来源:医博士 | 2023-02-20
在糖皮质激素和免疫抑制剂治疗系统性红斑狼疮(SLE)期间,结核分枝杆菌(TBC)感染的发生率显著增加,特别是在发展中国家。一篇对35项研究(包括13个国家的46327名SLE患者)的数据进行的荟萃分析显示,SLE患者TBC的患病率为3.59%。TBC的临床表现多样且非特异性,因此诊断非常困难。此外,由于肠道TBC和狼疮性肠道血管炎的临床表现极为相似,两者均表现为腹痛、腹泻、恶心、呕吐等,这往往导致误诊或诊断不及时。肠道TBC可导致吸收不良综合征、梗阻、穿孔和瘘管。当患者有慢性穿孔时,可在腹腔内形成脓肿,脓肿破裂可导致肠瘘,导致膀胱和肠道之间的连接。如果没有明确的诊断和及时的治疗,这会严重威胁患者的生命。在这里,本文报告了一例罕见的由肠道TBC合并SLE引起的膀胱直肠瘘病例,此前尚未有过此类病例报告。
病例介绍
一名24岁的女性患者在19岁时出现皮疹和口腔溃疡并伴有关节痛,当时抗核抗体和双链DNA抗体呈阳性。根据患者的临床表现和相关免疫测试结果,患者被诊断为SLE。患者最初接受泼尼松50 mg/天和羟氯喹口服治疗。患者定期复查,并进行合理的疾病控制,随后泼尼松剂量逐渐减少至10 mg并进行长期维持治疗。
2018年8月,患者开始反复腹泻,伴有腹痛和偶尔发烧,体温高达40°C,并伴有恶心和厌食。每天大便几次至十次,呈黄色水样。未进行治疗。2018年10月17日,患者入院。血常规:白细胞计数(WBC)8.31G/L,中性粒细胞%(NEUT%)85%,红细胞(RBC)2.99T/L,血红蛋白(Hb)74.00G/L,红细胞比容(HCT)24.2%,血小板计数(PLT)295.00G/L。尿液分析:红细胞1321.00细胞/ul,白细胞1636.00细胞/ul、尿蛋白+。大便常规+潜血试验(OB):粪便潜血阳性。
粪便涂片显示真菌孢子和菌丝。高敏C反应蛋白103.29 mg/L。红细胞沉降率为94mm/h。Coombs实验阳性。ANA抗体谱(含抗dsDNA)抗核抗体1:1000阳性,抗双链DNA抗体阴性,抗Smith抗体弱阳性,抗核糖体P蛋白抗体强阳性。补体3水平0.61 g/L,补体4水平0.14 g/L。T细胞酶联免疫斑点(T-SPOT)阳性。
胸部CT:两侧间质改变。由于患者最初使用多种抗生素治疗无效,并且基础疾病为SLE,考虑到狼疮相关的肠道血管炎是SLE的常见并发症,当出现明显的胃肠道症状时,给予甲基强的松龙脉冲治疗,500mg/d,共3天,共2次;给予氟康唑200mg/d,po(10.21~11.04),氟康唑200mg/divgtt(11.04~11.06)进行抗真菌治疗。经过上述治疗,患者的腹泻没有明显改善。
2018年11月6日,患者转院继续治疗。血细胞分析显示白细胞7.73G/L,红细胞2.68T/L,血红蛋白70.00G/L,HCT21.9%,血小板61.00G/L。尿液检查显示红细胞68.0个/ul,白细胞456.00个/ul、血3+。大便常规+OB:大便隐血阳性。肝肾功能和电解质无明显异常。ANA抗体谱(含抗dsDNA)抗核抗体:1:3200阳性,抗Smith抗体阴性,抗双链DNA抗体阴性。抗核糖体P蛋白抗体呈强阳性。补体3水平0.398 g/L,补体4水平0.124 g/L。高敏C反应蛋白103.29 mg/L。红细胞沉降率正常。Coombs实验阳性。
胸腹部CT显示双侧间质改变(主要表现为左上肺结节和右下肺钙化),升结肠肠壁水肿和增厚,周围有多处渗出物。在病程中,患者没有关节痛、脱发、口腔溃疡或新皮疹,SLEDAI评分为3。甲基泼尼松龙(40mg/d)用于免疫抑制,米卡芬净(100mg/d)用于抗真菌治疗,左氧氟沙星(0.3g/d)和甲硝唑(0.2g Tid)用于抗感染,以及营养支持和其他治疗。
上述治疗后,腹泻没有明显缓解。住院期间,发现患者反复腹泻,大便呈黄色水样,含水量高,表面有漂浮的粪便残留物,大部分时间都是规律性的,间隔3~5小时;此外,患者每日摄入量约为2000mL,尿量显著减少(约100mL/d),尿液中有许多絮状物,但患者多次肾功能检查均无异常(肌酐在28.00~41.01 umol/L之间波动),且无明显全身水肿。
