来源:医博士 | 2023-11-06
肢端肥大症是一种罕见的疾病,通常由分泌生长激素(GH)的垂体瘤引起,其年发病率为0.2-1.1/100000。考虑到与这种病理学相关的临床特征是隐性发展的,发病和诊断之间的延迟可能大于5年。许多并发症与暴露于高水平GH及其外周介质胰岛素样生长因子1(IGF-1)有关。
甲状腺肿是肢端肥大症常见的内分泌共病,弥漫性和结节性甲状腺肿约占肢端肥大症病例的57.7%,而毒性结节性甲状腺肿在肢端肥大患者中不常见,尽管其在女性中更为常见。通常肢端肥大症患者的甲状腺功能正常或由于肿瘤压迫而发展为中枢性甲状腺功能减退症。
3.5-26%的肢端肥大症患者被诊断为甲状腺功能亢进。活动性肢端肥大症会损害促甲状腺激素(TSH)对促甲状腺激素释放激素(TRH)的反应,导致TSH值异常,并增加T4向T3的转化,从而导致TSH分泌的中心抑制。
肢端肥大症和甲状腺自身免疫之间的关系也在以前得到证实;25%的患者(其中大多数是女性)的抗甲状腺过氧化物酶(ATPO)抗体呈阳性。
自身免疫性甲状腺疾病(AITD)影响2-5%的人口,更常见于女性,其中包括Graves病和其他疾病。Graves病的临床特征表现为甲状腺功能亢进、弥漫性甲状腺肿和Graves眼病(GO)。GO的主要临床表现包括眼睑退缩和眶周水肿。这两种体征也可以用肢端肥大症解释——面部软组织增生和粗糙。其他症状,如出汗增多、怕热、视觉障碍和疲劳,在甲状腺功能亢进和肢端肥大症中都很常见。肢端肥大症可能被误诊为Graves病。
肢端肥大症和甲状腺功能亢进症具有不同的病理生理机制和激素特征。生物学参数,如与磷钙代谢相关的参数,在这两种疾病之间表现出相似的变化。在肢端肥大症中,观察到较高的血清磷酸盐和血浆钙水平增加,以及高钙尿症。甲状腺功能亢进也与分解代谢状态有关,这种状态会导致骨吸收和高钙血症。高水平的血清钙降低了甲状旁腺激素的水平,因此,肾小管对磷的再吸收增加,导致电解质水平升高。
本文介绍了一例罕见的肢端肥大症,与两种不同的甲状腺病理异常相关。
病例介绍
一名47岁的女性患者于2018年10月就诊分泌科,症状为:多汗、疲劳、左上肢感觉异常、呼吸困难、吞咽困难,眼睛有砂砾感并伴有结膜水肿和红斑。患者2012年被诊断为亚临床甲状腺功能亢进症(病因未提及),并接受了4年的抗甲状腺药物治疗。患者同时患有高血压,并接受了β-阻滞剂和血管紧张素转换酶抑制剂的治疗。2016年,患者被诊断为毒性腺瘤,接受放射性碘治疗。同年,患者出现甲状腺功能减退症,并服用左旋甲状腺素至2018年9月。由于实验室结果显示甲状腺功能亢进,治疗中断,患者发展为双侧眼病。
在第一次入住内分泌科期间(2018年10月),对颈前部区域的临床检查显示,右叶有一个约5厘米的可触及无痛结节,密度高,吞咽时可移动。此外见双侧对称性眼球突出和血压升高(160/80mmHg)。
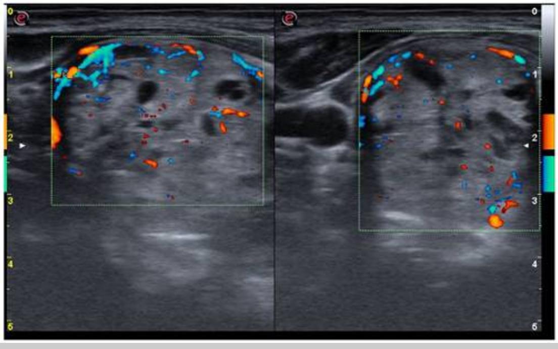
颈部超声检查见甲状腺实质低回声,甲状腺体积增加(26.8 ml,正常上限<16 ml)。右叶被海绵状结节完全取代,血管增加(图1),ACR-TIRADS将其归类为良性(2级)。左叶血管增多,见一个6/5/7mm的部分囊性结节(图2),ACR-TIRADS也将其归类为良性(2级)。
图1 甲状腺右叶被海绵状结节(横切面)替代

图2 左甲状腺叶血管增加,见一个实性结节(横切面)
实验室测试证实,患者表现为亚临床甲状腺功能亢进,TSH水平较低(0.025 mU/l;正常范围0.55-4.78 mU/l),FT4水平正常(14.93 pmol/l;正常范围11.50-22.70 pmol/l),FT3水平正常(5.98 pmol/l,正常范围3.54-6.47 pmol/l。甲状腺闪烁扫描显示,右叶Tc99m摄取增加,这证实了毒性腺瘤的诊断(图3)。

