来源:医博士 | 2023-02-03
低度恶性肌纤维母细胞肉瘤(LGMS)是一种罕见的成纤维细胞/成肌纤维细胞恶性肿瘤。其特征是肌成纤维细胞增殖。LGMS的病因尚不清楚。这种实体浸润性软组织肿瘤发生在身体的不同部位,多发于头部和颈部,尤其是舌头,其次是下颌骨、颈部、喉部、腭部、上颌骨和嘴唇。LGMS大多被描述为生长缓慢、无痛肿块,因此最初常被误诊为良性病变。在放射学检查中,破坏性模式可能变得明显。由于LGMS的罕见以及与良性病变的形态学相似,组织病理学诊断具有挑战性。
病例介绍
一名45岁女性患者,舌侧左后下颌骨出现疼痛的外生分叶状肿瘤。患者两周前第一次注意到肿块,她的牙医将其解释为脓疮。5天内,肿瘤迅速增大并伴有疼痛。患者没有发烧、盗汗或体重减轻。无外伤史,从不吸烟。
口外检查未显示肿胀、面部不对称或感觉异常。在头部和颈部,没有观察到淋巴结病变的临床证据。在口腔检查中,卵圆形肿块大小为12×20 mm,触诊质实,表面溃烂,并固定在下层组织上(图1A)。左下颌第一磨牙的活动度增加,但前磨牙和第二磨牙的运动度没有增加。用牙周探针进行的检查显示,除第一颗下磨牙外,上颌和下颌的牙槽正常(图1B)。用CO2干冰测试时,左后下颌的所有牙齿均呈阳性。患者口腔卫生良好。根尖周X线片显示第一磨牙周围的碗状透光区域。锥形束计算机断层扫描(CBCT)显示,第一磨牙舌侧沿牙根及其之间有一处透光性病变。单室溶骨性区域涉及骨的边缘和舌侧,并向牙冠侧开窗。边界定义不清(图2)。左侧第一磨牙或相邻牙齿没有牙根吸收的迹象。

图1. 口腔内照片显示舌侧左后下颌的肿瘤表面溃疡。A:咬合视图,B:牙周探头的前视图和舌视图。

图2. 左下颌骨的锥形束计算机断层扫描。可以观察到第一左磨牙的牙槽骨舌侧和牙根间的透光性。分界部分不清晰,开窗至顶部。
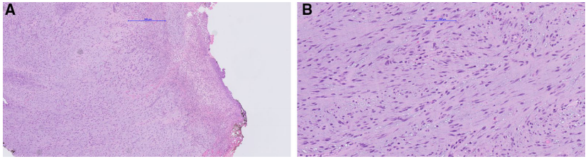
对肿块进行切口活检,组织病理学检查显示随机排列的梭形细胞增殖,有丝分裂活性高,血管化程度高。发现了一个部分束状的层叠结构。背景为纤维状,并显示出部分粘液样(图3A)。更高的放大倍数显示了细长的纺锤形细胞,具有纵向和椭圆形、雪茄形和略微深染的细胞核(图3B)。增殖指数Ki-67约为25–35%。免疫组织化学显示SMA、HHF35和Calponin呈阳性,但Caldesmon和Desmin呈阴性。主要鉴别诊断包括肌纤维瘤和LGMS,但异型性程度和缺乏双相形态学有利于LGMS。

图3. 活检标本的显微照片,松散排列的细胞在纤维和粘液样背景中呈现束状和层状生长模式。下半部为鳞状细胞上皮,而大部分标本已溃疡(A:苏木精和伊红染色,放大50倍)。高倍放大显示雪茄状梭形细胞,细胞核边缘深染(B:放大200倍)。
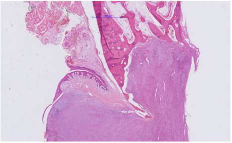
因此,病理学家建议切除肿瘤,并进行随后的组织病理学评估。治疗包括下颌骨的节段整体切除,包括第二前磨牙、第一磨牙和第二磨牙。骨切除术的水平边界位于下颌管正上方。保留了下牙槽神经。在肿瘤切除过程中,使用3D网格板来稳定剩余的下颌骨,以防止骨折。切除肿瘤的组织病理学检查显示,大量非典型梭形细胞呈未包膜、边界清楚的肿块。有丝分裂率为5/10。考虑到表面溃疡、下层致密骨的浸润和破坏以及所描述的形态,证实了LGMS的诊断(图4)。切除边缘清晰。

图4. 显微照片(苏木精和伊红染色,放大1.4倍)低倍镜下可见下颌骨广泛浸润并骨质破坏。
肿瘤切除一年后没有复发迹象。为了实现垂直骨增强,用钛螺钉将自体骨移植固定到左下颌骨,辅以自体骨、血液、骨替代物颗粒的混合物,并覆盖可吸收膜。
结论
LGMS与一系列良性和反应性肿瘤的组织病理学相似性可能导致误诊和治疗延误。LGMS的罕见以至于缺乏既定的治疗方案。本病案表明了充分的临床决策、罕见肿瘤组织病理学专业知识和跨学科交流对实现高质量患者管理的重要性。
医博士编译自:Schwerzmann MC, Dettmer MS, Baumhoer D, et al. A rare low-grade myofibroblastic sarcoma in lower jaw with the resemblance to benign lesions. BMC Oral Health. 2022; 22(1):380. doi:10.1186/s12903-022-02381-1.
来源:https://pubmed.ncbi.nlm.nih.gov/36064342/
声明: 所有注明“来源:医博士”的文字、图片和音视频资料,版权均属于医博士所有,转载须注明“来源:医博士”;所有转载文章系出于传递更多信息之目的,且明确注明来源和作者,不希望被转载的媒体或个人可与我们联系,我们将立即进行删除处理。