来源:医博士 | 2023-02-24
气管插管后的气胸、皮下气肿或纵隔气肿很常见,尤其是患有潜在气管疾病或肺部疾病的老年患者。然而,气管插管后延迟气胸/纵隔气肿的现象在儿童中相对罕见。本文描述了此类案件的发展和恢复过程。
病例介绍
一名2岁女孩(体重:12.0 kg,身高:90.0 cm)接受了第三次介入手术,以治疗右眼视网膜母细胞瘤,这是2个月前首次确诊的。术前检查未发现明显异常。入院后第2天,在全身麻醉下进行选择性动脉化疗。
在手术室进行麻醉诱导,并对患儿进行全面监控。使用氧气和七氟醚进行气体诱导,建立静脉通路,并给予阿曲库铵(2.0 mg)、咪唑安定(1.2 mg)、氯胺酮(15 mg)、依托咪酯(5 mg)和异丙酚(30 mg)。温和面罩通气5分钟,双侧扩张,周围毛细血管血氧饱和度(SpO2)为100%。
喉镜检查为1级,第一次成功完成气管插管(尺寸:4.5,深度:14.0 cm)。固定导管,然后采用间歇正压通气(IPPV)模式,潮气量(VT)为10mL/kg,呼吸频率(RR)为每分钟20次呼吸,吸入/呼吸比为1:2,空气/氧气比为1.1:0.6。
术中使用七氟醚维持麻醉。50分钟后手术结束,3分钟后恢复自主呼吸,取出气管插管,将患儿送往病房。回到病房大约40分钟后,患儿完全清醒,血压为110/70 mmHg,心率(HR)为每分钟80次,RR为每分钟18次呼吸,SpO2为99%。
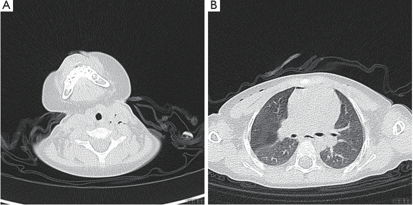
大约4小时后,患儿哭后出现烦躁和发绀。急诊胸部X光检查显示双侧颈部和胸壁有皮下气体,并有纵隔气肿的可能性(图1A)。立即通过鼻插管给氧,并使用14号针头进行皮下排气。进一步的计算机断层扫描(CT)显示右肺上叶和双肺下叶轻度炎症,颈部和双侧胸壁皮下气肿,以及纵隔气肿(图1B、1C)。密切观察了患儿的病情变化。

图1. X线和CT扫描分别显示皮下气肿和纵隔气肿
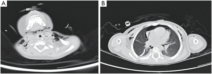
术后第2天进行的CT显示双侧气胸,右侧气胸比左侧气胸更明显,颈部和胸壁有皮下气肿,纵隔气肿,两肺有斑片状阴影(图2)。对患儿进行了紧急胸腔闭式引流,在右侧放置了一根胸管,没有任何并发症。患儿继续接受氧气进行对症治疗。
图2. CT显示双侧气胸、皮下气肿和纵隔气肿
术后第3天,CT显示两侧有少量气胸和部分肺不张,颈部、纵隔和胸壁有皮下气肿(图3A、3B)。胸腔闭式引流术后第3天取下引流管,24小时内不抽气。
图3. CT显示少量气胸、皮下气肿、纵隔气肿和右胸引流管。CT、计算机断层扫描
术后第4天的CT检查显示颈部、纵隔和胸壁有少量皮下气体积聚(图4A、4B)。患者于术后第7天出院,拒绝进行纤维支气管镜检查以确定病因,出院后随访中未观察到异常。

图4. CT显示颈部、纵隔和胸壁有少量皮下气肿
结论
由于气管插管引起的皮下和/或纵隔气肿和气胸很常见。然而,气管插管后延迟气胸/纵隔气肿的现象在儿童中相对罕见。因此,为了加强并发症的病因,儿科围手术期观察和术后随访是有效预防、早期诊断和及时治疗皮下和/或纵隔气肿和气胸的重要措施,也有利于确保患者的安全。
医博士编译自:Wang S, Zhang X & Quan Z. Delayed subcutaneous emphysema, mediastinal emphysema and pneumothorax after tracheal intubation in a child: a case report. Translational Pediatrics. 2022; 11(10):1726-1730. doi:10.21037/tp-22-453.
声明: 所有注明“来源:医博士”的文字、图片和音视频资料,版权均属于医博士所有,转载须注明“来源:医博士”;所有转载文章系出于传递更多信息之目的,且明确注明来源和作者,不希望被转载的媒体或个人可与我们联系,我们将立即进行删除处理。