罕见!表现为癫痫发作的女性脑实质内脑膜瘤

来源:医博士  | 2023-10-30    


脑膜瘤是最常见的良性颅内肿瘤,从蛛网膜帽细胞发展而来,这些细胞存在于覆盖大脑和脊髓的薄膜中。大多数脑膜瘤是良性的,但如果不被注意,会慢慢发展,直到变得很大,在某些情况下可能会致命。

 

尽管脑膜瘤通常与硬脑膜相连,但实质内和皮质下脑膜瘤并非起源于硬脑膜。脑实质内脑膜瘤在男性中更常见,且比常规脑膜瘤发病早。脑实质内脑膜瘤可以从脉络丛或软脑膜基质中的异位脑膜上皮细胞发育而来,由于细胞迁移的变化,可以引起脑室内脑膜瘤。已经发现,实质内脑膜瘤的纤维变体是最常见的,占所有病例的44%。

 

病例介绍

患者女性,43岁,因复杂部分性癫痫发作史而被送至急诊科。于2011年2月在附近的一家医院接受评估,脑部CT扫描提示有两处额叶肉芽肿性病变,开始接受经验性抗结核治疗(ATT)。在2011年4月再次出现癫痫发作。大脑磁共振成像(MRI)显示额部两个占位性病变。胸部和腹部的CT扫描也是为了寻找阴性的原发性结核。开始服用ATT和抗癫痫药。

 

患者在2014年11月前无症状,随后出现了另一次癫痫发作。重复的核磁共振成像显示病灶大小增加,有肿块效应。有人建议做手术切除,但被患者拒绝。

 

直到2017年3月患者才出现症状。后来发展为不能使用右上下肢和上下肢。同时存在右耳堵塞感。自2014年最后一次发作以来,没有再发生癫痫发作。也没有头痛、呕吐、视觉障碍和癫痫发作。

 

重复进行MRI扫描,显示与上次扫描相比,病变尺寸增大,由于肿块进一步增大,两处病变可能融合,左侧脑室出现明显肿块效应,大脑中线向右移动5 mm,右侧大脑中动脉(MCA)皮质分支在病变中间发生位移。肿块在T1加权像上呈低信号,在T2加权像上呈高信号。CT灌注研究显示在左侧外侧裂的后部有一个边界清晰的高密度轴外病变(图1A)。病变显示出非常高的灌注,脑血容量、流量增加,平均通过时间减少。

图1、A和B: CT扫描显示左侧外侧裂后侧边缘良好的高密度轴外病变

 

经检查,患者神志清醒,有定向力,无发热,双侧瞳孔大小相等,对光反射灵敏,眼球外运动充分,无其他缺陷。四肢运动能力正常。无任何感官缺陷。全面的认知评估显示注意力和集中力差,回忆延迟和视觉保留。

 

所有的基线调查已经完成,准备清醒开颅手术,因为肿瘤涉及脑实质的功能区,患者接受了左额颞开颅术和肿瘤全切。手术时,肿瘤位于轴内,坚硬且富含血管,硬脑膜上没有附着,主要位于外侧裂的后部,与周围脑有良好的平面空间。有许多来自大脑中动脉的供血被凝固和切断。在术后期间,没有神经功能缺损。术后脑部CT扫描显示病变被完全切除。

 

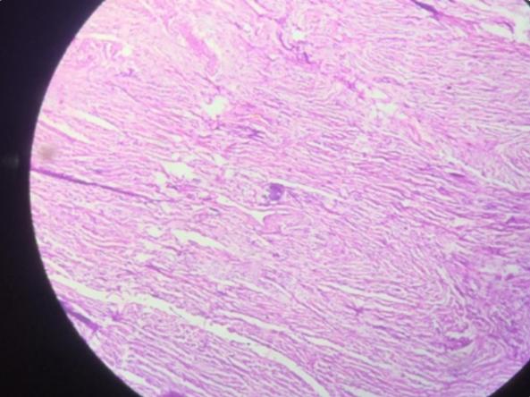
活检报告为世卫组织I级纤维性脑膜瘤(图2)。免疫组织化学显示S100局灶性核表达,EMA阳性,CD34阴性,p53阴性,Ki‐67为5%。这有助于脑膜瘤的诊断,并排除了其他罕见的脑膜肿瘤,如孤立性纤维瘤/血管外皮细胞瘤(SFT/HPC)。患者服用抗惊厥药后出院。在6个月的随访中,没有复发。

图2、组织病理学图像显示肿瘤由成束状排列的肿瘤性脑膜上皮细胞组成。偶见沙粒小体(10倍)

 

结论

本病例报告强调了脑实质内脑膜瘤的罕见表现。患者的症状和影像学检查结果表明存在胞浆内精子,活检证实了纤维性脑膜瘤的诊断。接受全切除术,术后影像显示肿块完全切除。这个病例提醒,即使没有异常症状和影像学表现,也要高度怀疑颅内肿瘤。

 

医博士编译自:Duvuru S, Sanker V, Jain S, et al. A rare case of intra-parenchymal meningioma in a female patient who presented with seizures: A case report. Clinical Case Reports. 2023; 11(9):e7927. doi:10.1002/ccr3.7927.

https://pubmed.ncbi.nlm.nih.gov/37736479/


声明: 所有注明“来源:医博士”的文字、图片和音视频资料,版权均属于医博士所有,转载须注明“来源:医博士”;所有转载文章系出于传递更多信息之目的,且明确注明来源和作者,不希望被转载的媒体或个人可与我们联系,我们将立即进行删除处理。