来源:医博士 | 2023-05-31
精囊原发性肿瘤是罕见的,其中恶性肿瘤更为罕见,通常在老年患者(55岁以上)中诊断,在英国文献中只有60例确诊病例。正确的诊断可以提高生存率,一般可以通过病理学和免疫组织化学检测来实现。
英国文献中尚未报道过类似年轻患者良性囊性病变的精囊癌病例。本文报告了一例25岁患者的原发性精囊粘液腺癌,该病例在骨盆CT扫描中偶然发现,类似于良性先天性囊肿。
病例介绍
患者为一名25岁男性患者,有肝硬化继发门静脉高压病史。患者有3年的复发性前列腺炎病史,经过长期抗生物疗法治疗,症状得到缓解。否认血尿及其他泌尿系统症状。
患者接受了后续的超声检查,结果显示门静脉内存在高胆固醇物质。对腹部和骨盆进行了对比增强(CT)计算机断层扫描,显示门静脉血栓形成,发现右侧精囊有25×22 mm的轻度增强囊性病变,精囊或任何其他周围器官没有明显侵犯(图1)。
图1 CT见右侧精囊轻度增强囊性病变
增强CT未显示先天性异常,即没有异位输尿管,也没有肾脏发育不全。生物学检测显示,癌症抗原125(CA-125)升高,为56单位/ml。前列腺特异性抗原(PSA)、前列腺酸性磷酸酶(PAP)和癌胚抗原(CEA)均在正常范围内。
进行手术探查,发现右侧精囊有25×25×30mm的囊性病变,囊内疑似液体充盈。尚未发现对前列腺或直肠的侵犯。对右侧精囊进行了彻底切除。
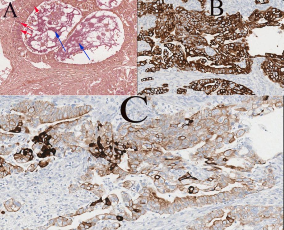
病理大体检查显示,右侧精囊的开口及其囊性病变有数个乳头状突起,并存在含有大量组织和坏死碎片的粘稠粘液。精囊壁的显微镜检查显示癌性增生,由突起到精囊腔的乳头和数量较少的浸润管组成。肿瘤细胞有大量嗜酸性或透明粘蛋白填充的细胞质,细胞核明显不典型,表现为大量有丝分裂和明显的异型性。没有发现杯状细胞或鞋钉样瘤细胞(图2)。

图2 精囊壁的显微镜检查
粘液染色证实了在肿瘤细胞的细胞质和精囊腔中观察到的液体的粘液性质(图3A)。用抗CK7、抗CK20、抗CA-125和抗PSA抗体进行了免疫组织化学研究。结果显示CK7阳性、CK20阴性、CA-125阳性和PSA阴性(图3B和C)。病理报告的结论是右精囊原发性黏液腺癌,安全缘无肿瘤。全身CT扫描未发现转移性病变。进行结肠镜检查,未发现直肠或结肠粘膜病变。切除后,将通过CT和全身骨骼扫描进行随访。
图3 粘液染色
小结
精囊腺癌是一种极为罕见的肿瘤,预后不良,诊断后存活时间通常不到3年。许多方法可以用于诊断,从而排除周围器官对精囊的侵犯。这些方法包括影像学、生物学和病理学检测,尤其是通过免疫组织化学的方法。
医博士编译自:Mhammedi WA, Boukhannous I, El Farhaoui H, et al. Fortuitous discovery of a resectable primary mucinous adenocarcinoma of the seminal vesicle in a young patient: Case report. Urology Case Reports. 2023; 48:102387. doi:10.1016/j.eucr.2023.102387.
声明: 所有注明“来源:医博士”的文字、图片和音视频资料,版权均属于医博士所有,转载须注明“来源:医博士”;所有转载文章系出于传递更多信息之目的,且明确注明来源和作者,不希望被转载的媒体或个人可与我们联系,我们将立即进行删除处理。