来源:医博士 | 2023-08-09
由低速锐器导致的穿透性创伤性脑损伤(PTBI)是非飞弹性颅脑外伤的一种严重亚型,在平民中是一种相对罕见的病状,由于原发性损伤更为局部化,预后相对良好。然而,它仍然是一种威胁生命的疾病,也是对全世界神经外科医生的重大挑战,特别是当它与穿孔眼损伤相关时。在这种情况下,手术策略分为经眶入路和经颅入路。因此,应根据PTBI的机制和程度采取个性化和及时的手术干预。
眼眶形成了低速异物进入颅内空间。尽管如此,眶颅PTBI在临床实践中相对罕见,代表了头部损伤的一个陌生子集。眼球穿孔伤被归类为物体从眼睛的一部分进入,从另一部分离开,并常伴有眶内滞留异物。在这种机械性损伤中,包括初次眼部修复的外科手术是强制性的。然而,对难以接近的骨和金属异物残留的最佳治疗还没有被完全认识到。
在此报告了一例经眶穿通性脑和相关的眼球穿孔伤,包括其临床表现、影像学和处理,为这种复杂的多器官损伤提供了进一步的认识。
病例介绍
患者男性,39岁,既往健康,无特殊病史。在使用圆锯进行机械作业期间遭受非飞弹性经眶穿入大脑及左眼穿孔,后被转移到急诊室(图1)。他到达时处于昏迷状态,对机械刺激无反应,但血液动力学稳定,能自主呼吸。左眶顶是异物进入大脑的路径。
图1、照片显示左侧经眶眼球穿孔伤进入颅底
左眼眼球完全受创。患者遭受了从1点钟位置的外侧角膜缘向后延伸至视神经的全巩膜层伤口。还有一个巨大的葡萄膜和玻璃体脱出,而晶状体未被识别。
紧急头部CT显示在左眼眶外侧和左外直肌(可能是入口伤口)中有多个骨碎片和金属异物(图2 a),以及左眼眶的上方和后方有被压碎的眼球(图2 b)。颅内可见造成脑实质创伤性损伤的投射物路径,充满含气小气泡并被蛛网膜下腔出血包围(图2 b)。它还显示了贯穿整个脑实质的充满血液的穿透伤口撞击通道,从左侧颞底区域向上蔓延到左侧顶叶,其中充满了残留的异物/骨碎片和少量空气(图3 a)。一个尖锐的金属物体卡在左顶叶皮质下,垂直于顶骨(图3 b、c和d)。计算机断层血管造影(CTA)显示脑血管没有明显的血管损伤,但由于金属伪影,成像受到限制。
图2、急诊头颅计算机断层扫描(CT)显示蛛网膜下腔出血,左侧眼眶外侧眼外肌和左侧直肌中有放射性密集的多发性骨碎片和金属异物(a),以及左侧眼眶中上方和后方有被破坏的眼球的(箭头),以及充满少量空气的沿着抛射路径进入颅内的气肿变化(气颅) (箭头)(b)

图3、原发性轴位脑CT显示脑水肿,显示沿贯穿伤撞击管(箭头)颅内残留多个放射性高密度异物和骨碎片,充满脑出血和少量颅内空气(a)。贯穿脑实质的充满血液的伤口通道,终止于左侧顶叶皮质下,尖锐的金属物体卡在此处(箭头)(b)。轴位(c)和矢状位脑CT骨窗重建(d),识别垂直于顶骨的颅内残留金属物体(箭头)
病人立即被送进手术室,接受神经外科和眼科联合手术治疗。紧急实施了左侧额颞顶骨大骨瓣减压术。彻底检查进入颅底的左侧经眶穿透伤口,用盐溶液冲洗,清除伤口碎片和源于眶顶粉碎性骨折的微小骨颗粒,以及颅内残留的微小金属异物。图4显示了眼科医生修复前的原发性左眼球损伤。手指触诊发现位于左顶叶皮质下存在一个40.0×3.2毫米(圆锯的一片)的大而尖的三角形金属异物,边缘粗糙破碎。它在直接观察下被成功移除,皮质损伤和出血最小(图5 a,b)。实现了精确的止血,将硬脑膜悬吊并敞开,放置硬膜外真空引流管,并在各层上闭合伤口。先前已经进行了伤口清创。

