来源:医博士 | 2023-11-07
妊娠过敏样综合征(ASP)是一种罕见的产科急症,由于羊水和胎儿物质进入母体循环而发生,导致后遗症。引入术语ASP以取代术语羊水栓塞(AFE),因为其临床表现更类似于脓毒性或过敏性休克,而不是栓塞事件。ASP的四个临床症状是呼吸衰竭、精神状态改变、低血压和弥散性血管内凝血(DIC)。上述情况是由于羊水进入母亲的循环系统而导致细胞因子释放的结果,这将通过复杂的免疫途径导致凝血级联功能障碍。
ASP的诊断传统上是在尸检时进行的,即在母体肺循环中发现胎儿鳞状细胞,虽然在临床上,它被认为是一个排除诊断。两者之间的基本病理生理学差异是ASP由栓子引起的肺系统堵塞事件组成,而ASP描述了细胞因子和花生四烯酸代谢物释放到血流中后的促炎反应,导致其临床表现。
ASP的发病率估计为每8000至30000例妊娠中有一例。ASP后的预后相对较差,孕产妇死亡率在13.5%至44%之间,而围产期死亡率在7%至38%之间。这种急症的一些拟议风险因素是母亲年龄较大、经产妇、分娩时剧烈宫缩、腹部创伤、剖宫产、引产、前置胎盘、子痫、子宫或宫颈撕裂以及胎盘与子宫壁过早分离。此外,胎儿的窘迫、死亡和男婴别是ASP发生的危险因素。在鉴别诊断中应考虑ASP,以及心肌梗死、过敏反应、主动脉夹层、败血症、肺空气栓塞、误吸、子痫、麻醉药物毒性反应和失血性休克。
病例1
一名35岁的孕妇G2 P1(孕2产1)在第36孕周前往医院进行产前预约。就诊前48小时内没有胎动。该妇女在15年前有一次预期的自然阴道分娩史(体重2750克)。无明显健康状况或家族史。通过超声波确认胎儿宫内死亡。
引产后取出胎儿。在宫颈扩张(4-5 cm)和子宫收缩微弱的活跃产程中,发生了胎膜的自发破裂,导致流出有色和恶臭的羊水。在通过真空抽吸排出死胎(体重2030克)的过程中,母亲出现意识丧失。
胎儿宫内死亡是由脐带绕颈六圈引起的。立即开始行复苏术。期间的血液检查未发现贫血(红细胞比容:40.3%,血红蛋白:12.3g/dL)。几分钟后因宫缩乏力出现阴道出血。
进行药物给药、子宫填塞、子宫按摩和输血,35分钟后,出血得到控制。半小时后出血再次出现,最初采取了保守治疗,但没有成功。这名患者随后被送入手术室,在那里进行了子宫血管结扎和子宫切除术。在伤口闭合过程中,该妇女心脏骤停。经过抢救,这名妇女大约一小时后死亡。
根据胎儿的尸检,可观察到浸渍,这一发现表明胎儿至少两天前宫内死亡。由于脐带意外,还出现了子宫内应激的迹象,包括胎粪排出、严重充血和脑缺氧。没有发现先天性异常-发育不良或胎儿的病理。
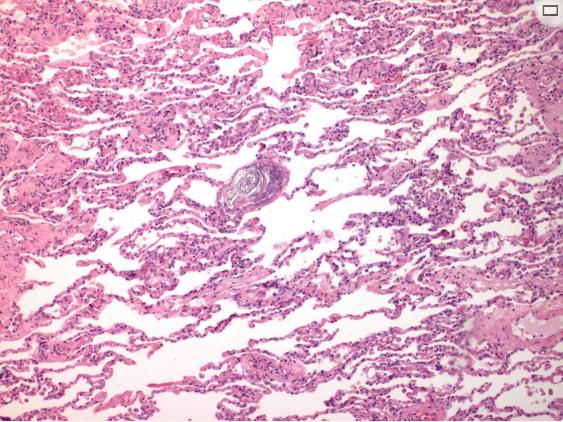
