胸腔积液细胞学检查显示为V类恶性肿瘤,提示为小细胞癌。该肿瘤被认为是无法手术的原发性胸腺肿瘤,遂进行了CT引导下的肿瘤活检。
活检标本的组织病理学检查显示,非典型小圆细胞呈片状排列,核质比高,局部可见肿瘤细胞核挤压伪影(图2a)。免疫组织化学上,肿瘤细胞对全细胞角蛋白AE1/AE3、突触素(图2b)和CD56(图2c)呈弥漫性阳性,对嗜铬粒蛋白A呈局灶性阳性,但对CD5、细胞角蛋白5、p40、PAX8、甲状腺转录因子-1、白细胞共同抗原、NUT、CD99和S100蛋白呈阴性。Ki-67标记指数为90%。患者被诊断为原发性胸腺小细胞癌,Masaoka–Koga IVb期。

图1. 入院时成像。(a)胸部X线片显示右显性胸腔积液。(b,c)胸部计算机断层扫描(CT)显示前纵隔有一个8厘米的肿块,通过增强CT可部分增强。(d,e)CT显示双侧胸腔积液、心包液和肝结节(箭头)。

图2. 穿刺活检后原发肿瘤的组织病理学表现。(a)通过苏木精和伊红(HE)染色,具有高核质比的非典型小圆细胞显示出片状形态,核压碎伪影用圆圈表示(放大倍数×400)。(b)通过免疫染色,肿瘤细胞对突触素呈弥漫性阳性(放大倍数×400)。(c)通过免疫染色,肿瘤细胞对CD56呈弥漫性阳性(放大倍数×400)。
患者的临床病程如图3a所示。使用CBDCA和VP-16进行化疗。四个周期的化疗后,CT上所有病灶均消失。正电子发射断层扫描/CT上未观察到氟-18脱氧葡萄糖的积聚,认为是完全缓解(CR)。然而,6个月后进行的CT检查显示,前纵隔肿瘤再次生长,心包浸润。确诊为患者局部复发,并开始使用CBDCA和VP-16进行化疗。在一个周期的化疗后,进行了扩大的全胸腺切除术和心包部分切除术。未观察到胸腔积液或胸腔播散,但胸腺肿瘤固定在心包。心包液和胸膜灌洗细胞学检查显示II级恶性肿瘤。肿瘤质实,大约23×16×15mm尺寸(图3b,c)。病理检查证实小细胞癌(图3d)伴有心包浸润,提示R0切除。患者术后接受了三个周期的化疗。最后一次化疗后2.5 年后,癌症没有复发(图3a)。

图3. 肿瘤的临床病程(a)和组织病理学发现(b–d)。(a)胸部计算机断层扫描。左二:化疗开始4个月后,肿瘤和胸腔积液消失。左三:确认完全缓解后6个月,在前纵隔(圆形)观察到一个约2cm大小的复发肿瘤。右:治疗结束后2.5 年,肿瘤没有复发。小细胞癌的肿瘤标志物神经元特异性烯醇化酶(NSE)和促胃泌素释放肽(proGRP)的水平随疾病状态而波动。(b,c)切除的标本和切割表面(c)显示肿瘤质实且有边界。(d)苏木精和伊红染色显示,非典型的小圆细胞在带有细纤维血管间隔的实体中增殖(放大倍数×400)。
结论
本文介绍了一例不能切除的老年胸腺小细胞癌患者得到成功地治疗。第一次化疗后,他的癌症局部复发,但手术切除联合再灌注化疗是有效的。这表明,挽救性手术可能是化疗后TNET局部复发的治疗选择,即使是IV期癌症患者。为每一个罕见肿瘤病例选择合适的治疗方法很重要。胸腺小细胞癌治疗的进一步研究是有必要的。
医博士编译自:Terada J, Toyoda Y, Takeuchi E, et al. Surgical resection combined with perioperative chemotherapy for a patient with locally recurrent, previously stage IV thymic small-cell carcinoma: A case report. Thoracic Cancer. 2022. 13(23):3415-3419. doi: 10.1111/1759-7714.14717.
链接:https://pubmed.ncbi.nlm.nih.gov/36345130/
声明: 所有注明“来源:医博士”的文字、图片和音视频资料,版权均属于医博士所有,转载须注明“来源:医博士”;所有转载文章系出于传递更多信息之目的,且明确注明来源和作者,不希望被转载的媒体或个人可与我们联系,我们将立即进行删除处理。