来源:医博士 | 2023-08-02
前列腺基底细胞癌是一种罕见的肿瘤,通常前列腺特异性抗原(PSA)正常。内脏转移比骨转移更常见。文献中罕见的病例报告和病例系列描述了前列腺基底细胞癌的不同临床结果,并且没有标准的治疗方法。目前未报道过前列腺基底细胞瘤浸润了大部分膀胱,导致肾衰竭的病例。本文介绍了一名前列腺基底细胞癌患者,以肾衰竭为主要症状。
小结
一名56岁的患者因体重减轻、恶心、呕吐和食欲不振就医。既往身体健康,无药物史,吸烟30年,每天10-15支。血检肌酸酐2673µmol/L,尿素76.6 mmol/L,血红蛋白73 g/L,白细胞8×109/L,血小板352×109/L,C反应蛋白78 mg/L,钾5.3 mmol/L,钠140 mmol/L。急诊腹部超声检查显示肾脏大小正常,肾实质缩小(右侧为甚)和双侧肾积水。在膀胱内可见一肿物浸润两管口。
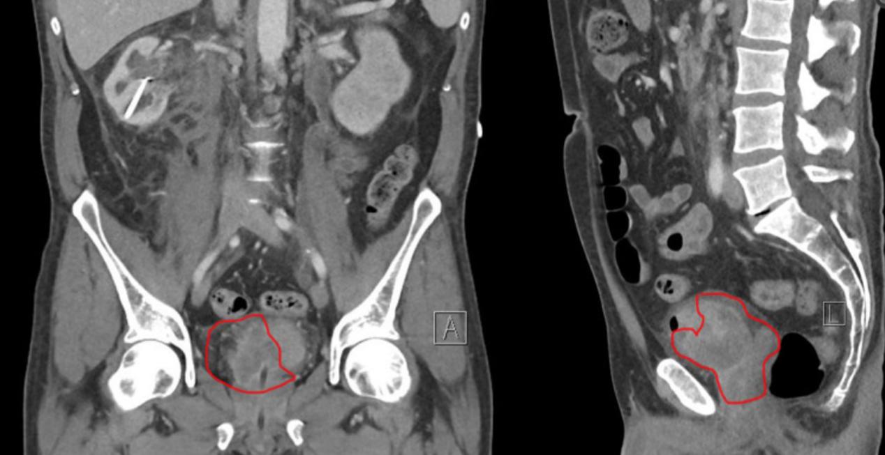
病人行双侧经皮肾造口术,定期进行血液透析,肌酐水平下降。入院后6天,行CT增强尿路造影和胸部增强CT检查,显示了一个巨大的右侧膀胱肿瘤,浸润了大约一半的膀胱和精囊(图1),主动脉旁淋巴结肿大。胸部未见转移。
图1 对比增强CT尿路造影,肿瘤的冠状(A)和矢状(L)视图(红线)。左侧(A)显示肿瘤延伸至膀胱。在右侧(L),肿瘤延伸到膀胱、前列腺和精囊
入院后第8天,行经尿道膀胱肿瘤切除术(TURBT)。在手术过程中,发现一巨大的浅表坏死的膀胱肿瘤,它浸润了膀胱两管口;膀胱右侧完全浸润。样本取自三角区和右侧膀胱。
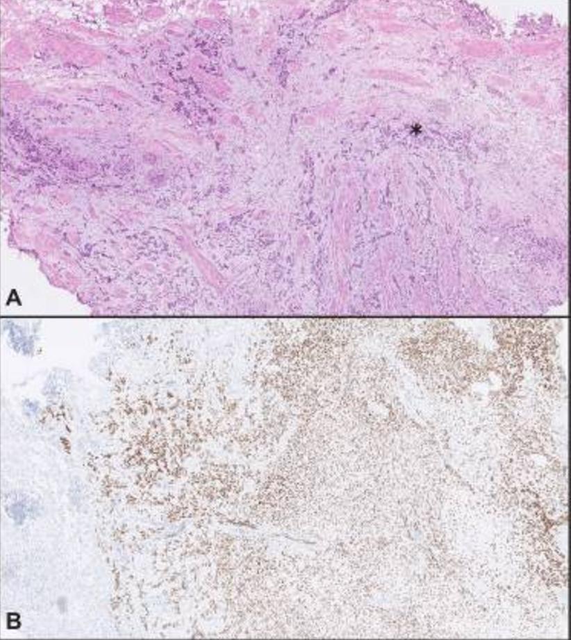
标本的组织病理学检查显示低分化癌(图2A)。小肿瘤细胞细胞核深染,细胞质稀疏,排列成不规则的巢状或单个细胞侵犯固有层和固有肌层。GATA3是唯一阳性的免疫组织化学标记物(图2B),因此诊断为浸润性高级别尿路上皮癌pT2。

图2 TURBT标本中存在浸润固有肌层的低分化肿瘤(星号)。(A) 广泛的烧灼伪影使组织学评估变得困难(HE染色)。(B) 膀胱肿瘤中对GATA3的强阳性核反应,错误地表明肿瘤来源于尿路上皮
住院期间,患者在尿培养的基础上接受了尿路感染的抗生素治疗,随后在入院第17天进行了根治性膀胱前列腺切除术、盆腔淋巴结切除术和Bricker回肠膀胱术。根治性膀胱前列腺切除术后,对肿瘤进行了广泛的取样。组织病理学检查显示一种双重生长模式。膀胱管腔部分的肿瘤细胞以不规则的小巢状和单细胞形式生长(图3A),但在膀胱壁的较深部分,肿瘤细胞以固体巢状和索状生长,并伴有嗜酸性基底膜样物质。在其他区域,微囊改变也存在(图3B)。有纤维黏液样基质反应,肿瘤浅部广泛瘤内出血合并大量的神经侵袭。基底小细胞的生长模式表明基底细胞癌。