根据尿和排便的特点和规律,考虑是否存在尿瘘。因此,为了确认诊断,进行了以下验证:首先,获取了患者的粪便,在粪便离心后测量其尿肌酐值(2504 umol/L),并获取了另一位肾功能正常患者的尿液,以测量其尿肌酸酐值(3442 umol/L);然后膀胱造影显示造影剂从膀胱渗出(图1A和B);此后,进行了肾脏动态成像,发现随着时间的推移,造影剂在肾脏和膀胱中逐渐可见(图1C),患者的粪便样本也显示了这种可视化(图1D)。
图1. 膀胱造影、肾动态成像和粪便成像
最终,患者被确诊为尿瘘。为了了解尿瘘的原因,进行了结肠镜检查,发现大肠内有多处溃疡,疑似克罗恩病(图2),结肠组织活检显示慢性炎症和肉芽组织增生(图3)。由于克罗恩病和肠结核在临床表现和病理学上相似,考虑到该患者有疲劳、厌食、体重减轻、近期盗汗以及长期使用激素和免疫抑制剂的病史,胸部和腹部CT显示多发胸部、腹部和腹膜后淋巴结病伴钙化,T-SPOT阳性,高敏C-反应蛋白升高,尽管肠结核的易发部位是回盲部,但也可能发生在整个肠道,因此仍不能排除肠道TBC。
进行了进一步相关检查:胃镜检查显示慢性非萎缩性胃炎,QFT阳性,PCR技术检测结肠活检组织中的结核分枝杆菌两次阳性,抗酸染色显示阳性杆菌。结合患者的病史、临床表现和相关检查,确诊为肠道TBC引起的膀胱直肠瘘。给予四倍抗结核治疗(异烟肼+利福平+吡嗪酰胺+乙胺丁醇),并根据患者的潜在疾病和营养状况给予保守治疗(留置导管观察瘘管是否能自发闭合);由于SLE给予患者泼尼松(20mg/d)和羟氯喹(0.2g bid)。

图2. (A)末端回肠;(B)盲肠;(C)升结肠;(D)升结肠;(E)横结肠;(F)降结肠;(G)乙状结肠;(H)直肠。盲肠、升结肠、横结肠和降结肠的多发性溃疡和糜烂;直肠粘膜光滑和多发性溃疡;光滑的乙状结肠粘膜和分散的溃疡

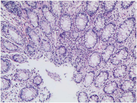
图3. 直肠、升结肠、横结肠和盲肠的病理活检:(直肠)黏膜的慢性炎症
1个多月后,患者因急性肠梗阻再次入院,并用小肠引流管进行胃肠减压引流。患者继续接受抗结核治疗,病情好转出院。在此期间,患者定期复查,肠镜检查显示2020年11月溃疡愈合(图4)。在2022年1月7日之前的随访期间,患者逐渐将泼尼松降至7.5 mg/d,羟氯喹降至0.2 g/d,并停用抗结核药物1年。目前,患者病情稳定,大小便正常,狼疮得到良好控制。
图4. (A)回盲部;(B)盲肠;(C)升结肠;(D)升结肠;(E)横结肠;(F)乙状结肠;(G)直肠;(H)肛管。回盲瓣瘢痕牵引导致的变形和狭窄,显示持续打开状态。在盲肠、升结肠、横结肠和降结肠观察到白色瘢痕,其中在盲肠和升结肠观察到直径约0.2~0.5cm的少数散在息肉样增生。直肠和乙状结肠粘膜光滑,乙状结肠可见白色瘢痕,表面光滑
结论
本文报告了一例SLE合并肠结核和继发性膀胱瘘的病例。在SLE的诊断和治疗中,特别是在中国等结核病流行地区,应注意在治疗前后监测和定期筛查结核病。鉴别诊断需要严格,必要时可以重复相关检查或病理活检。个体化治疗应注意疾病活动、感染和生活质量之间的平衡。
医博士编译自:Wu P, Zeng J & Yang L. Case Report: Vesicorectal Fistula Caused by Intestinal Tuberculosis Complicated with Systemic Lupus Erythematosus. Infection and Drug Resistance. 2022; 15:6237-6243. doi:10.2147/IDR.S383893.
声明: 所有注明“来源:医博士”的文字、图片和音视频资料,版权均属于医博士所有,转载须注明“来源:医博士”;所有转载文章系出于传递更多信息之目的,且明确注明来源和作者,不希望被转载的媒体或个人可与我们联系,我们将立即进行删除处理。