罕见并发症:由心肺复苏引起的肺疝

来源:医博士  | 2023-06-13    


肺疝是心肺复苏术(CPR)后罕见的并发症,定义为肺组织通过局部薄弱处突出到胸腔范围以外所形成的一种疾病,其发病原因与先天性发育异常和后天性损伤有关。据估计,80%的胸壁肺疝最常与钝性或穿透性创伤以及胸壁手术后的创伤有关。本病例报告显示心肺复苏术后肺疝的罕见并发症。

 

病例介绍

患者女性,74岁,因咳嗽伴呼吸困难24小时进入急症病房。既往史包括40-50年的吸烟史和慢性阻塞性肺疾病史,骨质疏松症、已知的主动脉瘤、非酒精性脂肪性肝病和胆结石。在过去的两年中,患者呼吸功能恶化,需要三重治疗吸入器(吸入皮质类固醇[IHS],长效β受体激动剂[LAMA],长效毒蕈碱拮抗剂),并在社区接受了多个急性疗程的抗生素和类固醇治疗慢性阻塞性肺病(IECOPD)的加重感染。

 

体格检查发现室内空气下血氧饱和度为82%并有新的耗氧需求,心动过速,发热,血压稳定。最初治疗方案以IECOPD的治疗开始,由于持续的氧气需求增加和持续性心动过速的恶化而升级为全面败血症治疗方案。

 

入院10小时后,患者突发PEA心脏骤停。升级为高级生命支持(ALS)方案后立即开始心肺复苏术。在全程高质量人工心肺复苏术,并给予4倍肾上腺素(10ml 1:10000静脉注射)后29分钟,患者恢复自然循环。此时床边超声心动图和胸片无明显变化。动脉血气显示代谢性酸中毒伴2型呼吸衰竭。后转移到ICU接受标准的心脏骤停后护理,包括插管、通气、镇静和强心。

 

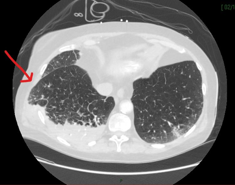
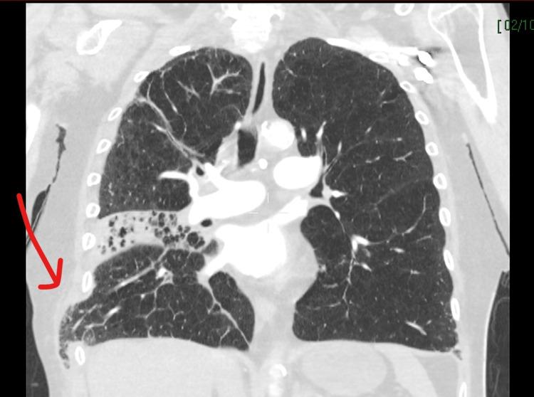
由于突然晕倒,患者接受了诊断性影像学检查:包括头部、胸部和腹部的CT,以排除肺栓塞和颅内出血导致的心脏骤停,以及确定败血症的来源。CT显示患者右下、中、上肺叶实变伴双基底不张,可能是败血症的病因。多重双侧前肋骨骨折,与心肺复苏术保持一致,右肺通过右胸壁突出(图1-2)。入院前一个月的高分辨率CT可用于比较,两份CT报告均显示持续广泛的肺气肿改变。

图1   胸部CT (冠状位) 显示第八肋下右侧肺疝和中叶实变。红色箭头指向肺疝

图2   胸部CT(轴位) 显示右侧肺疝和右下叶实变。红色箭头指向肺疝

 

在ICU住院期间,患者需要呼吸机和心血管药物支持,并使用异丙酚和阿芬太尼镇静。胸部前部和右侧壁可见明显的胸壁挫伤,在右侧胸壁上有可触及的小肿块和一些外科肺气肿。虽然考虑了原发性肋骨固定,但关键问题是心血管的持续性不稳定,而且临床表现严重不稳定,无法安全转移到医院进行手术干预。

 

停用镇静剂后患者神经系统症状未见好转,不需对其进行肾脏替代疗法。继续使用广谱抗生素治疗败血症。由于持续的心血管不稳定和多器官衰竭,患者在重症监护室住院四天后再次出现心脏骤停。

 

结论

肺疝仍然是心肺复苏术的罕见并发症。在那些接受过长时间心肺复苏术的人和有潜在健康状况的体弱者中,应表现出高度的临床怀疑。CT是诊断肺疝的最佳方式,对心肺复苏术相关损伤的检出率最高。鉴于在老龄化人群中强调高质量的心肺复苏术和机械胸外按压装置的使用,临床医生需要意识到这一罕见事件,因为及时识别和处理可能会提高生存率。

 

医博士编译自:Fuller P, Almafreji I & Cole S. Lung Herniation as a Result of Cardiopulmonary Resuscitation (CPR): A Case Report and Literature Review. Cureus. 2023; 15(4):e37262. doi:10.7759/cureus.37262.

https://pubmed.ncbi.nlm.nih.gov/37162777/


声明: 所有注明“来源:医博士”的文字、图片和音视频资料,版权均属于医博士所有,转载须注明“来源:医博士”;所有转载文章系出于传递更多信息之目的,且明确注明来源和作者,不希望被转载的媒体或个人可与我们联系,我们将立即进行删除处理。