图3 Tc-99m甲状腺闪烁显像
双侧眼病和甲状腺左叶血管增加怀疑为Graves病,抗TSH受体抗体的水平增高(>40IU/l,正常值<1.75IU/l)证实了这一诊断。患者的ATPO抗体值正常(48 IU/ml;正常范围,0-60 IU/ml),抗甲状腺球蛋白抗体水平高(>500 IU/ml;通常范围,0-60IU/ml)。
其他血液测试异常结果:空腹血糖=124 mg/dl(正常范围,70-109 mg/dl),糖化血红蛋白=6.1%(正常范围:4.36-5.6%),血清磷酸盐5.8和6.1 mg/dl(两次测试;正常范围:2.5-4.9 mg/dl)、血清镁1.48 mg/dl(正常范围:1.8-2.4 mg/dl)、碱性磷酸酶127 U/l(正常范围,46-116 U/l)。根据病史排除了血清磷酸盐水平升高的最常见原因。
随后进行了更详细的病史和有针对性的临床检查。查体见:大舌苔、齿间隙增加(图4A)、嘴唇增厚和鼻唇沟突出(图4B)。患者还提到,她有大约5年没能摘下结婚戒指。随后怀疑肢端肥大症,因此测定了IGF-1(891 ng/ml,年龄和性别的正常范围83.3-220 ng/ml)和基础生长激素(20.2 ng/ml,性别和年龄的正常值<10 ng/ml)。还进行了口服75g葡萄糖的抑制试验,显示GH抑制在1ng/ml以下失败,从而证实了肢端肥大症的诊断。对垂体整体功能的评估没有发现其他激素缺乏(催乳素=4 ng/ml,正常范围2.8-29.2 ng/ml;FSH=75.98 mIU/ml,更年期正常范围23-1016.3 mIU/ml;LH=43.05 mIU/ml,更年期正常范围7.9-53.8 mIU/ml);雌二醇<11.80 pg/ml,更年期异常范围<32.2 pg/ml;皮质醇=12.38 mcg/dl,正常范围=4.3-22.4 mcg/dl)。进行垂体MRI发现大腺瘤(13/9mm),与正常垂体实质相比(T2加权信号)强度较低,侵入左侧蝶窦,没有压迫视交叉(图5)。
图4 A) 齿间隙增大。(B) 嘴唇增厚,鼻唇沟突出
图5 MRI,冠状位,T2,侵犯左侧蝶窦的13/9mm低强度腺瘤
为治疗甲状腺功能亢进症,患者每天服用10毫克甲硫咪唑。根据欧洲指南,眼病为活动性、轻度(图6),患者接受了局部治疗。随后患者转诊至神经外科手术切除垂体腺瘤。
图6 活动性、轻度眼病
患者于2019年3月再次入住内分泌科,实验室测试显示,口服葡萄糖测试中IGF-1水平高(474 ng/ml,正常范围81.8-219 ng/ml),基础生长激素水平高(9.14 ng/ml,标准范围0.05-8 ng/ml)和生长激素缺乏抑制<1 ng/ml。MRI检查发现蝶窦内有残留肿瘤。该疾病被认为是活跃的,并开始用奥曲肽每28天肌肉注射20 mg(IM)进行治疗。血清磷酸盐水平为4.5mg/dl(正常范围为2.5-4.9mg/dl)。血糖和糖化血红蛋白正常,对口服葡萄糖的反应(120分钟时的血糖=87mg/dl)也正常。
该患者接受了与肢端肥大症相关的并发症筛查,并被诊断为严重睡眠呼吸暂停。其他筛查结果并不显著。未出现任何胃肠道并发症。甲状腺功能的重新评估显示甲状腺功能减退,停用甲硫咪唑。甲状腺超声检查和眼病的状况没有改变。
2019年6月患者复查,尽管临床状况有所改善(图7),但对治疗的反应较差。实验室测试显示,在口服葡萄糖耐量测试中,IGF-1水平高(658 ng/ml,正常范围81.8-219 ng/ml),GH水平高(8.49 ng/ml,异常范围0.05-8 ng/ml)以及GH在低于1 ng/ml时缺乏抑制;MRI保持不变。考虑到血液检查和残留肿瘤的存在,增加奥曲肽的剂量(每28天30 mg IM),并添加卡麦角林(每周口服2 mg)。

图7 临床症状改善
复查甲状腺功能显示轻度亚临床甲状腺功能亢进,而颈部超声无变化。眼科会诊将眼病诊断为非活动性和中度(图8)。由于甲状腺病史和甲状腺结节压迫气管(经放射学研究证实),患者进行甲状腺全切术。手术后病情好转,开始使用左旋甲状腺素进行治疗。病理结果证实,除了治疗引起的退行性变化外,还合并了两种不同的甲状腺疾病,功能亢进的甲状腺肿,伴有明显的退行性改变,及腺瘤结节,伴有玻璃样变和间质钙化、囊性变(图9A和B)。
图8 双侧非活动性、中度眼病
图9(A) 甲状腺结节(B) 甲状腺功能亢进
定期对患者进行重新评估,9个月后开始使用培维索孟(每天最多20 mg),耐受性良好。经过6个月的治疗,IGF-1正常,患者的临床状况明显改善。患者没有出现任何不良反应。
小结
总之,因为发展缓慢,肢端肥大症难以诊断和治疗,一些临床发现可能与患者的合并症有关。在这种情况下,应考虑所有可能提示诊断肢端肥大症的临床和生化异常。
医博士编译自: Plotuna IȘ, Balaş M, Golu I, et al. A rare form of hyperthyroidism leading to the diagnosis of acromegaly: A case report. Experimental and Therapeutic Medicine. 2023;26(4):477. doi:10.3892/etm.2023.12176.
声明: 所有注明“来源:医博士”的文字、图片和音视频资料,版权均属于医博士所有,转载须注明“来源:医博士”;所有转载文章系出于传递更多信息之目的,且明确注明来源和作者,不希望被转载的媒体或个人可与我们联系,我们将立即进行删除处理。