慢性咳嗽和炎症性肠病:一种未被充分认识的关联?

来源:医博士  | 2023-08-18    


炎症性肠病(IBD)很常见,全球每十万人中约有84人患病。IBD有多种充分记录的呼吸道表现,其范围从轻微的非特异性呼吸道症状到严重的使人衰弱的后遗症。其中呼吸道症状的患病率较高(25–63%),即使没有这些症状,也有高达45%的患者肺功能减退。

 

由于症状非特异性,诊断常常延迟,可能在诊断IBD之前,或可能在结肠切除术后多年才出现。在本次介绍的病例中,咳嗽症状早于患者的结肠切除术,但尽管对IBD进行了明确的干预,但咳嗽仍然存在,并在本次病例中的治疗的就诊前2年发生严重程度恶化。有趣的是,许多病例报告表明,在IBD的明确治疗后首次出现咳嗽,可以早在手术后几个月就出现,而这一情况在克罗恩病和溃疡性结肠炎(UC)中都是十年以上。

 

将呼吸系统疾病与IBD联系起来的潜在机制尚未完全确定,但可能存在于它们共同的胚胎途径中,呼吸系统在妊娠3-4周从前肠的腹壁发育而来。

 

病例介绍

患者男,51岁,以慢性咳嗽6年到三级慢性咳嗽诊所就诊。咳嗽严重,有痰(每天都有鸡蛋杯的痰),不分昼夜,有很多诱因。否认有咯血或呼吸困难,体重稳定。根据咳嗽严重程度量表,咳嗽的严重程度为9/10(其中0表示不咳嗽,10表示最严重的咳嗽),并且主要发生在发作时,通常伴有干呕和头晕。在到专科咳嗽诊所就诊前2年,病情恶化。

 

患者的既往史包括15年的溃疡性结肠炎(UC)病史,最初进行了医学治疗(联合使用硫唑嘌呤和类固醇),随后进行了全结肠切除术(2017年)和再吻合术(2018年)。患者有吸烟史,于1999年戒烟,吸烟史5年。他从事建筑工作,偶尔接触喷漆。

 

患者之前曾在2015年至2019年期间因咳嗽接受过相关调查,胸片、连续血液嗜酸性粒细胞计数和总IgE水平正常。肺活量测定也超正常,1秒内无用力呼气量(FEV1)呈可逆性;以及正常呼出一氧化氮分数(FENO)。他接受了多种治疗试验,包括阿奇霉素、羧甲司坦、鼻喷雾剂、质子泵抑制剂、多潘立酮、巴氯芬、甲氧氯普胺和加巴喷丁,这些药物都没有改善症状。之前没有接受过吸入性皮质类固醇治疗。
 

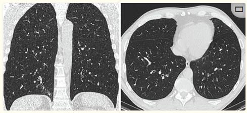
体格检查:体重指数为25 kg·m2,未被棍棒击打,胸部检查无异常。安排了进一步的检查,包括肺功能(图1和表1)、血液检查、胸部计算机断层扫描(CT)(图2)和支气管镜检查。

图1、肺活量测定和流量-容量循环

 

表1、肺功能检查

图2、胸部CT

 

基于医生的发现和文献回顾,将该患者作为IBD相关气道疾病和炎症性支气管扩张的病例进行治疗。患者接受了为期2周的口服泼尼松龙(每日30 mg)治疗,随后接受了高剂量吸入性皮质类固醇治疗(每日三次,每次400 μg倍氯米松)。对此的反应非常好,他的咳嗽严重程度评分从9/10降至1/10。患者在6个月时接受了电话随访,并报告其症状持续改善。

 

IBD相关呼吸系统疾病的治疗取决于受累部位、症状的性质和严重程度。在本病例中,咳嗽是主要症状,是慢性的,既往治疗无效的,非常麻烦。对吸入皮质类固醇的反应非常明显。这与来自病例系列的报告一致,在这些病例系列中,大剂量吸入或口服皮质类固醇已成功用于IBD相关的呼吸系统疾病。专家一致建议,对于患有实质性疾病或呼吸道疾病的患者,应保留较长疗程的口服类固醇。在这种情况下,单独使用吸入性皮质类固醇可改善咳嗽,但考虑到相关的支气管扩张,还将根据指南对患者进行治疗,包括痰液微生物监测和胸(肺)部理疗以清除气道痰液。

 

结论

慢性咳嗽是一种使人虚弱的疾病,如果不治疗,会产生严重的身体和心理后果。对于以IBD为背景出现咳嗽的患者,应强烈考虑到大气道疾病和支气管扩张(即使咳嗽静止或在过去明确接受过结肠切除术)。横断面成像和支气管镜检查对该组患者有价值,随后早期使用高剂量吸入性皮质类固醇治疗,通常非常有效。IBD的呼吸系统表现是常见的,并且覆盖呼吸道的宽度,从上气道问题到大小气道和实质疾病。

 

医博士编译自:Wingfield Digby J, King J, Lord R, et al. Chronic cough and inflammatory bowel disease: an under-recognised association? Breathe(Sheff). 2023; 19(1):220262. doi:10.1183/20734735.0262-2022.

https://pubmed.ncbi.nlm.nih.gov/37378061/


声明: 所有注明“来源:医博士”的文字、图片和音视频资料,版权均属于医博士所有,转载须注明“来源:医博士”;所有转载文章系出于传递更多信息之目的,且明确注明来源和作者,不希望被转载的媒体或个人可与我们联系,我们将立即进行删除处理。