先天性淋巴细胞脉络丛脑膜炎病毒感染的产前诊断

来源:医博士  | 2023-02-24    


淋巴细胞脉络丛脑膜炎病毒(LCMV)是一种有包膜的单链RNA病毒。这种病毒以啮齿类动物(主要是家鼠)为主要宿主,是一种人畜共患病。人类在接触受感染的分泌物(如鼻分泌物、唾液、牛奶、精液、尿液或粪便)后可能会感染。受污染的对象更可能出现在与受感染动物一起工作的人群中,例如宠物店的工作人员或农民。

 

因为病毒可以穿过胎盘屏障,因此可通过垂直传播传染给胎儿。LCMV在人类胎盘中复制的能力可能会在妊娠早期增强,这是胎儿在经胎盘污染情况下最脆弱的时期。大多数怀孕早期的感染会导致流产,小部分存活的胚胎大多会出现神经和视觉损伤。在感染的胎儿中,LCMV毒株也主要针对中枢神经系统,特别是大脑和视网膜。所描述的体征和症状包括小头畸形、脑室周围钙化、脑积水、神经元迁移异常、脑室周围囊肿、癫痫发作、神经发育障碍、全视网膜色素上皮萎缩、视神经发育不良或萎缩以及视网膜血管口径缩小。也可能伴有其他非神经系统表现,但相当罕见。包括腹水、小于胎龄、心脏肥大、皮肤异常、积水、肝脾肿大、胸腔和心肌积液、胸腺肥大、贫血和血小板减少。

 

在本病例报告中,描述了一例先天性LCMV感染的病例,在妊娠前三个月母体感染后,胎儿出现典型的脑和脑外症状。

 

病例介绍

一名22岁初产妇,是一名农民和市场工人,怀孕前没有病史。患者在工作期间经历了一次野鼠咬伤,并在六天后出现了多种症状,包括发烧(39.7°C)、乏力、肌痛和畏光。通过对症治疗,患者的症状逐渐消失。医生建议患者咨询妇科医生,以便对其怀孕进行随访。患者在妊娠21 wg之前的检查正常,包括孕早期超声检查,没有发现胎儿或胎盘异常。21 wg时进行的形态学扫描显示胎儿严重的双侧脑室扩大。母亲血清中HSV、寨卡病毒、PB19和TP均为阴性,自6wg以来提示弓形虫病、巨细胞病毒和风疹的既往免疫,IgG滴度稳定。

 

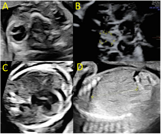
22 wg的超声检查证实胎儿严重的双侧心室肥大,伴有脑室周围充血、皮质变薄、皮质带不规则、尾状核畸形(包括钙化)、脑周间隙扩大、第三脑室扩张、透明隔腔破裂、层状胼胝体和小脑发育不全(主要影响小脑半球,小脑横径20mm)(图1)。

图1. 孕22周胎儿神经声学造影

 

胎儿大脑中动脉的收缩速度为40 cm/s,相当于胎龄中值(mom)的1.4倍。观察到右侧单侧小眼球,脑外检查显示胎儿生长受限(FGR),估计胎儿体重为450克,低于胎龄的第三百分位数。

 

由于胎儿异常,羊膜穿刺术在22 wg时进行。核型为46,XX。阵列CHG未检测到胎儿基因组中的微缺失或微重复,羊水中的CMV PCR为阴性。接下来在25和28 wg时进行的超声波检查发现了类似的大脑异常,脑积水增加导致右半球脑实质极度变薄,而在28 wg时头围为292 mm的巨头畸形(>97百分位)。最后一次超声检查还发现视交叉发育不全,特别影响右视神经和后束(视交叉直径为5.2 mm,右视神经直径为2.0和1.8 mm,图2)。脑外检查发现心脏肿大、轻微心包积液、肝脏肿大和中度腹水。大脑中动脉的收缩速度为56cm/s,相当于1.5 mom,提示胎儿贫血。

 

图2. 孕25和28周胎儿超声检查

 

29 wg时进行的胎儿MRI证实了眼部和神经系统异常,枕骨多微脑回和室管膜下结节(图3)。经多学科讨论后怀疑先天性LCMV是这些胎儿感染症状的病因。

 

图3. 孕29胎儿MRI(T2加权序列)

 

由于胎儿预后不良,患者终止妊娠。在30 wg时进行引产,并进行胎儿血液取样,结果显示中度血小板减少(105000个/mm3)和贫血(血红蛋白8.8g/dL)。引产一名940克(<第三百分位数)的女婴,头围为30cm(>第97百分位)。分娩后采集脑脊液,福尔马林固定后对胎儿和胎盘进行病理检查。对胎儿的尸检证实了脑外异常(心脏肥大、心包积液、肝肿大、腹水),并发现脾脏肥大。神经病理学检查证实脑积水伴透明隔腔小叶破裂。小脑表现为整体发育不良,右半球减少(白质丢失),左半球小脑叶异常。蚓部发育不良,顶盖扩大。眼部检查证实存在单侧小眼球,视神经发育不良,并在右眼上发现多处脉络膜视网膜疤痕。胎盘检查发现非特异性绒毛炎。ELISA检测到胎儿血液和脑脊液中的LCMV-IgM。

 

结论

LCMV可通过接触受感染啮齿动物的尿液、粪便、唾液或血液传染人类。如果产妇接触或被啮齿类动物咬伤,应注意胎儿先天性LCMV感染的可能。间接免疫荧光检测的血清学最初用于确认LCMV感染的诊断。包括酶联免疫吸附试验(ELISA)和聚合酶链反应(PCR)在内的其他方法也有助于诊断。当感染发生在怀孕期间时,胎儿存在经胎盘感染并随后出现神经或视觉损伤的风险。临床医生应了解LCMV,因为简单的预防措施可以避免与这种感染相关的先天性异常。

 

医博士编译自:Tevaearai F, Moser L & Pomar L. Prenatal Diagnosis of Congenital Lymphocytic Choriomeningitis Virus Infection: A Case Report. Viruses. 2022; 14(11):2586. doi:10.3390/v14112586.

https://pubmed.ncbi.nlm.nih.gov/36423195/


声明: 所有注明“来源:医博士”的文字、图片和音视频资料,版权均属于医博士所有,转载须注明“来源:医博士”;所有转载文章系出于传递更多信息之目的,且明确注明来源和作者,不希望被转载的媒体或个人可与我们联系,我们将立即进行删除处理。