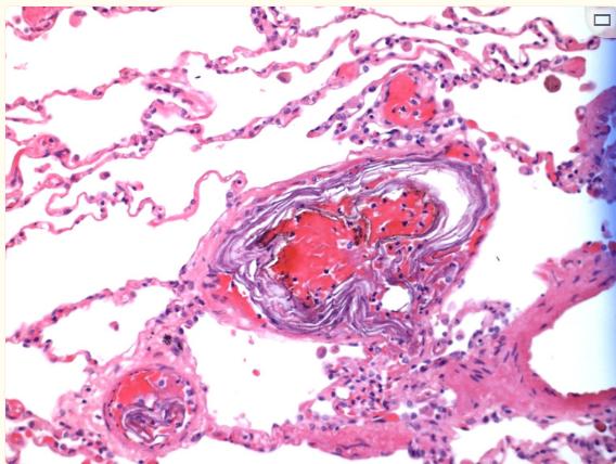
根据母亲的尸检,多器官组织病理学检查结果显示出血和炎症浸润、水肿、无定形嗜酸性物质以及中小血管中的纤维蛋白沉积,提示DIC(图1)。肺血管中出现粘液、胎儿上皮鳞片和胎粪提示ASP诊断(图2)。还存在含铁血黄素颗粒。子宫颈出现多个印痕,这证实了多处脐带缠绕。
图1、病例1小血管腔内发现纤维蛋白血栓(放大400倍)

图2、病例1肺小血管腔内的纤维蛋白血栓(放大100倍)
病例2
一名34岁的G1P0妇女,在第40孕周,被送入医院。没有明显的健康状况或家族史。硬膜外麻醉后,引产发生。新生儿体重4020克。分娩后10分钟,患者因宫缩乏力出现大量出血。保守治疗包括子宫填塞,然后进行子宫血管结扎。在经历了心脏骤停之后,产妇死亡。
根据该患者的尸检,肺部的组织病理学检查显示了小血管中的多个血栓和多形核细胞的移动。肺泡包括吞噬含铁血黄素的巨噬细胞。由于ASP,角蛋白薄片包含在小血管的管腔中(图3)。在肾脏中,由于DIC,在肾门的血管中发现了纤维蛋白血栓。
图3、病例2的肺血管腔内发现:肺血管腔中的角蛋白鳞片(放大400倍)
结论
由于其临床不可预测性和相关的孕产妇和新生儿死亡率,ASP仍然是产科医学中令人担忧的实体。尽管实体的死亡率仍然相当高,但早期诊断和支持性治疗可能会改善患者的结果。医生必须准确报告此类病例的诊断调查结果和时间表,这不仅有助于使用诊断和治疗工具,也有助于更准确地估计ASP的患病率和死亡率。
关于死后调查,法医病理学家应该知道可能进行的任何可能的治疗干预,因为这些参数的知识应该有助于减少死后检查期间的任何混淆,从而有助于确定正确的死亡原因。与往常一样,对尸检过程中收集的组织进行组织病理学检查被证明是确认或否定宏观诊断的一个非常有价值的工具,因此应该在这种情况下进行。最后,病理学家公布ASP病例也很重要,这样可以建立关于该疾病的证据,从而更好地了解病情本身。
医博士编译自:Plantzas I, Tousia A, Vlachodimitropoulos D, et al. The Anaphylactoid Syndrome of Pregnancy: Two Autopsy Cases. Cureus. 2023; 15(9):e45145. doi:10.7759/cureus.45145.
声明: 所有注明“来源:医博士”的文字、图片和音视频资料,版权均属于医博士所有,转载须注明“来源:医博士”;所有转载文章系出于传递更多信息之目的,且明确注明来源和作者,不希望被转载的媒体或个人可与我们联系,我们将立即进行删除处理。