来源:医博士 | 2023-04-19
系统性红斑狼疮(SLE)是一种慢性、自身免疫性多系统疾病,主要影响十几岁至四十多岁的女性。据报道,多达三分之一的SLE患者眼部受累,症状从干眼症到威胁视力的血管闭塞性视网膜病变不等。其中,活动性视网膜血管病尤为重要,因为它是疾病活动和不良预后的显著指标。根据以往的报告,视网膜血管病变的发生率在3%~29%之间,这取决于SLE患者的疾病活动。临床上,可表现为轻微的形式,如微血管病,到严重的视网膜中央血管阻塞;患者可能会出现轻微的眼部不适,直至突然丧失视力。
视网膜微血管病的表现为棉絮斑、视网膜内出血、微动脉瘤、渗出物和曲折的视网膜血管,很容易被误诊为糖尿病视网膜病变或高血压视网膜病变。严重血管闭塞性视网膜病变与视网膜毛细血管不融合、视网膜动脉或静脉闭塞、玻璃体出血和眼部新生血管形成有关。这是十分罕见的,但具有重要的临床意义,因为它会导致视力下降。有研究报道,55%的严重血管闭塞患者最终视力低于20/200。
目前,系统性皮质类固醇和免疫抑制剂是严重视网膜疾病的首选治疗方法,对于血管闭塞性视网膜病变或抗磷脂抗体显著升高的患者,可能需要抗血小板药物。本文报告一例SLE患者急性眼部受累,随后患者整体病情迅速恶化。尽管患者对全身类固醇治疗不耐受,但患者对血浆置换反应显著。
病例介绍
一名21岁女性,出现癫痫样运动。患者之前在风湿免疫科被诊断为SLE,最近因为药物引起的肝毒性而停止服用羟氯喹;改服口服类固醇和环孢霉素。患者主诉在过去五天中视力下降,双眼上眼睑轻度肿胀。
眼科检查中,患者的最佳矫正视力为右眼0.9,左眼1.0,并发现轻度水肿。眼底镜检查显示无明显异常,但光学相干断层扫描(OCT)显示双侧视网膜下积液。尽管患者在癫痫发作后没有神经功能缺陷,但通过脑磁共振成像(MRI)发现左枕皮质有小的急性梗死,脑电图显示轻度弥漫性脑功能障碍。此外,疾病特异性血清学标志物,如狼疮抗凝剂和抗心磷脂抗体均为阳性。由于神经影像学和血清学标志物均表明疾病活动加剧,患者入院接受密切观察和高剂量类固醇治疗。患者的临床和实验室检查结果高度提示血管血栓事件,并使用了低分子肝素。
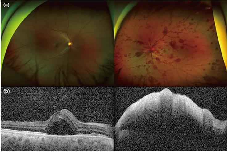
一天后,患者主诉左眼突然出现无痛性视力丧失。矫正后的右眼视力为0.7,眼底镜检查显示视网膜血管系统相对正常,中央凹周围区域有浆液性视网膜脱离。左眼眼底镜检查显示视盘肿胀,伴有乳头周围出血、弥漫性视网膜下出血、四个象限的视网膜静脉扩张和弯曲,以及黄斑周围变白。OCT显示右眼视网膜下积液增多,左眼神经感觉视网膜层弥漫性增厚和高反射,伴有明显的后阴影(图1a,b)。此外,左眼荧光素血管造影术显示脉络膜填充延迟和显著的动脉填充缺陷,以及右眼视网膜下空间的染料泄漏和聚集点。
尽管继续静脉注射皮质类固醇治疗一周,但患者视力仍然下降,并出现严重的双眼眼睑肿胀和双眼大疱性水肿(图2a)。随后,眼外运动受到明显限制。患者的病情突然恶化,甚至无法正确说出自己的名字,不得不将她转移到重症监护室。血清学显示补体水平低(C3 24.4 mg/dL,C4 2.4 mg/dL)和DNA抗体升高,这与疾病活动有关。
在随访MRI中,没有发现明显的间隔变化,也没有发现眼外肌的特异性变化。在急性精神错乱(这是神经精神系统性红斑狼疮的一种表现)的状态下,决定进行治疗性血浆置换(TPE),两周内进行了6次治疗。由于不能排除感染和进行性细胞减少,其他免疫抑制治疗,如静脉注射环磷酰胺被推迟。即使在TPE后,由于弥漫性视网膜动脉和静脉闭塞,患者的左眼视力恶化到光感,但她的右眼完全恢复;视力提高到0.9,浆液性脱离得以解决。双侧严重的眼睑肿胀和水肿明显减少(图2b,c)。

图1. 眼底镜和光学相干断层扫描结果
图2. 在持续静脉注射皮质类固醇治疗一周后,(a)双侧眼睑肿胀和化学反应恶化。此外,SRF增加。(b)第1次TPE一天后,双侧眼睑肿胀明显改善,右眼SRF下降。(c)第6次也是最后一次TPE后,眼睑肿胀、水肿和SRF完全消失
结论
本病例表明,由于SLE视网膜病变反映了系统性血管损伤,先前的SLE眼部表现可能是SLE恶化的指标。此外,尽管TPE在SLE患者中的疗效仍然有限,通过本病例表明TPE可能是进展期SLE的有益治疗选择。
医博士编译自:Lee JH, Jeon HW, Moon SJ, et al. Treatment of Various Ocular Manifestation of Systemic Lupus Erythematosus with Therapeutic Plasma Exchange. Journal of Clinical Medicine. 2022; 11(22):6632. doi:10.3390/jcm11226632.
声明: 所有注明“来源:医博士”的文字、图片和音视频资料,版权均属于医博士所有,转载须注明“来源:医博士”;所有转载文章系出于传递更多信息之目的,且明确注明来源和作者,不希望被转载的媒体或个人可与我们联系,我们将立即进行删除处理。