以血清阴性起止点炎为首发表现的心脏粘液瘤

来源:医博士  | 2023-10-27    


心房黏液瘤(AM)是一种罕见中最常见的原发性心脏肿瘤。临床表现取决于肿块的大小和位置,包括栓塞、心内梗阻(呼吸困难、端坐呼吸发作)和全身表现(发热、关节痛、体重减轻)。肿瘤释放的炎性细胞因子可导致副肿瘤综合征,在某些情况下,可导致风湿病表现。血液检查可能会显示贫血和炎症指标的增加,如红细胞沉降率(ESR)或C-反应蛋白(CRP)。通常建议通过经胸(TTE)或经食管(TEE)超声心动图进行诊断,超声心动图还能够在术前确定肿瘤的位置、大小、形状、侵袭性和活动性。因为有很高的栓塞风险,AM通常不进行活检。治疗方法是外科手术,成功率很高。

 

本文报道了一例血清阴性的伴有紫癜性皮肤损害的强直性脊柱炎病例,对于风湿病学家来说,当面临新发风湿性疾病时,尤其是当其对标准治疗几乎没有反应时,牢记可能的鉴别诊断和进行副肿瘤筛查的必要性是非常重要的。

 

病例介绍

患者女性,31岁。因血清阴性起止点炎复发而入院。患者主诉双侧跖趾关节(MTP)关节痛和足底面疼痛1年,表明对抗炎药物有部分反应。关节症状发作2个月后,患者双侧足底面出现紫癜性病变(图1,左)。泼尼松50mg/d(快速减量)治疗后无改善。血液检查显示炎症指数水平升高(CRP 12 mg/dL,ESR 22 mm/h),类风湿因子(RF)和抗降钙素肽自身抗体(aCCP)阴性。肌肉骨骼超声显示双侧足底筋膜水肿(符合足底筋膜炎)和右侧掌指关节滑膜炎(MTP)(图一,右)。

图1、右脚足底侧的紫癜性病变(左)。左脚足底筋膜水肿的超声图像(横切面)(右)

 

诊断为血清阴性的“早期关节炎”,患者开始接受甲泼尼龙4 mg/d和甲氨蝶呤(MTX)7.5mg/周的治疗,但没有改善。随着中度劳力性呼吸困难和心悸发作,紫癜性病变和关节痛恶化。体检中未发现关节肿胀,但双侧足底筋膜有弥漫性MTP压痛和疼痛。在双侧足底表面发现紫癜性病变。没有检测到心脏杂音。

 

患者接受了血液检查,有证据表明炎症指数增加(ESR 52 mm/h,CRP 17 mg/dL),抗核自身抗体(ANA),可提取核抗原(ENA),抗dsDNA,抗中性粒细胞胞浆抗体,抗磷脂抗体,冷球蛋白,以及HBV,丙型肝炎病毒,结核病和梅毒血清学检查阴性。指甲电视毛细血管镜检查呈正常模式。为了更好地描述呼吸困难的特征,进行了经胸超声心动图检查,发现左心房有带蒂肿块。

 

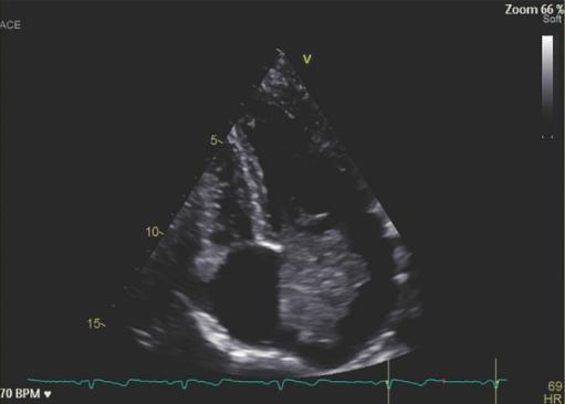
该物质的直径为4223毫米,属于AM(图2)。患者接受了切除肿块的手术。手术后,患者报告关节和皮肤症状完全消失,甲基强的松龙和MTX被停用。

 

图2、超声心动图显示AM几乎占据了整个左心房和二尖瓣。心房粘液瘤

 

讨论

据文献报道,皮肤和关节症状可能是副肿瘤表现。副肿瘤性关节炎(PA)通常对皮质类固醇或常规抗风湿药物没有反应,但在肿瘤治疗后会完全消退。通常,PA表现为突然发作的症状,急性期反应物升高,RF、aCCP和ANA阴性。AM是一种罕见的心脏肿瘤,可产生炎性细胞因子(例如、白细胞介素1 [IL-1]、白细胞介素6 [IL-6]、肿瘤坏死因子α[TNF-α]、干扰素γ [IFN-γ])促进肿瘤的生长和炎症症状的发展(例如低烧、体重减轻、关节痛)。体质症状主要归因于IL-6释放的增加。通常,IL-6参与CRP的增加、肿瘤生长和复发以及自身免疫特征的发展。炎性细胞因子的释放也与雷诺现象、疟疾皮疹和皮肤血管炎等表现的发展有关。然而,这是第一个将强直性脊柱炎描述为AM表现的病例报告。这些特征通常在AM去除后消失,但在一些患者中观察到ANA滴度的持续升高。切除后,IL-6水平恢复正常,随着IL-6的正常化,全身症状最终消失。三分之一的病例可见皮肤表现,通常是由于肿瘤块的栓塞或白细胞介素分泌引起的自身免疫性特征。栓塞常常导致手掌/足底表面的紫癜性病变、毛细血管扩张、瘀点或网状青斑。

 

结论

目前的情况是特别有趣的,因为它提出了一个AM作为炎性关节病的原因,涉及关节和假体。此外,它强调了在遇到新发关节炎时进行彻底的副肿瘤筛查的重要性,特别是当它发生在年轻患者中并且对年轻患者的常规治疗反应不佳时。

 

医博士编译自:Francesco B, Martina O, Letizia CM, et al. Seronegative enthesoarthritis as the first presentation of the atrial myxoma. Rheumatology and Immunology Research. 2023; 4(3):167-170. doi:10.2478/rir-2023-0024.

https://pubmed.ncbi.nlm.nih.gov/37781684/


声明: 所有注明“来源:医博士”的文字、图片和音视频资料,版权均属于医博士所有,转载须注明“来源:医博士”;所有转载文章系出于传递更多信息之目的,且明确注明来源和作者,不希望被转载的媒体或个人可与我们联系,我们将立即进行删除处理。