来源:医博士 | 2023-05-29
异位肝细胞癌(EHCC)是指由位于肝外器官或组织的肝实质引起的肝细胞癌。据报道,腹腔镜或尸检期间异位肝的发生率在0.24%-0.47%之间。异位肝可位于肝脏附近的各种器官或组织中,如胆囊、肾上腺、胰腺、腹膜和胸部。由于位置的变化,EHCC的临床体征仍未完全阐明。因此,EHCC是一种非常罕见的肿瘤疾病,其位置可变,缺乏特定的临床体征,这增加了术前准确诊断的难度。本文报告一例疑似腹膜后肿瘤或肾上腺肿瘤的肾上腺浸润型EHCC。
病例介绍
患者男性,61岁,乙型肝炎病毒抗体阳性(HBV-DNA为2.174×102),表现为腹胀、纳差一周。患者因出现腹胀和低热就诊,腹部超声检查显示一个巨大的固体肿块,并伴有混合回声。患者无高血压、糖尿病、心脑血管疾病史,无手术史。查体腹部柔软平坦。右上象限有轻微压痛,Murphy征为阴性。推动肿块,肝脏在肋缘以下2厘米处可触及。患者上个月体重减轻5公斤。(ECOG:0)。
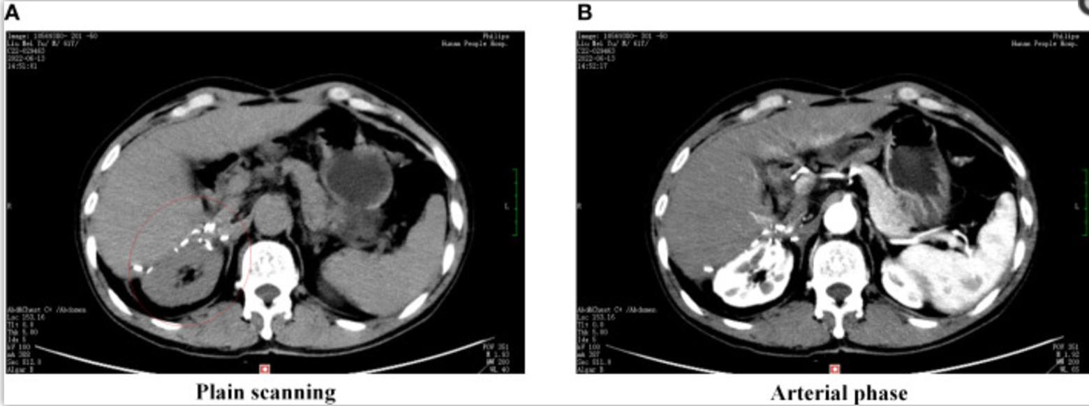
腹部增强CT显示腹膜后肿瘤(11.8×11.0×8.3cm)位于右肾上腺区,动脉期明显增强,静脉期持续增强(图1A、B)。磁共振成像(MRI)显示动脉期增强不均匀,肝胆期无异常信号灶(图1C、D)。在实验室测试中,由于肿瘤位于肾上腺区域,对血清钾、醛固酮、皮质醇和血浆肾上腺素进行了测试,结果正常。血清甲胎蛋白(AFP)和甲胎蛋白-L3%分别为23.69 ng/mL和82.1%。

图1 腹部增强CT及磁共振成像图
患者接受了腹部探查术,从肾上腺区域切除了肿瘤。经探查,右侧腹膜后腔有一巨大的带包膜椭圆形实体瘤,靠近肝脏和右肾,并浸润肾上腺组织。肿瘤的血液供应由右肾动脉和腹主动脉的小分支提供,邻近的肝脏、右肾和下腔静脉被肿瘤压迫移位。
切除标本的总尺寸约为16.0×14.0×10.0cm,被膜包裹,切面为红黄色,瘤内出血。肿瘤标本的组织病理学检查显示,有大量肝癌细胞呈梁状、索状和巢状排列(图2)。肿块表面可见金黄色肾上腺组织,病理结果表明癌细胞侵入肾上腺。肿瘤标本的病理检查没有发现任何显著的胆组织学结构。因此,推测异位肝细胞可能不具有正常的胆汁分泌功能,这种变异会导致肝细胞变性甚至癌变。
图2 标本图及病理
在肿瘤标本的免疫组织化学染色中,肝细胞和Glypian-3分别呈阴性和局灶性阳性,但Arginase-1(Arg-1)阳性。此外,GS-6阳性,Ki67部分阳性,抑制素-a阴性,S-100阴性,p53阴性,黑色素-a阴性(表1)。在术后实验室测试中,AFP和AFP-L3%的水平分别降至5.98 ng/mL和35.4%。最后,腹膜后肿瘤诊断为EHCC。在通过组织病理学检查诊断为EHCC后,患者接受了PD-1阻断剂辛蒂利单抗和乐伐替尼的辅助治疗。术后12个月,腹部增强CT扫描显示术后变化,未发现肿瘤复发(图3)。目前追踪12个月,患者存活无复发。
图3 术后复查腹部增强CT无复发

表1 免疫组化结果
小结
EHCC的术前诊断通常非常困难。位于肾上腺区域的肿瘤进一步增加了诊断难度,很容易被误诊为肾上腺肿瘤。如果放射学研究显示肾上腺区域有肿瘤,可以进行肾上腺相关激素测试来评估肿瘤的内分泌功能。EHCC的早期手术治疗往往具有良好的长期结果。
医博士编译自:Yang Y, Lu Q, Li Z, et al. A large ectopic hepatocellular carcinoma with adrenal infiltration: a rare case report.Frontiers in Oncology. 2023; 13:1116684. doi:10.3389/fonc.2023.1116684.
声明: 所有注明“来源:医博士”的文字、图片和音视频资料,版权均属于医博士所有,转载须注明“来源:医博士”;所有转载文章系出于传递更多信息之目的,且明确注明来源和作者,不希望被转载的媒体或个人可与我们联系,我们将立即进行删除处理。