图4、修复之前的左眼球损伤
图5、成功取出左侧顶叶皮质下异物(白色箭头)(a)。一个尖锐粗糙的三角形金属物体被移除(b)
随后,患者进行眼科的初次左眼球修复术,在此期间,脱垂的葡萄膜和玻璃体被移除,而巩膜裂伤和眼睑在所有层结构中被修复。暴露并检查左眼眶顶部,然后用泡沫凝胶填充,以阻止眼眶和颅内空间之间的连通。
术后,患者被送到重症监护室(ICU)并接受机械通气。受伤后第2天,他意识恢复,行插管拔管,并出现对侧偏瘫肢体以及右侧中枢性面神经麻痹和暂时性感觉及运动失语。
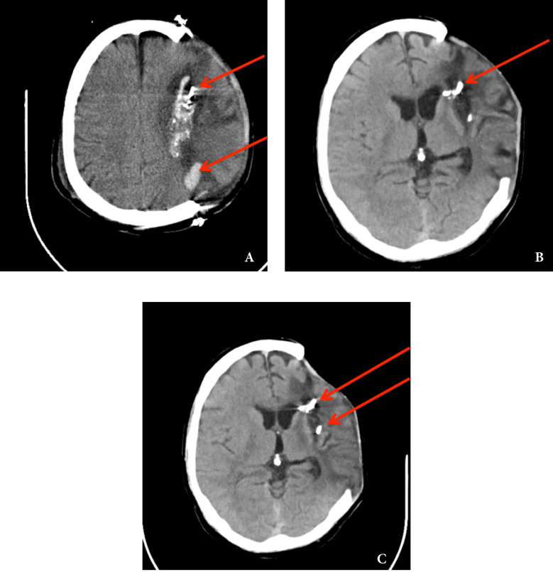
术后早期非对比头部CT扫描显示左半球弥漫性水肿,肿块突出于颅骨缺损的边缘,穿透性伤口冲击通道中充满残留的异物和脑出血(图6 a)。

图6、术后早期颅脑自然轴位CT扫描显示左半球弥漫性水肿,肿块突出于颅骨缺损的边缘,穿透性伤口撞击路径充满残留异物,并出现颅内出血(箭头)(a)。在损伤后第45天进行的复查自然轴位脑CT显示轴位内脑出血几乎完全消退,伴有零星的创伤后脑病区和残留的骨碎片(箭头),但没有肿块效应/中线移位,左侧脑室前角轻微增大(b)。在6个月的检查中执行的大脑对照轴位CT显示左额顶叶区创伤后脑实质缺失区域以及右额顶叶中残留的异物(箭头)(c)
为了防止感染并发症,预防性施用广谱抗生素(万古霉素、美罗培南和第三代头孢菌素——头孢他啶14天)以及玻璃体内应用抗生素以降低眼内炎症的风险。虽然在去骨瓣减压术中硬脑膜被完全打开,但患者并没有报告术后脑脊液(CSF)渗漏或任何中枢神经系统感染的迹象。
在损伤后第45天进行的复查自然轴位脑CT证实了轴位内出血几乎完全消退,伴有零星的创伤后脑病区和残留的骨碎片,但没有压迫性肿块效应/中线移位和左侧脑室前角的轻微脑室扩大(图6 b)。在6个月的检查中进行的大脑的对照天然轴位CT显示了左额顶区的创伤后脑实质损失区(图6 c)。
患者在受伤后第45天出院到康复机构,伴有中度右侧运动无力(对侧轻偏瘫),右第七脑神经中枢性麻痹(面部无力)和轻度运动语言障碍。不幸的是,患者左眼的视力完全永久丧失,并且预计会有左眼溃疡。在6个月的随访中,经过长期的身体和语言康复治疗后,患者的运动和言语缺陷显著减少,总体功能结果显著改善,并再次能够行走。
小结
总之,如果进行适当的临床和放射学评估,并且早期进行充分的、非激进性的手术干预,非飞弹性经眶贯穿性脑损伤的治疗是令人满意的。多学科常规是实现良好管理结果的先决条件。
医博士编译自:Splavski B, Iveković R, et al. Surgical management of a penetrating brain wound and associated perforating ocular injury caused by a low-velocity sharp metallic object: a case report and literature review. Acta Clinica Croatica. 2022; 61(3):537-546.doi:10.20471/acc.2022.61.03.21.
声明: 所有注明“来源:医博士”的文字、图片和音视频资料,版权均属于医博士所有,转载须注明“来源:医博士”;所有转载文章系出于传递更多信息之目的,且明确注明来源和作者,不希望被转载的媒体或个人可与我们联系,我们将立即进行删除处理。