腐败希瓦氏菌:呼吸机相关性肺炎的一种新出现的重要病原体

来源:医博士  | 2023-07-14    


腐败希瓦氏菌是呼吸机相关性肺炎(VAP)的一个关键的新兴原因。腐败希瓦氏菌是一种氧化酶阳性、非发酵、产生硫化氢的革兰氏阴性杆菌。在世界范围内,已经报告了六例肺炎病例和两例VAP病例,两者都是由腐败希瓦氏菌引起的。本文介绍一例59岁男性患者,因精神状态改变和急性呼吸窘迫而被送到急诊室。后被插管以保护呼吸道。插管后八天,患者出现与VAP一致的症状,支气管肺泡灌洗(BAL)显示腐败希瓦氏菌——一种新出现的院内和机会致病菌阳性。患者接受了头孢吡肟治疗,症状得到缓解。

 

病例介绍

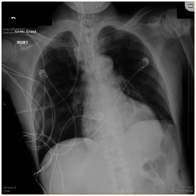
患者59岁,男性,有高血压、房颤和终末期肾病(ESRD)的血液透析病史,因精神状态改变和呼吸急促而被送往急诊科。在被送到急诊室时,患者出现呼吸困难。体格检查发现胸部听诊有双侧啰音,颈静脉扩张并伴有双侧下肢水肿。随后患者被插管并送入重症监护室。他最初的生命体征满足高血压急症的证据,血压为221/117 mmHg,脉搏率(bpm)为99次/分钟,体温(T) 36.7 °C。患者错过了他的上一次血液透析(HD ),实验室检查显示显著的高钾血症,肌钙蛋白血症和高氨血症。初步检查显示胸片(CXR)显示肺水肿,未见白细胞增多初步检查显示胸部x光(CXR)显示肺水肿,但无白细胞增多(图1)。头部CT未见明显异常。

图1、胸部x光(CXR)显示肺水肿

 

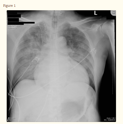
在控制血压的同时进行紧急血液透析。患者经经验静脉注射头孢曲松治疗5天,基于CXR进行浸润,每日进行HD治疗3天,其血容量和电解质有所改善。最初,他的呼吸状况随着需氧量的减少而改善,重复CXR显示肺水肿消失(图2)。头孢曲松治疗后,通过BAL收集的痰培养结果为阴性。然而,尽管排除了中枢脑病因并改善了代谢异常,但由于患者精神状态不佳,无法对其拔管。

 

图2、CXR显示肺水肿消失

 

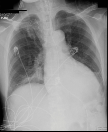
在机械通气的第8天,患出现38.5℃的发热和分泌物增加。检查发现白细胞增多和CXR右上叶新的浸润(图3)。对患者行经皮气管切开术和支气管镜检查。在右肺上叶灌洗的支气管镜检查中,发现他有粘稠的黄褐色分泌物,带有明显的恶臭气味。BAL收集结果发现腐败希瓦氏菌。进行了培养敏感性试验(表1),之后患者开始接受头孢吡肟治疗,并完成了为期10天的抗生素疗程,其临床状况得到了显著改善。出院时患者情况稳定。

图3 胸部X光显示右肺上叶后段有新的浸润

 

表1、支气管肺泡灌洗培养的敏感性

 

结论

VAP是一种严重且可能危及生命的疾病,可在住院期间或之后发生,尤其是在有潜在健康问题的患者中。早期识别呼吸状态的变化,通过支气管镜检查获得的样本进行诊断,并迅速开始适当的抗生素治疗对成功的管理至关重要。虽然罕见,腐败希瓦氏菌是一种革兰氏阴性杆菌,主要被称为海洋菌,已知会引起人类的机会性感染,主要是软组织和皮肤感染。然而,在本案例中,腐败希瓦氏菌表现为肺部感染。只有两个记录在案的VAP病例是由腐败希瓦氏菌引起的,医生应该意识到它作为一种病原体出现在诊断和治疗中,特别是在有潜在慢性肾脏疾病、免疫低下状态或接触水源的患者中。

 

医博士编译自:Huynh K & Abdeen Y. Shewanella putrefaciens: A Critically Emerging Pathogen of Ventilator-Associated Pneumonia. Cureus. 2023; 15(5):e38858. doi:10.7759/cureus.38858.

https://pubmed.ncbi.nlm.nih.gov/37313103/


声明: 所有注明“来源:医博士”的文字、图片和音视频资料,版权均属于医博士所有,转载须注明“来源:医博士”;所有转载文章系出于传递更多信息之目的,且明确注明来源和作者,不希望被转载的媒体或个人可与我们联系,我们将立即进行删除处理。