来源:医博士 | 2023-05-30
孤立性纤维瘤(SFT)是一种罕见的肿瘤,既往被认为起源于间皮,但后来的研究证明其起源于间皮下成纤维细胞。孤立性纤维瘤主要发生于胸膜及胸膜外部位,如肝脏、咽旁间隙、舌下腺、舌、腮腺、甲状腺和眶周。在极少数情况下,孤立性纤维瘤可起源于鼻腔和鼻窦,并伴有相邻结构的侵蚀。在现有文献中,鼻和鼻窦受累的SFT报道很少。
病例介绍
患者男性,24岁,两个月内进行性右侧鼻塞伴鼻漏,不伴鼻出血、面部疼痛或面部肿胀等不适。否认既往史及手术史。鼻内镜检查提示右鼻腔被一不规则肿物占位。中鼻甲被肿物遮挡,无法窥清(图1)。对鼻腔肿物进行了活检。
图1
鼻窦CT提示一4.0cm*2.1cm*3.8cm肿物,向上延伸至鼻顶,右中鼻甲移位,中鼻道闭塞,鼻中隔向左侧偏曲。鼻中隔中部可见轻微骨质侵蚀(图2)。窦腔内未见明显占位。
图2
第一次就诊时对肿物进行的初步活检提示为良性炎症性鼻息肉。为进一步诊断和治疗,行鼻内镜下鼻腔肿物切除术。术中发现固体肿块,表面不规则,内里硬度一致,起源于中鼻甲前端,整个右鼻腔占位。手术保留了邻近骨壁和鼻中隔粘膜。肿瘤用冷兵器完整切除,上颌窦未见异常。术中和术后均无大出血。
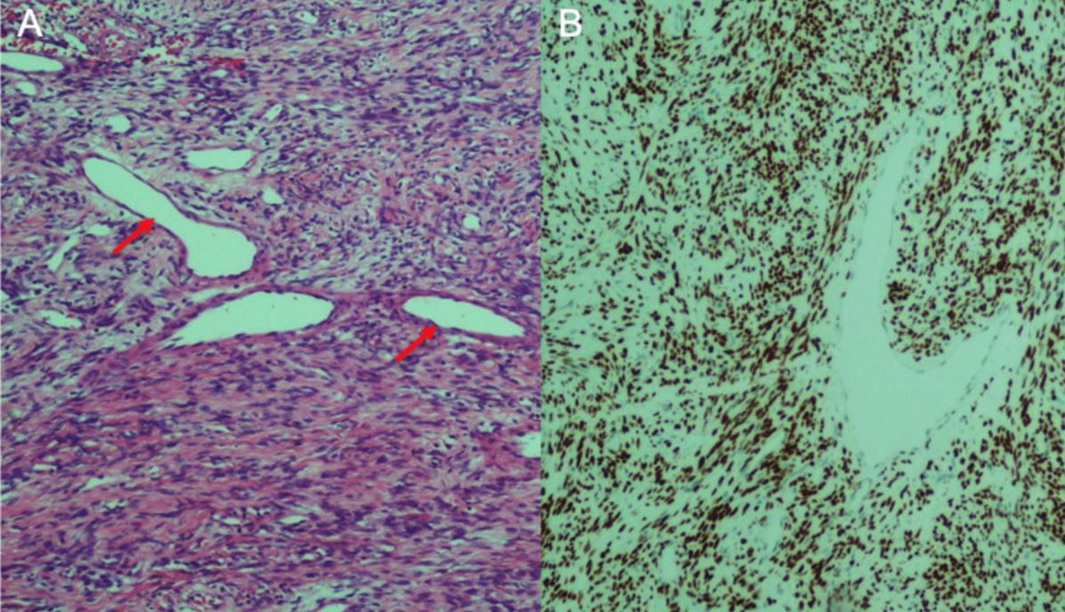
术后病理检查显示,肿瘤边界清晰,间质由淡纺锤形细胞组成,增殖呈局灶性束状。肿瘤细胞之间可见胶原纤维,少见有丝分裂活动。肿瘤细胞在免疫组织化学(IHC)染色中显示出CD34的局灶性阳性,STAT6的强扩散核染色支持SFT的诊断(图3)。

图3
患者术后恢复良好。在三个月的随访中,患者无明显不适,鼻内镜检查未见复发的、迹象(图4)。
图4
讨论及小结
大多数胸膜外孤立性肿瘤遵循良性过程,表现为由于肿瘤进展而对附近结构进行的压迫症状,与其他解剖部位类似,鼻腔SFT没有性别偏好。呈现的年龄从18-79岁不等,平均年龄为49岁。SFT发生在鼻腔时,表现为非特异性症状,如单侧鼻塞、鼻漏、头痛,有时合并鼻出血。这些症状可以伴随任何鼻腔肿瘤,并无SFT的诊断特异性。单侧鼻腔肿无有一些鉴别诊断,包括鼻息肉、内翻性乳头状瘤、血管纤维瘤和恶性肿瘤,如鼻窦癌和淋巴瘤。
本案例选择的治疗方法是内镜下手术切除,这是一种微创手术方式,可以完全清除肿物。对于不适合整体切除的SFT,可以进行分段切除并随后切除下层骨膜,以最大限度地减少复发。鉴于SFT数量较少,对此肿瘤的了解有限,文献中可获得的治疗结果有限。过去也有一些其他的治疗方案。Rizzo等人在他们的患者中进行了术前栓塞以减少出血,因为肿瘤在内镜下看起来是红色的,但其他持不同观点的作者在没有进行栓塞手术的情况下进行了治疗,并没有报告术中出血的并发症。Martinez等人呼吁在鼻腔SFT切除后进行放射治疗,以将复发风险降至最低。话虽如此,在这些良性肿瘤中使用放射治疗仍然存在争议,目前没有足够的证据推荐使用。据报道,SFTs的复发率在5-40%之间。在完全切除后,SFT的总体预后被认为是较好的。然而,由于鼻腔中SFT的数量有限,很难准确预测其临床行为和预后。
医博士编译自:Chew ZH, Lim EH, Sairin ME, et al. Solitary Fibrous Tumour: A Rare Differential Diagnosis of Unilateral Nasal Mass. Cureus. 2023; 15(3):e36901. doi:10.7759/cureus.36901.
声明: 所有注明“来源:医博士”的文字、图片和音视频资料,版权均属于医博士所有,转载须注明“来源:医博士”;所有转载文章系出于传递更多信息之目的,且明确注明来源和作者,不希望被转载的媒体或个人可与我们联系,我们将立即进行删除处理。