图3 膀胱前列腺切除术标本中的肿瘤形态。(A) 膀胱管腔部分的肿瘤细胞以不规则的小巢(箭头)和单细胞形式生长。未检测到原位尿路上皮癌(星号)(HE染色)。(B) 膀胱较深部分的肿瘤细胞生长在固体巢状和索状中,存在嗜酸性基底膜样物质和局灶性微囊结构,表明基底细胞癌(星号)(HE染色)。(C) 前列腺尿道周围浸润有生长在索中的基底细胞癌和肿瘤内出血的单细胞癌(星号)(HE染色)。(D) 前列腺尿道周围部分的GATA3阳性肿瘤细胞(星号)以及正常前列腺的基底细胞和前列腺尿道的尿路上皮(箭头)
在组织病理学检查中很明显看出,肿瘤起源于前列腺的过渡区(图3C),扩散到膀胱颈,几乎占据整个膀胱,右侧为甚,如CT扫描所示。在膀胱中,它浸润固有肌层,包括入口和膀胱周围的脂肪,通过这些脂肪向下扩散到精囊和前列腺周围的脂肪。从前列腺周围的脂肪中,它通过浸润其外部“返回前列腺”。未发现原位尿路上皮癌(图3A)。免疫组化显示,肿瘤CK34βE12、CK7、CK5/6、p63、GATA3阳性,PSA、NKX3.1、AMACR、CK20、Bcl2和神经内分泌标志物阴性。Ki-67增殖指数参差不齐,部分地区高达40%。因此,肿瘤的免疫组织化学图谱与前列腺基底细胞癌一致。
术后PSA为0.05mcg/l(术后第10天)。患者于术后第14天(入院后第30天)出院。出院前,取下经皮肾造口和输尿管导管。切口生长良好,无感染迹象。出院后,患者继续进行血液透析,建立AV瘘。
术后随访6个月符合预期。PSA检测不出,患者定期行血液透析,无局部复发。六个月后,进行对比增强CT尿路造影,显示右髂窝淋巴结肿大。患者主诉右腹股沟区疼痛。无法进行淋巴结穿刺活检,也未行手术切除肿大的淋巴结,因为并发症的风险很高。PSA检测不出,细胞学检查阴性。由于患者患有终末期肾病,且依赖透析,因此不适合化疗,而是考虑进行进一步的分子诊断和靶向免疫治疗。患者在疾病出现17个月后死于转移性疾病。没有进行尸检。
小结
前列腺基底细胞癌是一种非常罕见的肿瘤。对于PSA正常且有膀胱浸润迹象的患者,应在鉴别诊断中予以考虑。由于其罕见,目前尚无治疗指南。此类病例应在包括泌尿科、肿瘤科、病理科和放射科医生在内的多学科会议上进行讨论,并根据疾病的程度为患者提供最理想的治疗。
医博士编译自:Taskovska M, Frelih M, Smrkolj T, et al. Basal Cell Carcinoma of the Prostate Misdiagnosed as High-Grade Urothelial Cancer - A Case Report of a Diagnostic Pitfall. Research and Reports in Urology. 2023; 15:187-192. doi:10.2147/RRU.S391558
声明: 所有注明“来源:医博士”的文字、图片和音视频资料,版权均属于医博士所有,转载须注明“来源:医博士”;所有转载文章系出于传递更多信息之目的,且明确注明来源和作者,不希望被转载的媒体或个人可与我们联系,我们将立即进行删除处理。