来源:医博士 | 2023-02-01
掌侧DRUJ脱位的发生率低于背侧;因此,文献中很少有报道描述掌关节脱位。大多数研究报告了掌侧DRUJ脱位采用闭合复位治疗。然而,关于闭合复位失败患者的开放复位治疗的文献很少。本文报告了一例DRUJ孤立性不可复位掌关节脱位,其闭合复位失败,单独使用背侧入路进行开放复位失败,并使用双入路进行切开复位。
病例介绍
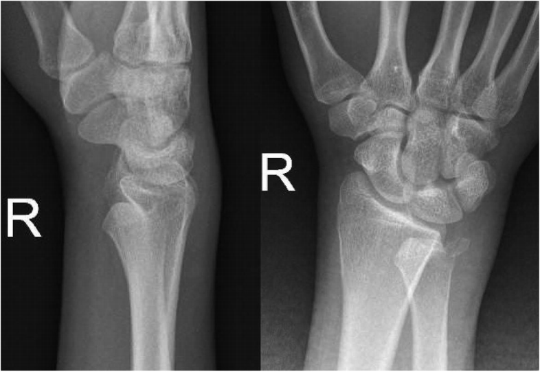
一名19岁男性,右手优势,在用拳头击打墙壁后出现右手腕疼痛和前臂旋转不足。患者以前没有与手腕有关的创伤、医疗或手术史。患者无吸烟及饮酒史,既往无皮质类固醇摄入。体检时,患者的前臂被限制在旋后位置(图1)。尺骨的正常突起背侧缺失,掌侧可触及。皮肤和神经血管状态完好。最初的后前位X线片显示桡骨和尺骨远端重叠并伴有尺骨茎突骨折。侧位X线片显示尺骨掌侧移位与桡骨相关(图2)。
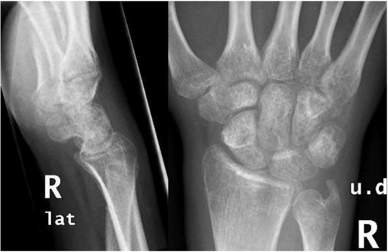
急诊科在镇静状态下尝试闭合复位,然而尝试失败,手腕被放置在临时夹板中,直到脱位可以通过手术复位。患者随后被送往手术室。尝试在全麻下闭合复位,但也失败了。DRUJ的背侧入路在第五伸肌间室上使用。关节暴露,尺骨头部掌关节脱臼,三角纤维软骨复合体(TFCC)完好无损。使用Freer升降机进行了多次复位试验,但即使在释放桡尺背侧韧带后也失败了。掌侧第二个切口用于接近尺骨腕屈肌(FCU)和趾浅屈肌(FDS)之间的关节。尺骨头部被发现穿过囊扣,并撞击桡骨的乙状切口。只有在释放掌侧囊并解除尺骨头部撞击后才可能复位。桡尺背韧带修复;然而关节不稳定,在DRUJ附近的桡骨和尺骨上使用两根克氏针使其稳定。手腕和前臂放在钳夹板上,处于中立位置(图3)。

图1. 患者的临床照片。

图2. 手腕的X光照片。

图3. 复位后手腕的X线照片。
两周后,对伤口进行检查,发现克氏针部位干燥干净。手术后八周,取出克氏针,使用可拆卸夹板,开始职业治疗(图4)。一个月后,患者注意到明显改善。视觉模拟量表(VAS)评分为0,Q-DASH评分为22.7。握力为15公斤,而另一侧为42公斤。X射线显示DRUJ符合要求。术后六个月,患者对自己的手腕运动感到满意,参加了所有日常活动。患者的屈/伸弧度已提高到60/50°,旋后弧度提高到75/40,Q-DASH评分为18。在一年的随访中,运动范围没有改变,最后一次Q-DASH得分是9(图5)。

图4. 克氏针取出后手腕的X线照片。

图5. 患者一年后的随访照片。
结论
本病例报告介绍了一种独特的双入路治疗的不可复位掌侧DRUJ脱位,并强调了在治疗闭合复位失败的急性DRUJ损伤时开放复位的重要性。作者强烈建议外科医生准备好使用双重方法治疗DRUJ损伤,并评估这种手术的可能性。
医博士编译自:Alzobi OZ, Fuad M, Abdolenour A, et al. Acute irreducible volar distal radioulnar joint dislocation treated with open reduction through dual approaches: A case report and literature review. Heliyon. 2022; 8(11):e11222. doi:10.1016/j.heliyon.2022.e11222.
来源:https://pubmed.ncbi.nlm.nih.gov/36353157/
声明: 所有注明“来源:医博士”的文字、图片和音视频资料,版权均属于医博士所有,转载须注明“来源:医博士”;所有转载文章系出于传递更多信息之目的,且明确注明来源和作者,不希望被转载的媒体或个人可与我们联系,我们将立即进行删除处理。