来源:医博士 | 2023-07-21
动脉瘤样骨囊肿(ABC)是良性骨肿瘤,占所有原发性骨肿瘤的1-2%。ABC是膨胀性溶骨性病变,包含薄壁的、充满血液的囊腔。患者通常表现为无痛性肿胀,并且病情增长通常呈缓慢性渐进性。ABC常见于20岁以内的患者,主要位于长骨、椎骨或扁平骨的干骺端。颅骨的ABC非常罕见,占所有ABC的2-6%。ABC通常分为原发性或继发性,约70%的病例为原发性病变,其余30%的病例继发于其他病变。继发性ABC可与其他骨肿瘤一起发生,包括软骨肉瘤、软骨母细胞瘤、成骨细胞瘤、巨细胞瘤、软骨粘液样纤维瘤、非骨化性纤维瘤和纤维发育不良,或由外伤引起。本次介绍一例继发于左额骨的骨纤维异常增殖症的病例,并显示出快速扩张,对其的诊断和治疗有了新的进步。
病例介绍
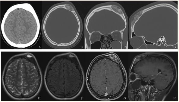
患者女性,19岁,无明显诱因出现左前额肿胀,未反馈疼痛。患者无任何相关的病史及家族史。CT显示额骨增厚,病变具有毛玻璃样阴影(图1A-D)。MRI显示在额骨有一个边界清晰的肿块样病变,积液包含液-液平面(图1E和F)。没有明显发现硬脑膜侵犯和脑周围水肿。病变在对比增强T1加权图像上显示不均匀强化(图1G和H).在第一次MRI检查后的2周内,左前额的肿胀迅速扩大并伴有疼痛(图2A)。CT扫描显示新的溶骨性变化和骨皮质的破坏(图2B和C)。磁共振成像显示液体含量增加(图2D)。
图1、图1A:电脑断层扫描显示额骨增厚
图1B-D:骨骼状况计算机断层扫描显示病变为毛玻璃样阴影(B:轴位,C:冠状位,D:矢状位)
图1E,F:磁共振图像显示在左额骨有一个边界清晰的肿块样病变,伴有液-液平面的积液。没有明显发现硬脑膜侵犯和脑周围水肿(E: T2加权,F:液体衰减反转恢复)
图1G、H:病变在增强磁共振T1加权像上显示不均匀强化(G:轴位,H:矢状位)
为了治疗和明确病理诊断,立即对患者进行了切除病变手术。使用双冠皮肤切口在盔状突起上翻转额部皮肤。病变似乎被包裹在纤维包膜中(图2E)。肿块中含有深色液体。吸出液体后,将软性病变从额骨中取出。因额骨被侵蚀,导致骨外层缺失,而颅骨内层被保存下来(图2F).然后,在距离侵蚀边缘超过10mm的距离处切除额骨(图2G)。病灶下的硬脑膜完好无损。使用钛网进行颅骨成形术,并尽可能用带血管的颅周瓣(图2H)。3D颅骨CT显示了从第一次就诊开始随着时间颅骨的变化:病变扩大,以及手术后(图2I-K)。
图2、图2A:左前额的肿胀在两周内迅速扩大
图C 2B:计算机断层扫描显示溶骨性变化和骨外皮层的破坏(B:普通,C:骨骼状况)
图2D:磁共振图像显示液体含量增加
图2E-H:术中照片显示病变被包裹在纤维包膜中(E)。在软损伤被移除后,额骨被侵蚀,但内骨被保留(F)。在距离侵蚀边缘10mm以上的位置切除额骨(G)。使用钛网(H)进行颅骨成形术
图2I-K:3D-颅骨计算机断层扫描图像显示颅骨的时间进程变化(I:首次就诊,J:病变扩展,K:手术后)
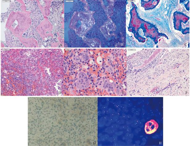
组织学检查显示,在苏木精和伊红染色中,骨小梁的形状和排列不规则,周围有梭形细胞(图3A)。偏振光下骨小梁呈苹果绿征,提示类骨质(图3B)。偶氮卡红染色法可见骨小梁周围的形状纤维(图3C)。这些纤维骨发现表明病变是纤维发育不良。纤维异常增殖症外有高细胞浓度的病理损害。苏木精-伊红染色可见大量细胞,如单核细胞、破骨细胞样多核巨细胞、泡沫细胞和红细胞(图3D)。破骨细胞样多核巨细胞和其他细胞在苏木精和伊红染色中未显示显著的核异型性(图3E)。苏木精和伊红染色可见纤维被膜组织中有反应性骨形成(图3F)。用H3.3G34W的免疫染色为阴性(图3G)。双色分裂泛素特异性肽酶6 (USP6)荧光原位杂交探针在石蜡包埋组织中使用探针,探针位于USP6位点的着丝粒(绿色)和端粒(红色)两侧。荧光原位杂交未见绿-红探针信号分裂(图3H)。

图3组织学及免疫组化所见
小结
本例中未检测到钙粘蛋白11。组织病理学诊断为继发性ABC伴纤维发育不良。没有进行额外的术后治疗,两年来没有证据表明病变复发。虽然ABC是一种良性骨肿瘤,但病变有时会破坏周围的骨组织,并在几个月或几周内扩大。ABC的发病机制被认为涉及ABC静脉引流的血管闭塞,或先前存在的骨损伤可能引发骨动静脉瘘,从而导致局部循环障碍。
医博士编译自:Koketsu Y, Tanei T, Kuwabara K, et al. Secondary aneurysmal bone cyst of the frontal bone with fibrous dysplasia showing rapid expansion: a case report. Nagoya Journal Of Medical Science. 2023; 85(2): 395–401.doi: 10.18999/nagjms.85.2.395.
声明: 所有注明“来源:医博士”的文字、图片和音视频资料,版权均属于医博士所有,转载须注明“来源:医博士”;所有转载文章系出于传递更多信息之目的,且明确注明来源和作者,不希望被转载的媒体或个人可与我们联系,我们将立即进行删除处理。