来源:医博士 | 2023-08-16
肺结核(TB)是由抗酸结核分枝杆菌引起的系统性疾病。结核分枝杆菌通过吸入侵入人体,肺部是最常见的活动性结核病发生部位。当原发性感染没有治愈或发展为潜伏性感染时,结核杆菌可以通过血液或淋巴循环传播到身体的其他器官或组织,从而导致肺外表现。肺外结核的发生率约占所有结核病例的20-25%。
附睾结核是一种不常见的结核,但已知其在男性生殖系统中频繁发生。附睾结核可能在没有其他器官累积的情况下发生。先前的一项研究报告显示,大多数发生在阴囊的结核病例没有活动性肺结核感染。另一项研究报告显示,仅有12.3%的结核附睾睾丸炎患者存在其他器官与结核病的相关性。
附睾结核治疗不当或延期可能会使疾病恶化,导致多种并发症,包括皮瘘、脓肿形成、睾丸广泛受累、性功能障碍或不孕,尤其是年轻男性。本文报告了一例罕见的年轻患者,被诊断为双侧附睾结核,导致男性不育。建议在有睾丸症状的患者中考虑附睾结核的可能性,以便及时诊断和治疗。
病例介绍
一名37岁的患者左睾丸疼痛和肿胀8个月余,既往曾因疑似细菌性附睾炎在多家医疗机构接受抗生素治疗,然而症状持续恶化。此外患者间歇性发热数周。患者否认阴囊外伤史或尿道异常分泌物,保持单一性伴侣。没有任何合并症,包括肺结核。患者已婚未育,并担心不孕不育。
体格检查显示,在靠近睾丸的左附睾区域可触摸到一个质韧肿物,直径3.5厘米×2.2厘米。右睾丸和附睾未见明显异常。实验室结果在正常范围内。尿液分析时见脓性尿,但尿液培养未见微生物。此外,AFB染色和尿液结核杆菌聚合酶链式反应均为阴性。精液分析显示精液中无精子。
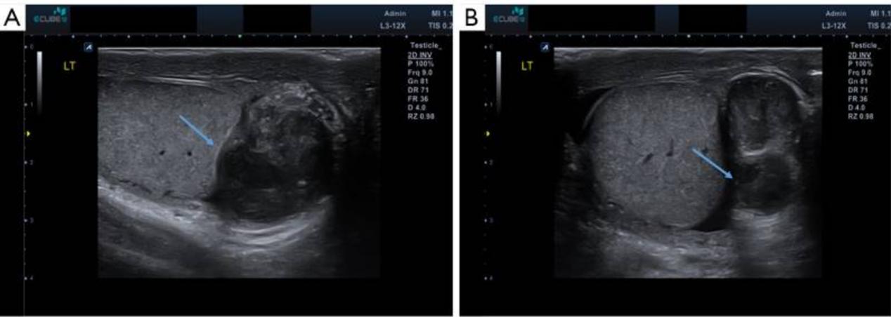
阴囊超声显示左侧附睾严重扩张,回声不均匀,左侧附睾附近有不规则形态的液体,提示严重附睾炎伴脓肿形成,睾丸未见异常(图1)。右侧睾丸和附睾正常(图1)。血液中的睾丸肿瘤标志物,如甲胎蛋白、人绒毛膜促性腺激素和乳酸脱氢酶,结果在正常范围内。
图1 附睾结核患者的阴囊超声图像。(A,B)左侧附睾严重扩张,回声不均匀(蓝色箭头),不规则形状的液体填充,提示形成脓肿的严重附睾炎
由于持续的睾丸疼痛、间歇性发热和伴有脓肿形成的严重附睾炎,患者接受了阴囊探查手术。结果显示附睾严重肿胀,质硬,有脓肿。此外,与附睾相连的输精管炎症反应严重,最终进行了附睾切除术伴输精管部分切除。同时,对两个睾丸进行了睾丸活检,以确定不孕不育的原因。
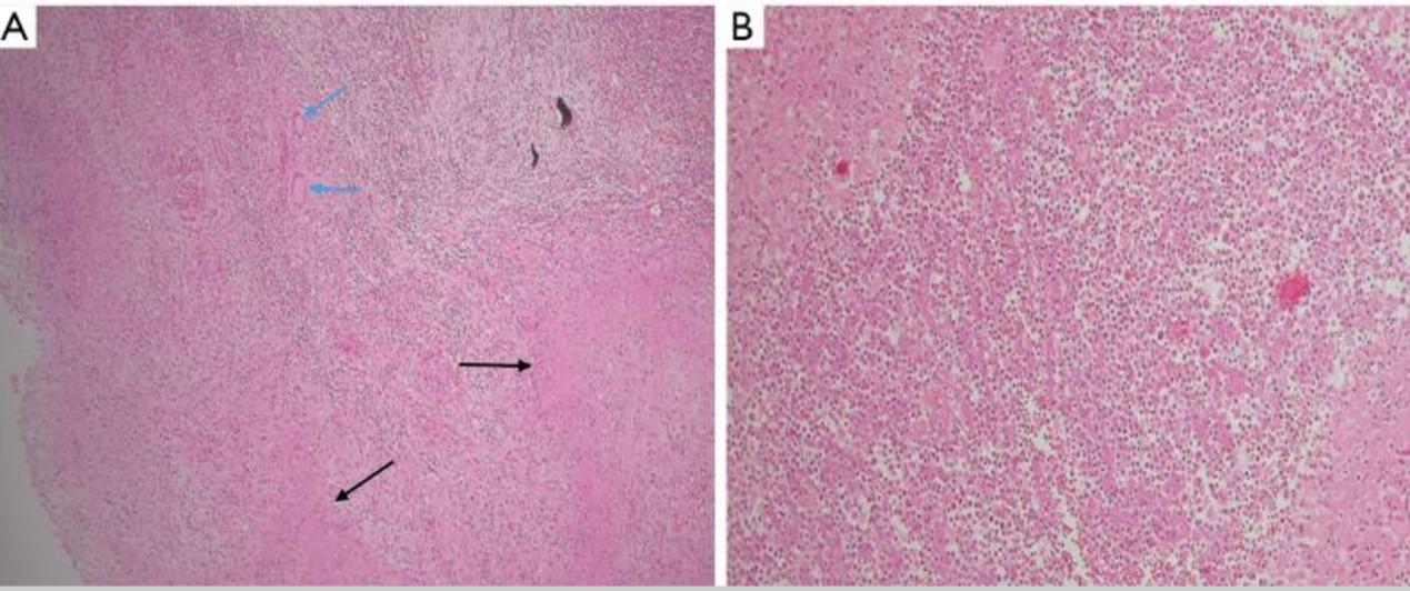
