双侧肾上腺巨大髓样脂肪瘤伴性发育障碍

来源:医博士  | 2023-11-10    


髓样脂肪瘤是一种罕见的非功能性良性肿瘤,由成熟脂肪组织和造血成分增殖形成。Gierke于1905年首次对其进行了组织学描述,Oberling于1929年将其命名为髓样脂肪瘤。髓样脂肪瘤的发病率为0.08%-0.2%。临床上大多无症状,当肿瘤提及过大时会引起腰腹部疼痛或破裂出血。一般来说,髓样脂肪瘤不具备内分泌功能,但也有发生高血压的风险。双侧巨大肾上腺髓样脂肪瘤是罕见的。

 

病例介绍

患者45岁,社会性别为女性,因“发现左腹部肿物一年多,腹痛加重18天”入院。2008年1月,患者无明显诱因出现腹痛不适,于当地医院发现左腹部肿物,大小约4厘米×3.5厘米×3厘米。2009年1月,患者自觉肿物变大变硬,伴腹痛,2月患者入院,不伴发烧、盗汗、黄疸或消瘦。患者自青春期起无月经,无家族史。

 

体检见体温:37.2°C,呼吸频率每分钟18次,脉搏每分钟72次,血压120/80 mmHg。患者体重52公斤,有明显的胡须和喉结,声音粗糙低沉。腋毛浓密,胸部对称无畸形,乳房未发育,心肺体格检查无阳性征象。腹部柔软,未触及肝脏。左腹部可触及一肿物,质地略硬,活动差,双肾区均无敲击痛。外阴表现为两性畸形,阴毛浓密,双侧大阴唇发育正常,无小阴唇,阴蒂肥大如短阴茎(4厘米长),顶部无开口,阴蒂下方有尿道开口,无阴道。在直肠指检中,未触及子宫或前列腺样组织,盆腔未触及肿物,腹股沟管区域也无睾丸样组织。脊柱侧弯,四肢活动正常。

 

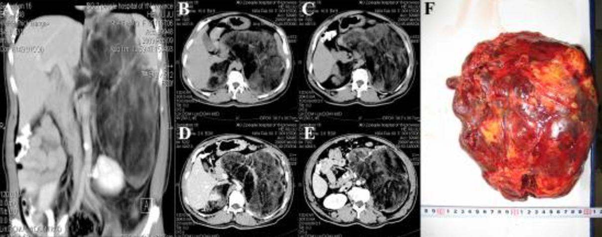
腹部CT检查显示左侧腹膜后间隙有一巨大的混合密度病变(18cm×15cm),包括许多不规则的脂肪密度影。肿物的上边界位于横膈膜下方,下边界位于髂嵴水平面。胰腺、胃和脾脏都被挤压移位,左肾被挤压到骨盆中。右肾上方可见边界清晰的8cm×4cm混合密度影。行增强CT时,左侧腹膜后肿物的实质部分显示出增强,似乎被包裹(图1A–E)。

 

图1 患者的CT和大体标本。(A) 左侧腹膜后肿物巨大,左肾受压下移。增强扫描未发现增强。(B,C)CT平扫显示双侧不均匀密度肿物。(D,E)双侧肾上腺增强CT表现。(F) 左肾上腺巨大肿物的术中大体标本

 

腹部和盆腔超声显示左肾上腺有混合回声肿物,右上腹部有实性肿物。没有发现明确的子宫、前列腺或睾丸。白细胞4.39×109/L,中性粒细胞74.7%,淋巴细胞减少13.9%,单核细胞增加10.5%,红细胞计数5.30×1012/L,血红蛋白177g/L。总胆红素、直接胆红素和间接胆红素分别增加到30、11.3和18.7μmol/L。总胆固醇降至2.55 mmol/L,高密度脂蛋白降至0.95 mmol/L。其他参数如血糖和肾功能,均正常。肿瘤标志物如甲胎蛋白、人绒毛膜促性腺激素、神经元特异性烯醇化酶和癌胚抗原均为阴性。对患者外周血的核型分析显示,患者为46XX。

 

患者在全身麻醉下接受了双侧开放性肾上腺切除术。术中做双侧肋下横切口,将肝脏和横结肠拉开,露出腹膜后间隙,仔细分离后解剖左侧腹膜后间隙,完全切除左侧囊实性肿物(大小约24cm×16cm),深色、质地坚硬。另一侧切除约9厘米×5厘米肿物。双侧肿物术中冰冻报告:肿瘤来源于脂肪组织,呈良性。手术未进行淋巴结清扫。在手术区域充分止血后,放置引流管,并逐层缝合腹部切口。术中出血量约为500mL。手术时间为3小时15分钟。手术顺利,麻醉稳定,无需输血。手术结束后,患者安全返回病房。术后7天取出引流管,14天后缝线拆除,切口愈合良好。病人随后出院。

 

病理诊断为双侧肾上腺髓样脂肪瘤伴出血(左侧肿瘤巨大)。肾上腺髓样脂肪瘤被认为是一种没有分泌功能的良性肿瘤,术后没有进行化疗、放疗或内分泌治疗。患者随访14年2个月,总体情况良好,无不适及肿瘤复发。

 

小结

肾上腺髓样脂肪瘤合并性发育障碍的患者,可在整形前进行肾上腺髓样脂瘤切除并坚持术后随访,部分性发育障碍患者可自发缓解外生殖器的异常表现。

 

医博士编译自:Zhanghuang C, Long N, Yang Z, et al. Bilateral adrenal giant medullary lipoma combined with disorders of sex development: a rare case report and literature review. Frontiers in Oncology. 2023; 13:1210679. doi:10.3389/fonc.2023.1210679.

https://pubmed.ncbi.nlm.nih.gov/37681022/


声明: 所有注明“来源:医博士”的文字、图片和音视频资料,版权均属于医博士所有,转载须注明“来源:医博士”;所有转载文章系出于传递更多信息之目的,且明确注明来源和作者,不希望被转载的媒体或个人可与我们联系,我们将立即进行删除处理。