来源:医博士 | 2023-10-23
硬化性上皮样纤维肉瘤(SEF)是Meis-Kindblom等人在1995年首次描述的一种罕见且独特的肉瘤亚型,具有成纤维细胞分化和独特的结构特征。SEF最常见于深部肌肉组织,但它也可以起源于骨骼,脊柱是SEF的罕见原发部位。尽管其形态相对无害,但它被认为是具有高局部复发率和远处转移的完全恶性肿瘤。其典型的组织学特征包括嵌入致密硬化基质中的小而均匀的单形上皮样细胞的巢和索,与类骨质难以区分。其细胞典型地呈现淡嗜酸性至空泡状的细胞质和圆形的细胞核,具有精细的染色质。脊髓SEF的诊断具有挑战性,不仅因为其罕见性,还因为其与其他间叶性和非间叶性肿瘤的形态学相似性。
病例介绍
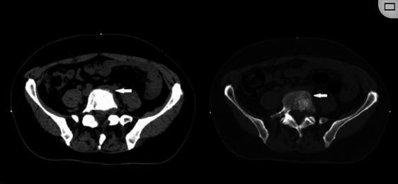
患者女性,46岁,高加索人,于2020年9月就诊,左下肢放射性腰痛史1年,八个月内体重减轻10%以上。背腰触诊没有发现任何异常或引起任何局部疼痛。神经病学检查,拉塞格征阳性,左脚伸展受限。在这种情况下,对患者进行了CT扫描,显示了一个28.3毫米的损伤,涉及身体、左椎弓根和L5椎骨的左上关节面(图1, 2)。在磁共振成像(MRI)上,病变在T1WI和T2WI上呈低信号,在T2加权短时反转恢复序列(STIR)上没有信号变化,并且具有异常的对比度增强(图3--6)。该病变与左侧椎旁软组织肿块相关,并伴有椎管内和椎间孔表现,该肿块覆盖了硬膜外腔的左侧前外侧和左侧L5-S1椎间孔,可能伴有左侧L5神经根压迫。为了排除远处转移,还对患者进行了PET/CT ,显示左侧L5出现高代谢恶性病变(图7)。

图1、腰椎CT扫描,矢状面
腰椎CT显示病变涉及身体,左椎弓根和L5椎骨的左上关节面

图2、腰椎CT扫描,轴面
腰椎CT显示病变涉及身体,左椎弓根和L5椎骨的左上关节面

图3、磁共振成像,T1WI序列
在MRI上,病灶在T1WI上呈等信号
图4、核磁共振,T2WI序列
在MRI上,病变在T2WI上呈等信号

图5、核磁共振,搅拌序列
MRI上,病灶在STIR序列上无明显高信号
图6、磁共振成像,轴向T2WI序列
轴位T2WI显示L5左侧椎旁软组织肿块,闭塞左侧硬膜外腔前外侧和左侧L5-S1孔,可能伴有左侧L5神经根压迫

图7、分期18F-FDG PET/CT扫描
18F-FDG PET/CT扫描显示高代谢恶性病变累及L5椎体和左椎弓根,并伴有与所述病变相关的内肛(左前外侧)和椎间孔(左接合孔L5-S1)暗示。还可以看到该椎骨的病理性骨折。其余的研究没有显示任何其他异常放射性药物摄取的病灶,这可能表明其他高代谢病变。
考虑到软组织肉瘤的最佳治疗几乎都是需要包括组织学亚型和分级在内的诊断,有必要对肿块进行活检。因此,在2020年11月,在荧光镜引导下进行的经皮活检证实了硬化性上皮样纤维肉瘤的诊断,在CK8/18、CK19、CD38、CD138、MUM 1、CD68、S100、SOX 10、C-Kit和SATB2表达缺失的情况下,MUC4弥漫性表达和EMA局灶性表达(图8, 9)。样本被送去进行荧光原位杂交(FISH)基因检测,但由于样本的物理特性,FISH未能提供任何信息。
图8、通过切口活检进行组织学研究,显示苏木精和伊红(H&E)染色
切开活检的组织学研究显示,H&E染色显示典型的SEF形态学,多角体单形细胞具有宽而苍白的细胞质和卵圆形细胞核,包埋在大量纤维胶原基质中,伴有小梁重排。
图9、通过切开活检和免疫组织化学分析进行组织学研究
免疫组织化学分析显示MUC4强而弥散的表达
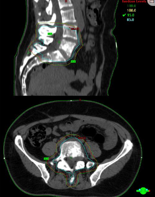
由于PET/CT未发现其他受累区域,L5的病变被认为是原发性骨肿瘤。考虑到全身治疗意义不大,多学科小组决定先用新辅助放疗,然后手术治疗。由于肿瘤种植的高风险,因此不采用最初的减压手术。此外,考虑到接近马尾和神经根,脊柱辅助放疗中的总剂量为50Gy要比(60-70Gy)更安全。在CT模拟后,GTV(肿瘤总体积)被描绘为包含整个L5椎骨,包括肿瘤的软组织成分;向上和向下进行2 cm的CTV(临床目标体积)扩张,包括邻近的骨结构;而PTV(计划目标体积)是通过从CTV延伸8 mm的等距边缘获得的。从2021年5月3日至2021年6月4日,使用IMRT进行放疗,总剂量为50 Gy,分为25次,每天2 Gy,无间断(图10)。
图10、显示CTV(蓝色)和PTV(红色)以及95%等剂量线的放射治疗计划
鉴于L5椎体病变的解剖位置,在髂间嵴之间,必须进行两步手术。放疗后三个月,患者接受了第一次手术,包括左侧L5神经根减压和L3-S1椎体融合术。一个月后,进行L5腹侧椎体切除,椎体稳定,骨水泥成形术。组织学研究揭示了SEF的持久性以及辐射诱发的变化。在两个月的随访中,患者出现了右侧坐骨神经痛,这在手术前是不存在的。四个月后,患者描述活动能力逐渐改善,但右大腿感觉迟钝;脊髓疼痛用他喷他多和加巴喷丁控制。术后五个月的核磁共振成像显示该疾病没有持续存在。
讨论
SEF是一种罕见的间叶性肿瘤,发生于中老年人,最常发生在上肢或下肢或肢带、躯干、头部和颈部。它被世卫组织分类为恶性成纤维细胞/成肌纤维细胞肿瘤,与低级纤维粘液样肉瘤(LGFMS)、恶性孤立性纤维肿瘤、纤维肉瘤(未特别指明)(NOS)和上皮样粘液纤维肉瘤属于同一类别。
脊柱是SEF罕见的原发部位,标准治疗仍然需要明确的协议。虽然手术方法已经确立,但许多外科医生倾向于肿瘤的广泛整块切除,化疗和放疗仍然缺乏有效的具体证据。因此,在之前报道的病例中,放疗被用作新辅助疗法或辅助疗法。脊柱SEF具有局部复发和远处转移的趋势,典型地转移到肺、骨、胸膜和脑。
医博士编译自:Lima J, Coutada A, Afonso M,et al. Sclerosing Epithelioid Fibrosarcoma of the Spine: Diagnosis and Treatment of a Rare Entity. Cureus. 2023 Jul 19;15(7):e42143. doi: 10.7759/cureus.42143. PMID: 37602081; PMCID: PMC10438154.
声明: 所有注明“来源:医博士”的文字、图片和音视频资料,版权均属于医博士所有,转载须注明“来源:医博士”;所有转载文章系出于传递更多信息之目的,且明确注明来源和作者,不希望被转载的媒体或个人可与我们联系,我们将立即进行删除处理。