组织病理学检查显示,苏木精-伊红染色后,附睾组织中出现慢性肉芽肿性炎症,伴有干酪样坏死,伴有上皮样巨噬细胞、Langhans巨细胞和淋巴细胞(图2)。切除附睾组织的聚合酶链式反应检测结核分枝杆菌阳性,证实了附睾结核的诊断。睾丸活检显示,两个睾丸都有正常的精子发生。手术治疗几周后,首次尿液AFB培养分离出结核杆菌。

图2 切除附睾组织的组织病理学表现。(A) 慢性肉芽肿性炎症(黑色箭头)伴有干酪样坏死及Langhans巨细胞(蓝色箭头)(HE,40×)。(B) 肉芽肿(HE,100×)的外围部分可见脓肿形成
根据组织病理学结果,患者接受吡嗪酰胺治疗3个月,异烟肼和利福平治疗6个月。手术干预后,症状得到缓解,没有任何其他不适。手术后大约1个月,他出现了右睾丸区域的疼痛,尽管疼痛没有之前的左睾丸疼痛那么严重。阴囊超声检查显示右侧附睾区域出现肿胀和不均匀的脓肿(图3)。此外,我们进行了计算机断层扫描(CT)以调查其他器官的受累情况,结果显示在几个淋巴结中发现了可疑的结核淋巴结病。此外,观察到两个输精管增厚,这意味着结核杆菌受累,右侧附睾区域形成脓肿(图3)。考虑到先前诊断为左侧附睾结核,患者被诊断为双侧附睾结核。
图3 术后约1个月进行了阴囊超声检查和计算机断层扫描。(A) 阴囊超声检查显示右侧附睾区(蓝色箭头)出现肿胀和不均匀的脓肿。(B) 在计算机断层扫描上发现两个输精管增厚意味着结核受累(蓝色箭头)
经过数周的持续药物治疗,右侧睾丸疼痛得到缓解。药物治疗完成后,患者没有任何不适。但在1个月后的精液分析中,无精子症物改善。
小结
附睾结核是一种罕见的疾病,诊断较为困难,除组织病理学检查外,诊断工具的敏感性和特异性较低。医生应考虑睾丸症状持续的患者是否可能出现附睾结核。当确定或临床怀疑附睾结核的诊断时,应立即开始药物治疗,以防止随后的并发症,包括脓肿形成、病变扩散或男性不育。当药物治疗失败或出现严重并发症时,应考虑手术治疗。应怀疑有持续或复发附睾炎病史的年轻患者患有附睾结核,并随后监测其他的睾丸症状和体征,以防止男性不育。
医博士编译自:Kim JY, Kim JY, Cho DY, et al. Bilateral epididymal tuberculosis causing abscess formation and male infertility: a case report and literature review. Translational Andrology and Urology. 2023; 12(6):1033-1040. doi:10.21037/tau-22-728.
声明: 所有注明“来源:医博士”的文字、图片和音视频资料,版权均属于医博士所有,转载须注明“来源:医博士”;所有转载文章系出于传递更多信息之目的,且明确注明来源和作者,不希望被转载的媒体或个人可与我们联系,我们将立即进行删除处理。